CDK6 Antibody
-
中文名稱:CDK6兔多克隆抗體
-
貨號:CSB-PA005074LA01HU
-
規格:¥440
-
圖片:
-
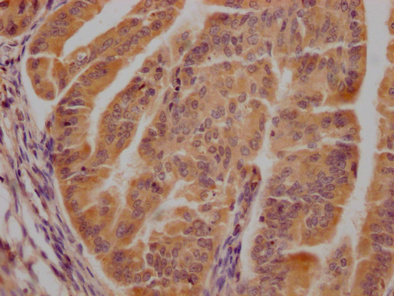
IHC image of CSB-PA005074LA01HU diluted at 1:300 and staining in paraffin-embedded human endometrial cancer performed on a Leica BondTM system. After dewaxing and hydration, antigen retrieval was mediated by high pressure in a citrate buffer (pH 6.0). Section was blocked with 10% normal goat serum 30min at RT. Then primary antibody (1% BSA) was incubated at 4°C overnight. The primary is detected by a Goat anti-rabbit polymer IgG labeled by HRP and visualized using 0.05% DAB.
-
Immunofluorescence staining of Hela cells with CSB-PA005074LA01HU at 1:100, counter-stained with DAPI. The cells were fixed in 4% formaldehyde and blocked in 10% normal Goat Serum. The cells were then incubated with the antibody overnight at 4°C. The secondary antibody was Alexa Fluor 488-congugated AffiniPure Goat Anti-Rabbit IgG(H+L).
-
-
其他:
產品詳情
-
產品名稱:Rabbit anti-Homo sapiens (Human) CDK6 Polyclonal antibody
-
Uniprot No.:
-
基因名:
-
別名:CDK 6 antibody; CDK6 antibody; CDK6_HUMAN antibody; Cell division protein kinase 6 antibody; Crk 2 antibody; Crk2 antibody; Cyclin dependent kinase 6 antibody; Cyclin-dependent kinase 6 antibody; MCPH12 antibody; MGC59692 antibody; p40 antibody; PLSTIRE antibody; Serine/threonine protein kinase PLSTIRE antibody; Serine/threonine-protein kinase PLSTIRE antibody; STQTL11 antibody
-
宿主:Rabbit
-
反應種屬:Human
-
免疫原:Recombinant Human Cyclin-dependent kinase 6 protein (102-326AA)
-
免疫原種屬:Homo sapiens (Human)
-
標記方式:Non-conjugated
本頁面中的產品,CDK6 Antibody (CSB-PA005074LA01HU),的標記方式是Non-conjugated。對于CDK6 Antibody,我們還提供其他標記。見下表:
-
克隆類型:Polyclonal
-
抗體亞型:IgG
-
純化方式:>95%, Protein G purified
-
濃度:It differs from different batches. Please contact us to confirm it.
-
保存緩沖液:Preservative: 0.03% Proclin 300
Constituents: 50% Glycerol, 0.01M PBS, PH 7.4 -
產品提供形式:Liquid
-
應用范圍:ELISA, IHC, IF
-
推薦稀釋比:
Application Recommended Dilution IHC 1:200-1:500 IF 1:100-1:500 -
Protocols:
-
儲存條件:Upon receipt, store at -20°C or -80°C. Avoid repeated freeze.
-
貨期:Basically, we can dispatch the products out in 1-3 working days after receiving your orders. Delivery time maybe differs from different purchasing way or location, please kindly consult your local distributors for specific delivery time.
-
用途:For Research Use Only. Not for use in diagnostic or therapeutic procedures.
相關產品
靶點詳情
-
功能:Serine/threonine-protein kinase involved in the control of the cell cycle and differentiation; promotes G1/S transition. Phosphorylates pRB/RB1 and NPM1. Interacts with D-type G1 cyclins during interphase at G1 to form a pRB/RB1 kinase and controls the entrance into the cell cycle. Involved in initiation and maintenance of cell cycle exit during cell differentiation; prevents cell proliferation and regulates negatively cell differentiation, but is required for the proliferation of specific cell types (e.g. erythroid and hematopoietic cells). Essential for cell proliferation within the dentate gyrus of the hippocampus and the subventricular zone of the lateral ventricles. Required during thymocyte development. Promotes the production of newborn neurons, probably by modulating G1 length. Promotes, at least in astrocytes, changes in patterns of gene expression, changes in the actin cytoskeleton including loss of stress fibers, and enhanced motility during cell differentiation. Prevents myeloid differentiation by interfering with RUNX1 and reducing its transcription transactivation activity, but promotes proliferation of normal myeloid progenitors. Delays senescence. Promotes the proliferation of beta-cells in pancreatic islets of Langerhans. May play a role in the centrosome organization during the cell cycle phases.
-
基因功能參考文獻:
- CDK6 inhibition and MiR-320c overexpression attenuated IL-1beta-induced increases in expression of inflammatory products such as iNOS and MMP13 and decreased the expression of anabolic products such as COL2A1 and aggrecan. PMID: 30466085
- Our data suggested that miR-29a could play an important role in inhibiting proliferation and motility of cancerous Schwann cells, and may suppress tumor growth through upregulation of CDK6. PMID: 29023945
- High CDK6 Expression is associated with Oral Squamous Cell Carcinomas. PMID: 29693970
- The results indicate that C-glycosyl flavone may exert induction of apoptosis, cell cycle arrest and inhibition of angiogenesis via CDK6. Thus, targeting CDK6 using C-glycosyl flavone may serve as a novel therapeutic approach for the treatment of breast, hepatic and colon cancers. PMID: 29806604
- the miR494/CDK6 axis has a significant tumorsuppressive effect on osteosarcoma. PMID: 28990071
- High CDK6 expression is associated with bladder carcinoma. PMID: 27484176
- Molecular dynamics simulations showed that the free energy barrier of the transition from open to closed state decreased ~47.2% after Thr177 phosphorylation, increasing the flexibility around the ATP-binding pocket. Binding preferences of 10 different inhibitors to open or closed state were also investigated. PMID: 29108955
- miRNA-195 was associated with tumor malignancy grade and might be involved in the development and progression of OVC. In addition, CDK6 was predicted to be a target gene of miRNA-195 and obviously increased in both OVC and OSCC. PMID: 28621315
- Results show that miR-218-5p is increased in bone metastases and promotes breast cancer cell proliferation by activating wnt signaling. PMID: 27738322
- Upregulation of CDK6 may be an important mechanism in overcoming fulvestrant-mediated growth inhibition in breast cancer cells. PMID: 27252418
- the MYU/hnRNP-K/CDK6 pathway functions downstream of Wnt/c-Myc signaling and plays a critical role in the proliferation and tumorigenicity of colon cancer cells. PMID: 27568568
- The deletion of CBX3 directly enforces the expression of CDK6 and p21. PMID: 28193906
- CDK6-mediated suppression of CD25 is required for initiation of T-ALL by activated Notch1 PMID: 26707936
- CDK6 overexpression is associated with cancer. PMID: 27206849
- High CDK6 expression is associated with Melanoma. PMID: 26988987
- Palbociclib can overcome mutations in cyclin dependent kinase 6 that break hydrogen bonds between the drug and the protein PMID: 28168755
- Our study proved that the CDK6 gene is a target of miR-637, and demonstrated the regulatory association between miR-637 and CDK6 PMID: 27794186
- miR-1299 inhibited CDK6 expression and bound to the 3'UTR of CDK6. PMID: 27490780
- Results show that NEAT1 regulated CDK6 expression in laryngeal squamous cell cancer (LSCC) cells which was mediated by miR-107; NEAT1 plays an oncogenic role in the tumorigenesis of LSCC. PMID: 26822763
- lower expression in cisplatin-resistant non-small-cell lung carcinoma PMID: 25703099
- three uniquely identified proteins (CDK6 , galectin-3-binding protein and LDH C) were found, which show tight connection with prostate cancer and presence of all of them was previously linked to certain aspects of prostate cancer PMID: 26503549
- These data enhance our understanding of the important role that GAS5 plays in the molecular etiology of GC and suggest a potential of GAS5 as a new therapeutic target for GC treatment. PMID: 26278580
- MiR-26a and mir-584 inhibit the binding of hnRNP A1-CDK6 mRNA and induce colorectal cancer cell apoptosis. PMID: 26494299
- only miR-34a was prognostic for RFS (RR, 11.5; P = 0.027). miR-34a expression was inversely correlated with that of c-MET and CDK6 in non-small cell lung cancer , and had prognostic significance for RFS, especially in adenocarcinoma patients. PMID: 26104764
- We conclude that Bz-surviving MM cells display a GRP78(HIGH)/p21(HIGH)/CDK6(LOW)/P-Rb(LOW) profile, and these markers may identify quiescent MM cells capable of fueling recurrences. PMID: 26025442
- differential expression of CDK6 underlies heterogeneity in stem cell quiescence states that functionally regulates this highly regenerative system PMID: 25704240
- LINE-1 hypomethylation was associated with a higher cancer recurrence and CDK6 messenger RNA expression levels were inversely associated with LINE-1 methylation in hepatocellular carcinomas. PMID: 25319577
- miR-320c could inhibit the proliferation, migration and invasion of bladder cancer cells via regulating CDK6. PMID: 25178497
- SUMO1 modification stabilizes CDK6 protein and drives the cell cycle and glioblastoma progression. PMID: 24953629
- Cooperation of DLC1 and CDK6 affects breast cancer clinical outcome PMID: 25425654
- Our data suggest that miR-377 can suppress proliferation in MG-63 cells in part by targeting CDK6. PMID: 25577249
- genetic variants in CDK6 and PADI4 were associated with anti-citrullinated cyclic peptide status in rheumatoid arthritis DRB1*04 negative patients PMID: 25138370
- CDK6 is a direct target of MLL fusion proteins, playing an important role in the proliferation advantage of MLL-rearranged ALL cells. PMID: 24736461
- The addition of CDK4/6 inhibitor palbociclib to letrozole in this phase 2 study significantly improved progression-free survival in women with advanced oestrogen receptor-positive and HER2-negative breast cancer. PMID: 25524798
- results suggest that DCK6 is a putative target of miR504 in of hypopharyngeal squamous cell carcinoma. PMID: 24647829
- cases with CDK6-positive expression experienced worse clinical outcome compared with those with CDK6-negative expression, supporting the oncogenic role of CDK6 in ESCC. PMID: 24423610
- these findings identify a direct relationship between control of the cell cycle by CDK6 and SAMHD1 activity, which is important for replication of lentiviruses, as well as other viruses whose replication may be regulated by intracellular dNTP availability. PMID: 25015816
- Findings begin to elucidate the role of miR-145 as an important regulator of chemoresistance in ovarian cancer by controlling both Cdk6 and Sp1. PMID: 24510775
- overexpression of hsa-miR-4516 downregulates STAT3, p-STAT3, CDK6, and UBE2N proteins that are consistently upregulated in psoriasis and induces apoptosis in HaCaT cells. PMID: 24610393
- An evolving tumor can only derive full benefit from from overexpression of CDK6 in the absence of P16INK4A. PMID: 24161991
- MYC-dependent breast cancer cells possess high MYC expression and high level of MYC phosphorylation, but are not sensitive to inhibition of CDK6. PMID: 24444383
- This interaction suggests that CDK6 regulates EYA2 activity, a mechanism that could be important in development and in cancer. PMID: 24196439
- Gas5 negatively regulates CDK6 (cyclin-dependent kinase 6) expression in vitro and in vivo in pancreatic cancer cells. PMID: 24026436
- data identify CDK6 as critical effector of MLL fusions in leukemogenesis that might be targeted to overcome the differentiation block associated with MLL-rearranged acute myeloid leukemia PMID: 24764564
- Data indicate CDK6 as a putative target of miR-105 which is likely a main contributor to the inhibition of tumour cell growth observed in our assays. PMID: 23950948
- CDK6 rs42041 was associated with a remitting course of juvenile idiopathic arthritis. PMID: 24347572
- We propose that the identified CDK6 mutation leads to reduced cell proliferation and impairs the correct functioning of the centrosome in microtubule organization and its positioning near the nucleus which are key determinants during neurogenesis. PMID: 23918663
- Downregulation of GAS5 promotes bladder cancer cell proliferation, partly by regulating CDK6. PMID: 24069260
- results showed that let-7a acted as a tumor suppressor in ES by targeting CDK6, and it may provide novel diagnostic and therapeutic options for human Ewing sarcoma clinical operation in future PMID: 24383407
- CDK6 was identified as a novel functional target of miR200a. Our data indicate that miR200a functions as a potential tumor suppressor in HCC. PMID: 24009066
顯示更多
收起更多
-
相關疾病:Microcephaly 12, primary, autosomal recessive (MCPH12)
-
亞細胞定位:Cytoplasm. Nucleus. Cell projection, ruffle. Cytoplasm, cytoskeleton, microtubule organizing center, centrosome.
-
蛋白家族:Protein kinase superfamily, CMGC Ser/Thr protein kinase family, CDC2/CDKX subfamily
-
組織特異性:Expressed ubiquitously. Accumulates in squamous cell carcinomas, proliferating hematopoietic progenitor cells, beta-cells of pancreatic islets of Langerhans, and neuroblastomas. Reduced levels in differentiating cells.
-
數據庫鏈接:
Most popular with customers
-
-
Phospho-YAP1 (S127) Recombinant Monoclonal Antibody
Applications: ELISA, WB, IHC
Species Reactivity: Human
-
-
-
-
-
-















