CMTM2 Antibody
-
中文名稱:CMTM2兔多克隆抗體
-
貨號:CSB-PA916076
-
規格:¥1100
-
圖片:
-
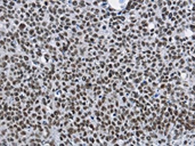
The image on the left is immunohistochemistry of paraffin-embedded Human lung cancer tissue using CSB-PA916076(CMTM2 Antibody) at dilution 1/60, on the right is treated with fusion protein. (Original magnification: ×200)
-
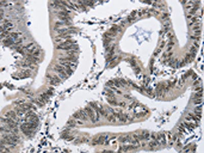
The image on the left is immunohistochemistry of paraffin-embedded Human colon cancer tissue using CSB-PA916076(CMTM2 Antibody) at dilution 1/60, on the right is treated with fusion protein. (Original magnification: ×200)
-
-
其他:
產品詳情
-
Uniprot No.:
-
基因名:CMTM2
-
別名:CMTM2; CKLFSF2; CKLF-like MARVEL transmembrane domain-containing protein 2; Chemokine-like factor superfamily member 2
-
宿主:Rabbit
-
反應種屬:Human
-
免疫原:Fusion protein of Human CMTM2
-
免疫原種屬:Homo sapiens (Human)
-
標記方式:Non-conjugated
-
抗體亞型:IgG
-
純化方式:Antigen affinity purification
-
濃度:It differs from different batches. Please contact us to confirm it.
-
保存緩沖液:-20°C, pH7.4 PBS, 0.05% NaN3, 40% Glycerol
-
產品提供形式:Liquid
-
應用范圍:ELISA,IHC
-
推薦稀釋比:
Application Recommended Dilution ELISA 1:1000-1:5000 IHC 1:50-1:200 -
Protocols:
-
儲存條件:Upon receipt, store at -20°C or -80°C. Avoid repeated freeze.
-
貨期:Basically, we can dispatch the products out in 1-3 working days after receiving your orders. Delivery time maybe differs from different purchasing way or location, please kindly consult your local distributors for specific delivery time.
-
用途:For Research Use Only. Not for use in diagnostic or therapeutic procedures.
相關產品
靶點詳情
-
基因功能參考文獻:
- Aberrant DNA methylation of CMTM2 gene is associated with colorectal cancer. PMID: 22901147
- Intracellular CMTM2 can negatively regulate HIV-1 transcription, at least in part, by targeting the AP-1 and CREB pathways. PMID: 21034562
- CKLFSF2 was specifically expressed in meiotic and post-meiotic germ cells, which were localized to the endoplasmic reticulum (ER) near the Golgi apparatus. PMID: 17334588
-
亞細胞定位:Membrane; Multi-pass membrane protein.
-
蛋白家族:Chemokine-like factor family
-
組織特異性:Highly expressed in testis.
-
數據庫鏈接:
Most popular with customers
-
-
YWHAB Recombinant Monoclonal Antibody
Applications: ELISA, WB, IHC, IF, FC
Species Reactivity: Human, Mouse, Rat
-
Phospho-YAP1 (S127) Recombinant Monoclonal Antibody
Applications: ELISA, WB, IHC
Species Reactivity: Human
-
-
-
-
-















