CLEC3B Antibody
-
中文名稱:CLEC3B兔多克隆抗體
-
貨號:CSB-PA005531ESR1HU
-
規格:¥440
-
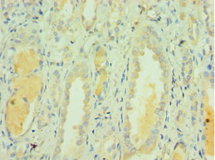
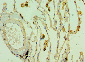
圖片:
-
其他:
產品詳情
-
產品名稱:Rabbit anti-Homo sapiens (Human) CLEC3B Polyclonal antibody
-
Uniprot No.:
-
基因名:CLEC3B
-
別名:C type lectin domain family 3 member B antibody; C-type lectin domain family 3 member B antibody; Clec3b antibody; Plasminogen kringle 4 binding protein antibody; Plasminogen kringle 4-binding protein antibody; TETN_HUMAN antibody; Tetranectin (plasminogen binding protein) antibody; Tetranectin antibody; TN antibody; TNA antibody
-
宿主:Rabbit
-
反應種屬:Human
-
免疫原:Recombinant Human Tetranectin protein (22-202AA)
-
免疫原種屬:Homo sapiens (Human)
-
標記方式:Non-conjugated
-
克隆類型:Polyclonal
-
抗體亞型:IgG
-
純化方式:Antigen Affinity Purified
-
濃度:It differs from different batches. Please contact us to confirm it.
-
保存緩沖液:PBS with 0.02% sodium azide, 50% glycerol, pH7.3.
-
產品提供形式:Liquid
-
應用范圍:ELISA, IHC
-
推薦稀釋比:
Application Recommended Dilution IHC 1:20-1:200 -
Protocols:
-
儲存條件:Upon receipt, store at -20°C or -80°C. Avoid repeated freeze.
-
貨期:Basically, we can dispatch the products out in 1-3 working days after receiving your orders. Delivery time maybe differs from different purchasing way or location, please kindly consult your local distributors for specific delivery time.
-
用途:For Research Use Only. Not for use in diagnostic or therapeutic procedures.
相關產品
靶點詳情
-
功能:Tetranectin binds to plasminogen and to isolated kringle 4. May be involved in the packaging of molecules destined for exocytosis.
-
基因功能參考文獻:
- Low CLEC3B expression is associated with clear cell renal cell carcinoma. PMID: 30066941
- The present study identified the CLEC3B p.S106G as a novel longevity-associated variant, raising the novel hypothesis that tetranectin, encoded by CLEC3B, plays a role in human longevity and aging PMID: 27154906
- TMEM88, CCL14, and CLEC3B genes were stable and available in predicting the survival and palindromia time of hepatocellular carcinoma. These genes could function as potential prognostic genes contributing to improve patients' outcomes and survival PMID: 28718365
- study suggests that increased serum TN level is associated with the presence and severity of diseased coronary arteries in patients with stable CAD. PMID: 26621497
- results predict that a positive TN expression of both tumour tissue and serum points to a more favourable outcome for ovarian cancer patients PMID: 25846370
- analyze the immunohistochemical localization of tetranectin in gastric adenocarcinomas and the adjacent tissues of the wall of the stomach PMID: 11962752
- Tetranectin may play an important role in the survival of islets in the liver after islet transplantation. PMID: 15848710
顯示更多
收起更多
-
亞細胞定位:Secreted.
-
組織特異性:Found in plasma.
-
數據庫鏈接:
Most popular with customers
-
-
YWHAB Recombinant Monoclonal Antibody
Applications: ELISA, WB, IHC, IF, FC
Species Reactivity: Human, Mouse, Rat
-
-
-
-
-
-















