CNMD Antibody
-
中文名稱:CNMD兔多克隆抗體
-
貨號:CSB-PA012854ESR1HU
-
規格:¥440
-
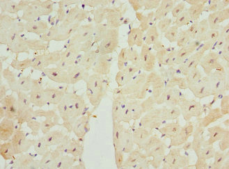
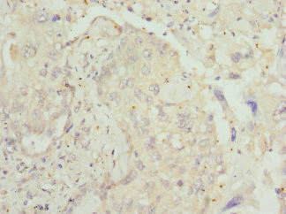
圖片:
-
其他:
產品詳情
-
產品名稱:Rabbit anti-Homo sapiens (Human) CNMD Polyclonal antibody
-
Uniprot No.:
-
基因名:CNMD
-
別名:BRICD3 antibody; BRICHOS domain containing 3 antibody; CH-SP antibody; CHM I antibody; ChM-I antibody; CHM1 antibody; chondromodulin antibody; Chondromodulin I antibody; Chondromodulin-1 antibody; Chondromodulin-I antibody; Chondrosurfactant protein antibody; LECT 1 antibody; Lect1 antibody; LECT1_HUMAN antibody; Leukocyte cell derived chemotaxin 1 antibody; Multiple myeloma tumor suppressor 1 antibody; MYETS1 antibody
-
宿主:Rabbit
-
反應種屬:Human
-
免疫原:Recombinant Human Leukocyte cell-derived chemotaxin 1 protein (75-334AA)
-
免疫原種屬:Homo sapiens (Human)
-
標記方式:Non-conjugated
-
克隆類型:Polyclonal
-
抗體亞型:IgG
-
純化方式:Antigen Affinity Purified
-
濃度:It differs from different batches. Please contact us to confirm it.
-
保存緩沖液:PBS with 0.02% sodium azide, 50% glycerol, pH7.3.
-
產品提供形式:Liquid
-
應用范圍:ELISA, IHC
-
推薦稀釋比:
Application Recommended Dilution IHC 1:20-1:200 -
Protocols:
-
儲存條件:Upon receipt, store at -20°C or -80°C. Avoid repeated freeze.
-
貨期:Basically, we can dispatch the products out in 1-3 working days after receiving your orders. Delivery time maybe differs from different purchasing way or location, please kindly consult your local distributors for specific delivery time.
-
用途:For Research Use Only. Not for use in diagnostic or therapeutic procedures.
相關產品
靶點詳情
-
功能:Bifunctional growth regulator that stimulates the growth of cultured chondrocytes in the presence of basic fibroblast growth factor (FGF) but inhibits the growth of cultured vascular endothelial cells. May contribute to the rapid growth of cartilage and vascular invasion prior to the replacement of cartilage by bone during endochondral bone development. Inhibits in vitro tube formation and mobilization of endothelial cells. Plays a role as antiangiogenic factor in cardiac valves to suppress neovascularization.
-
基因功能參考文獻:
- ChMI directly suppressed the proliferation and growth of osteosarcoma cells. PMID: 28983591
- CHM1 seems to have pleiotropic functions in Ewing sarcoma. PMID: 28319320
- The results of the present study indicated that ChMI was able to inhibit the growth of breast cancer cells; thus suggesting that ChM-I may have potential clinical applications in the treatment of breast cancer. PMID: 27035228
- Data suggest ChM1 as potential tumor suppressor in gastric cancer and useful biomarker for the treatment and prognosis. Its expression was downregulated in cancer tissue, and correlated with advanced stages, lymph node metastasis, and poorer prognosis. PMID: 26165347
- intact 20-25 kDa ChM-I is stored as a component of extracellular matrix in the avascular cartilage zones, but it is inactivated by a single N-terminal proteolytic cleavage in the hypertrophic zone of growth-plate cartilage PMID: 24710035
- the inner meniscus contained larger amounts of ChM-I, and that the inner meniscus-derived ChM-I inhibited endothelial cell proliferation. PMID: 23143879
- Degenerative intervertebral disc cells express ChM-I. Administration of bFGF down-regulates the expression of ChM-I. Expression is correlated with the degree of degeneration. PMID: 22041680
- Inhibition of YY1 in combination with forced expression of p300 and Sp3 restored the expression of ChM-I in cells with a hypomethylated promoter region, but not in cells with hypermethylation. PMID: 20663886
- Data suggest that chondromodulin-I impairs the VEGF-A-stimulated motility of endothelial cells by destabilizing lamellipodial extensions. PMID: 20026108
- Methylation in the core-promoter region of the chondromodulin-I gene determines the cell-specific expression by regulating the binding of transcriptional activator Sp3 PMID: 15107420
- chondromodulin-I has a pivotal role in maintaining valvular normal function by preventing angiogenesis that may lead to valvular heart diseases PMID: 16980969
- Cell-specific epigenetic regulation of ChM-I gene expression PMID: 17980151
- new hypoxia-inducible and SOX9-regulated genes, Gdf10 and Chm-I. In addition, Mig6 and InhbA were induced by hypoxia, predominantly via HIF-2alpha PMID: 18077449
顯示更多
收起更多
-
亞細胞定位:[Chondromodulin-1]: Secreted, extracellular space, extracellular matrix. Note=Accumulated in the inter-territorial matrix of cartilage.; [Chondrosurfactant protein]: Endomembrane system; Single-pass membrane protein.
-
蛋白家族:Chondromodulin-1 family
-
組織特異性:Detected in cartilage and cardiac valves (at protein level). Detected in the laminae fibrosa, spongiosa and ventricularis layers of normal cardiac valves (at protein level). Expression is decreased cardiac valves of patients with valvular heart disease (a
-
數據庫鏈接:
Most popular with customers
-
-
YWHAB Recombinant Monoclonal Antibody
Applications: ELISA, WB, IHC, IF, FC
Species Reactivity: Human, Mouse, Rat
-
Phospho-YAP1 (S127) Recombinant Monoclonal Antibody
Applications: ELISA, WB, IHC
Species Reactivity: Human
-
-
-
-
-















