CHGB Antibody
-
中文名稱:CHGB兔多克隆抗體
-
貨號:CSB-PA910897
-
規格:¥1100
-
圖片:
-
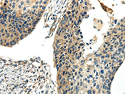
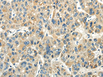
The image on the left is immunohistochemistry of paraffin-embedded Human liver cancer tissue using CSB-PA910897(CHGB Antibody) at dilution 1/30, on the right is treated with synthetic peptide. (Original magnification: ×200)
-
The image on the left is immunohistochemistry of paraffin-embedded Human esophagus cancer tissue using CSB-PA910897(CHGB Antibody) at dilution 1/30, on the right is treated with synthetic peptide. (Original magnification: ×200)
-
-
其他:
產品詳情
-
Uniprot No.:
-
基因名:CHGB
-
別名:CCB peptide antibody; Cg B antibody; CgB antibody; Chgb antibody; Chromogranin-B antibody; ChromograninB antibody; SCG1 antibody; SCG1_HUMAN antibody; Secretogranin 1 antibody; Secretogranin B antibody; Secretogranin I antibody; SgI antibody
-
宿主:Rabbit
-
反應種屬:Human,Mouse,Rat
-
免疫原:Synthetic peptide of Human CHGB
-
免疫原種屬:Homo sapiens (Human)
-
標記方式:Non-conjugated
-
抗體亞型:IgG
-
純化方式:Antigen affinity purification
-
濃度:It differs from different batches. Please contact us to confirm it.
-
保存緩沖液:-20°C, pH7.4 PBS, 0.05% NaN3, 40% Glycerol
-
產品提供形式:Liquid
-
應用范圍:ELISA,IHC
-
推薦稀釋比:
Application Recommended Dilution ELISA 1:2000-1:5000 IHC 1:25-1:100 -
Protocols:
-
儲存條件:Upon receipt, store at -20°C or -80°C. Avoid repeated freeze.
-
貨期:Basically, we can dispatch the products out in 1-3 working days after receiving your orders. Delivery time maybe differs from different purchasing way or location, please kindly consult your local distributors for specific delivery time.
-
用途:For Research Use Only. Not for use in diagnostic or therapeutic procedures.
相關產品
靶點詳情
-
功能:Secretogranin-1 is a neuroendocrine secretory granule protein, which may be the precursor for other biologically active peptides.
-
基因功能參考文獻:
- evidence suggests that the P413L variant of chromogranin B is not associated with amyotrophic lateral sclerosis (ALS) risk or age at ALS onset (meta-analysis). PMID: 28795874
- Data suggest that chromogranin B (CGB) is a promising emerging biomarker in heart failure (HF) patients with unique potential to integrate information from myocardial stress and neuro-endocrine activation. PMID: 29098879
- Circulating chromogranin B (CgB) levels measured on Intensive Care Unit (ICU) admission provided additional prognostic information to established risk indices in acute respiratory failure (ARF) patients. PMID: 28049363
- results presented here suggest that CHGB variant alleles, the rare CHGB-L413 and common CHGB-P413, may act as modifiers of ALS disease dependent on their expression levels which is higher in females because of a sex-determining region Y element in the CHGB gene promoter. PMID: 28175304
- our results suggest that genetic variants of CHGB may have sex-specific effects on the risk of schizophrenia and provide useful preliminary information for further study. PMID: 28332369
- intracellular calcium binding protein Sg1 is increased in early multiple sclerosis (MS) patients compared to relapsing-remitting MS and neurological controls. PMID: 26152395
- The polymorphism P413L in the CHGB gene was not associated with sporadic amyotrophic lateral sclerosis in a group of Italian patients. PMID: 26003296
- A heterogeneous response to short- and long-term physical activities among circulating granin proteins, particularly chromogranin B. PMID: 23816467
- Results do not support the 413L variant of chromogranin B as a risk factor for sporadic amyotrophic lateral sclerosis in the French population. PMID: 20932227
- common polymorphism in the 3'-UTR (C+84A) of CHGB, which disrupts an A/U-rich messenger ribonucleic acid stability element, associates with not only CHGB secretion but also excretion of isoprostane PMID: 20888525
- The common CHGB promoter variants A-296C and A-261T, and their consequent haplotypes, alter binding of specific transcription factors to influence gene expression in cella as well as BP in vivo PMID: 20359597
- Genetic variation at the CHGB locus, in the proximal promoter, influences CHGB expression as well as catecholamine secretion and later the early heritable responses to environmental stress, and resting/basal Blood Pressure in the population. PMID: 20011129
- finding that CHGB may act as a susceptibility gene and modifier of onset in ALS is consistent with the emerging view that dysfunction of the secretory pathway may contribute to increased vulnerability of motor neurons PMID: 20007371
- Chromogranin B was selected as a candidate gene for schizophrenia. We systematically screened all the promoter and exon regions of the gene and detected 15 single nucleotide polymorphisms in a Chinese population. PMID: 11959426
- CgB may play some role in the early phase of neoplastic progression PMID: 12165659
- there are four different types of chromogranin B in pancreatic islets as demonstrated by region-specific antibodies PMID: 12438147
- 5 CgB fragments were measured in plasma: CgB1-16, CgB312-331, CgB439-451, CgB568-577, & CgB647-657. Substantial heritability, as measured by h2r, was observed for 3 of the fragment concentrations, CgB312-331, CgB439-451, and CgB568-577. PMID: 15138309
- 10 microsatellite markers were analyzed, and an association of schizophrenia was found with D20S882 and D20S905 that flank D20S95. The chromogranin B gene is 30 kb from D20S905. PMID: 15219467
- Overall, our results suggest that at least one locus in or close to the CHGB gene confers risk of the disorder and strengthen the evidence that CHGB is a promising susceptibility gene for schizophrenia in Chinese population. PMID: 17143778
- Locally infused tyramine produced dose-dependent pressor responses, predicted by family history of hypertension, sex, and genetic variants at loci, particularly CHGB, that encode the biosynthesis, storage, and metabolism of catecholamines. PMID: 18180394
- semiquantitative immunocytochemistry for chromogranin B in amyotrophic lateral sclerosis PMID: 18721831
顯示更多
收起更多
-
亞細胞定位:Secreted. Note=Neuroendocrine and endocrine secretory granules.
-
蛋白家族:Chromogranin/secretogranin protein family
-
組織特異性:Expressed in the adrenal medulla, and in pheochromocytoma. Not expressed in liver.
-
數據庫鏈接:
Most popular with customers
-
-
YWHAB Recombinant Monoclonal Antibody
Applications: ELISA, WB, IHC, IF, FC
Species Reactivity: Human, Mouse, Rat
-
Phospho-YAP1 (S127) Recombinant Monoclonal Antibody
Applications: ELISA, WB, IHC
Species Reactivity: Human
-
-
-
-
-















