CLN8 Antibody
-
中文名稱:CLN8兔多克隆抗體
-
貨號:CSB-PA866210LA01HU
-
規格:¥440
-
圖片:
-
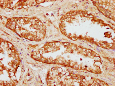
IHC image of CSB-PA866210LA01HU diluted at 1:100 and staining in paraffin-embedded human prostate cancer performed on a Leica BondTM system. After dewaxing and hydration, antigen retrieval was mediated by high pressure in a citrate buffer (pH 6.0). Section was blocked with 10% normal goat serum 30min at RT. Then primary antibody (1% BSA) was incubated at 4°C overnight. The primary is detected by a biotinylated secondary antibody and visualized using an HRP conjugated SP system.
-
-
其他:
產品詳情
-
產品名稱:Rabbit anti-Homo sapiens (Human) CLN8 Polyclonal antibody
-
Uniprot No.:
-
基因名:CLN8
-
別名:CLN8; C8orf61; Protein CLN8
-
宿主:Rabbit
-
反應種屬:Human
-
免疫原:Recombinant Human Protein CLN8 protein (247-286AA)
-
免疫原種屬:Homo sapiens (Human)
-
標記方式:Non-conjugated
本頁面中的產品,CLN8 Antibody (CSB-PA866210LA01HU),的標記方式是Non-conjugated。對于CLN8 Antibody,我們還提供其他標記。見下表:
-
克隆類型:Polyclonal
-
抗體亞型:IgG
-
純化方式:>95%, Protein G purified
-
濃度:It differs from different batches. Please contact us to confirm it.
-
保存緩沖液:Preservative: 0.03% Proclin 300
Constituents: 50% Glycerol, 0.01M PBS, pH 7.4 -
產品提供形式:Liquid
-
應用范圍:ELISA, IHC
-
推薦稀釋比:
Application Recommended Dilution IHC 1:20-1:200 -
Protocols:
-
儲存條件:Upon receipt, store at -20°C or -80°C. Avoid repeated freeze.
-
貨期:Basically, we can dispatch the products out in 1-3 working days after receiving your orders. Delivery time maybe differs from different purchasing way or location, please kindly consult your local distributors for specific delivery time.
-
用途:For Research Use Only. Not for use in diagnostic or therapeutic procedures.
相關產品
靶點詳情
-
功能:Could play a role in cell proliferation during neuronal differentiation and in protection against cell death.
-
基因功能參考文獻:
- CLN8 recruits lysosomal soluble proteins in the endoplasmic reticulum (ER), delivers them to the Golgi apparatus via COPII-coated vesicles, and recycles back to the ER via COPI-coated vesicles. CLN8 interacts with the lysosomal soluble proteins through its large luminal loop. The export signal of CLN8 (261VDWNF265) is localized in its cytosolic C-terminus. CLN8 deficiency results in depletion of enzymes at the lysosome. PMID: 30397314
- Whole-exome sequencing and homozygosity mapping revealed a novel homozygous CLN8 mutation, c.677T>C (p.Leu226Pro in 5 relatives from a large Turkish consanguineous family PMID: 27844444
- Novel missense mutation in CLN8 in late infantile neuronal ceroid lipofuscinosis PMID: 26443629
- This study does not support a contribution of rare missense CLN8 variations to ASD susceptibility in the Japanese population. PMID: 26657971
- This study highlights a close interaction between CLN5/CLN8 proteins, and their role in sphingolipid metabolism. Our findings suggest that CLN5p/CLN8p most likely are positive modulators of CerS1 and/or CerS2. PMID: 23160995
- A missense mutation at the CLN8 gene (763C>G)has been identified in 3 consanguineous Israeli-Arab patients. The phenotype in 2 of them is milder than that of their cousin who has typical neuronal ceroid lipofuscinosis. PMID: 22964447
- CLN8 is a candidate modifier gene for GD1. Increased expression may protect against severe GD1.It may function as a protective sphingolipid sensor and/or in glycosphingolipid trafficking. PMID: 22388998
- a novel, large CLN8 gene deletion c.544-2566_590del2613 in a Turkish family with a slightly more severe phenotype of neuronal ceroid lipofuscinose was described. PMID: 19807737
- patients with CLN8 mutations from Italy. In these patients, the onset of epilepsy occurred between 3 and 6 years of age, with myoclonic, tonic-clonic, and atypical absence seizures. Electroencephalograms revealed focal and/or generalized abnormalities. PMID: 17129765
- CLN8 plays a role in cell proliferation during neuronal differentiation and in protection against cell death. PMID: 19431184
顯示更多
收起更多
-
相關疾病:Ceroid lipofuscinosis, neuronal, 8 (CLN8); Ceroid lipofuscinosis, neuronal, 8, Northern epilepsy variant (CLN8NE)
-
亞細胞定位:Endoplasmic reticulum membrane; Multi-pass membrane protein. Endoplasmic reticulum-Golgi intermediate compartment membrane; Multi-pass membrane protein. Endoplasmic reticulum.
-
數據庫鏈接:
Most popular with customers
-
-
Phospho-YAP1 (S127) Recombinant Monoclonal Antibody
Applications: ELISA, WB, IHC
Species Reactivity: Human
-
-
-
-
-
-















