COL4A1 Antibody
-
中文名稱:COL4A1兔多克隆抗體
-
貨號:CSB-PA972442
-
規格:¥1100
-
圖片:
-
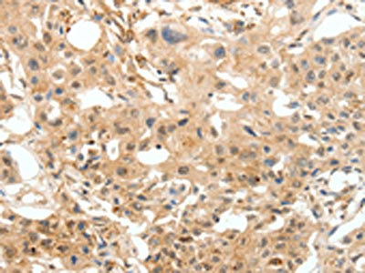
The image on the left is immunohistochemistry of paraffin-embedded Human lung cancer tissue using CSB-PA972442(COL4A1 Antibody) at dilution 1/30, on the right is treated with synthetic peptide. (Original magnification: ×200)
-
The image on the left is immunohistochemistry of paraffin-embedded Human breast cancer tissue using CSB-PA972442(COL4A1 Antibody) at dilution 1/30, on the right is treated with synthetic peptide. (Original magnification: ×200)
-
-
其他:
產品詳情
-
Uniprot No.:
-
基因名:
-
別名:Arresten antibody; BSVD antibody; CO4A1_HUMAN antibody; COL4A1 antibody; COL4A1 NC1 domain antibody; COL4A2 antibody; COL4A3 antibody; COL4A4 antibody; COL4A5 antibody; collagen alpha-1(IV) chain antibody; Collagen IV Alpha 1 Polypeptide antibody; Collagen IV Alpha 2 Polypeptide antibody; Collagen Of Basement Membrane Alpha 1 Chain antibody; Collagen Of Basement Membrane Alpha 2 Chain antibody; Collagen Type IV Alpha 1 antibody; collagen type IV alpha 1 chain antibody; Collagen Type IV Alpha 2 antibody; Collagen Type IV Alpha 3 antibody; Collagen Type IV Alpha 4 antibody; Collagen Type IV Alpha 5 antibody; RATOR antibody
-
宿主:Rabbit
-
反應種屬:Human,Mouse
-
免疫原:Synthetic peptide of Human COL4A1
-
免疫原種屬:Homo sapiens (Human)
-
標記方式:Non-conjugated
-
抗體亞型:IgG
-
純化方式:Antigen affinity purification
-
濃度:It differs from different batches. Please contact us to confirm it.
-
保存緩沖液:-20°C, pH7.4 PBS, 0.05% NaN3, 40% Glycerol
-
產品提供形式:Liquid
-
應用范圍:ELISA,IHC
-
推薦稀釋比:
Application Recommended Dilution ELISA 1:2000-1:5000 IHC 1:50-1:200 -
Protocols:
-
儲存條件:Upon receipt, store at -20°C or -80°C. Avoid repeated freeze.
-
貨期:Basically, we can dispatch the products out in 1-3 working days after receiving your orders. Delivery time maybe differs from different purchasing way or location, please kindly consult your local distributors for specific delivery time.
-
用途:For Research Use Only. Not for use in diagnostic or therapeutic procedures.
相關產品
靶點詳情
-
功能:Type IV collagen is the major structural component of glomerular basement membranes (GBM), forming a 'chicken-wire' meshwork together with laminins, proteoglycans and entactin/nidogen.; Arresten, comprising the C-terminal NC1 domain, inhibits angiogenesis and tumor formation. The C-terminal half is found to possess the anti-angiogenic activity. Specifically inhibits endothelial cell proliferation, migration and tube formation.
-
基因功能參考文獻:
- USP8 deubiquitinates Sec31A and inhibits the formation of large COPII carriers, thereby suppressing collagen IV secretion. PMID: 29604273
- It seems that CD14 gene polymorphism might be associated with the risk of CAD, whereas COL4A1 gene polymorphism was not found to confer any risk of CAD PMID: 29299748
- these data indicated that COL4A1 may confer trastuzumab resistance in gastric cancer. PMID: 29512712
- VIPAR, with its partner proteins, regulate sorting of lysyl hydroxylase 3 (LH3, also known as PLOD3) into newly identified post-Golgi collagen IV carriers PMID: 27435297
- Our study showed that the rs544012 AC and rs679505 AA genotypes were independently associated with the risk of ICH in the Chinese Han population and that the AA haplotype (rs3742207-rs11069830) in the COL4A1 gene may be related to the risk of ICH in the Chinese Han population PMID: 29360590
- The rs532625 AA genotype in the COL4A1 gene was independently associated with the risk of disability and death in a Chinese Han population following intracerebral hemorrhage. PMID: 29477007
- this study shows that COL4A1 production by urothelial carcinoma of the bladder plays a pivotal role in tumor invasion through the induction of tumor budding PMID: 28415608
- Genotype-phenotype correlations in pathology caused by COL4A1 and COL4A2 mutations have been summarized. (Review) PMID: 27794444
- Urine levels of COL4A1, COL13A1, the combined values of COL4A1 and COL13A1 (COL4A1 + COL13A1), and CYFRA21-1 were significantly elevated in urine from patients with BCa compared to the controls. A high urinary COL4A1 + COL13A1 was found to be an independent risk factor for intravesical recurrence. PMID: 28837258
- Building collagen IV smart scaffolds on the outside of cells has been summarized. (Review) PMID: 28845540
- Our findings extend the spectrum of COL4A1 mutations linked with renal disease and demonstrate that the highly conserved C-terminal part of the NC1 domain of the alpha1 chain of type IV collagen is important in the integrity of glomerular basement membrane in humans. PMID: 27190376
- Twist1 appears to require both palladin and collagen alpha1(VI) as downstream effectors for its prometastatic effects, which could be future therapeutic targets in cancer metastasis. PMID: 26973246
- only collagen-IV elicits the formation of proteolytically active podosomes through a mechanism involving increased Src phosphorylation, p190RhoGAP-B (also known as ARHGAP5) relocalisation and MT1-MMP (also known as MMP14) cell surface exposure at podosome sites. PMID: 27231093
- Mutations upregulating COL4A1 expression lead topontine autosomal dominant microangiopathy with leukoencephalopathy (PADMAL). PMID: 27666438
- The study shows an association of the COL4A1 gene with cerebral palsy and suggests a potential role of COL4A1 in the pathogenesis of this disease. PMID: 26748532
- Differential protein expression of collagen IV, laminin alpha2, and nidogen-1 indicated basal lamina remodeling develops in ischemic failing versus nonfailing human hearts. PMID: 26756417
- COL4A1 expression is significantly upregulated in human masticatory mucosa during wound healing. PMID: 28005267
- pulmonary complications should be considered in patients with COL4A1 mutation-related disorders. PMID: 28017902
- Chromosomal analysis and array-CGH showed no aberration. Target capture sequencing for COL4A1 and COL4A2 revealed a de novo COL4A1 mutation (c.2123G>T [p.Gly708Val]). PMID: 26879631
- In porencephaly subjects with COL4A1 mutation, we did not detect significant alterations of immunofluorescence patterns in basal membranes of different skin structures. Heterozygous COL4A1 G749S mutation is associated with a normal immunofluorescence pattern of skin basement membranes. PMID: 26686511
- High serum Collagen Type IV is associated with ovarian and breast cancer. PMID: 26406420
- Hydroxylation and O-linked glycosylation sites in col4a1 from human lens capsule. PMID: 26593852
- plasma levels increased in second and third trimester pre-eclampsia PMID: 26343951
- SMAD3 is a necessary factor for TGFbeta-mediated stimulation of mRNA and protein expression of type IV collagen genes in human vascular smooth muscle cells; it regulates expression of COL4a1 and COL4a2 PMID: 26310581
- COLIV is a promising tumour marker for CLM and can possibly be used to detect postoperative CLM recurrence. The combination of COLIV and CEA is superior to either marker alone in detecting CLM PMID: 26162539
- analysis of the unique AAB composition and chain register for a heterotrimeric type IV collagen model peptide COL4a1/COL4a2 containing a natural interruption site PMID: 26209635
- The catalytic domain of peroxidasin and its immunoglobulin (Ig) domains are required for efficient sulfilimine bond formation. PMID: 26178375
- Studied the role of alpha1 and alpha2 chains of type IV collagen in UIP; found type IV collagen deposition in early fibrotic lesions of UIP may be implicated in refractory pathophysiology including migration of lesion fibroblasts via a FAK pathway. PMID: 26006016
- The expression of collagen type IV and its alpha chains (alpha1-6) was investigated in different endothelial cell culture systems in vitro qualitatively and quantitatively. PMID: 23551189
- Silencing the Col4-alpha1 gene or disrupting integrin engagement by blocking the antibody reduced the expression of platelet-derived growth factor A (PDGF-A), a potent chemotactic factor for fibroblasts. PMID: 25686533
- A girl with porencephaly and an episode of microangiopathic hemolysis in infancy and her father with HANAC, both of whom had a heterozygous missense mutation of COL4A1, are reported. PMID: 25425218
- This study expands the spectrum of COL4A1 phenotypes and indicates screening in patients with anophthalmia/microphthalmia regardless of MRI findings or presumed inheritance pattern. PMID: 24628545
- Type IV collagen is an activating ligand for the adhesion G protein-coupled receptor GPR126. PMID: 25118328
- The molecular basis of familial retinal arteriolar tortuosity was identified for the first time, thus expanding the human phenotypes linked to COL4A1 mutations. PMID: 25228067
- Examined association between COL4A1 SNPs and intracranial aneurysms in Japanese cohort. PMID: 19506372
- p53 directly activated transcription of the COL4A1 gene by binding to an enhancer region 26 kb downstream of its 3' end and increased the release of Arresten in the extracellular matrix. PMID: 22253229
- Haploinsufficiency for COL4A1, rather than a dominant-negative effect of mutations, may cause intracerebral hemorrhage and white matter disease. PMID: 23065703
- The novel mutation (c.2345 G > C) of the COL4A1 gene is the first report of a non-syndromic, autosomal dominant congenital cataract, thereby highlighting the important role of type IV collagen in the physiological and optical properties of the lens. PMID: 25124159
- The whole exome sequencing showed no pathological mutations of COL4A1 and COL4A2 in fetal intraventricular hemorrhage PMID: 24317722
- carbohydrate moiety (alpha-Gal) on laminin gamma-1 and collagen alpha-1 (VI) chain are possibly common IgE-reactive proteins in the Japanese patients with beef allergy PMID: 24180678
- the integrin signaling pathway activated in a tumor environment with collagen deposition is responsible for low cell elasticity and high metastatic ability. PMID: 24823860
- Both rs605143 and rs565470 of COL4A1gene are associated with coronary artery disease in the Uygur population of China. PMID: 24156251
- Data indicate that the aberrantly methylated and expressed genes in cancer process including IRS1 and collagen-related genes COL4A1, COL4A2 and COL6A3. PMID: 23818951
- In families where anterior segment dysgenesis occurs together with cerebral hemorrhages, genetic analysis of COL4A1 should be considered. PMID: 23394911
- These data suggest novel roles for arresten in the regulation of oral squamous carcinoma cell proliferation, survival, motility and invasion through the modulation of cell differentiation state and integrin signaling. PMID: 23227231
- Studies indicate that progenitor endothelial cells (ECs), endothelial colony-forming cells (ECFCs), deposit collagen IV, fibronectin, and laminin. PMID: 22919069
- COL4A1 mutations have been identified in adult patients with cerebral small vessel diseases. PMID: 22868088
- COL4A1 mutations are associated with schizencephaly and hemolytic anemia; genetic testing for COL4A1 should be considered for children with these conditions. PMID: 23225343
- This study demonistrated that patients with COL4A1 mutations raised creatine kinase and cerebral calcification. PMID: 22932948
- The data suggested that miR-21 is involved in the regulation of the synthesis of COL4A1, a component of the basement membrane surrounding the GC layer and granulosa-embedded extracellular structure. PMID: 22573493
顯示更多
收起更多
-
相關疾病:Brain small vessel disease with or without ocular anomalies (BSVD); Hereditary angiopathy with nephropathy aneurysms and muscle cramps (HANAC); Porencephaly 1 (POREN1); Intracerebral hemorrhage (ICH); Tortuosity of retinal arteries (RATOR); Schizencephaly (SCHZC)
-
亞細胞定位:Secreted, extracellular space, extracellular matrix, basement membrane.
-
蛋白家族:Type IV collagen family
-
組織特異性:Highly expressed in placenta.
-
數據庫鏈接:
Most popular with customers
-
YWHAB Recombinant Monoclonal Antibody
Applications: ELISA, WB, IHC, IF, FC
Species Reactivity: Human, Mouse, Rat
-
Phospho-YAP1 (S127) Recombinant Monoclonal Antibody
Applications: ELISA, WB, IHC
Species Reactivity: Human
-
-
-
-
-
-
VDAC1 Recombinant Monoclonal Antibody
Applications: ELISA, WB, IHC
Species Reactivity: Human, Mouse, Rat















