CDH10 Antibody
-
中文名稱:CDH10兔多克隆抗體
-
貨號:CSB-PA897318ESR1HU
-
規格:¥440
-
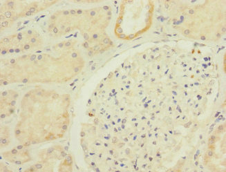
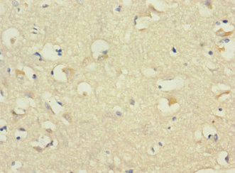
圖片:
-
其他:
產品詳情
-
產品名稱:Rabbit anti-Homo sapiens (Human) CDH10 Polyclonal antibody
-
Uniprot No.:
-
基因名:
-
別名:CAD10_HUMAN antibody; Cadherin 10 (T2 cadherin) antibody; Cadherin 10 type 2 (T2 cadherin) antibody; Cadherin 10 type 2 antibody; Cadherin-10 antibody; Cadherin10 antibody; CDH10 antibody; T2 cadherin antibody; T2-cadherin antibody
-
宿主:Rabbit
-
反應種屬:Human
-
免疫原:Recombinant Human Cadherin-10 protein (20-260AA)
-
免疫原種屬:Homo sapiens (Human)
-
標記方式:Non-conjugated
-
克隆類型:Polyclonal
-
抗體亞型:IgG
-
純化方式:Antigen Affinity Purified
-
濃度:It differs from different batches. Please contact us to confirm it.
-
保存緩沖液:PBS with 0.02% sodium azide, 50% glycerol, pH7.3.
-
產品提供形式:Liquid
-
應用范圍:ELISA, IHC
-
推薦稀釋比:
Application Recommended Dilution IHC 1:20-1:200 -
Protocols:
-
儲存條件:Upon receipt, store at -20°C or -80°C. Avoid repeated freeze.
-
貨期:Basically, we can dispatch the products out in 1-3 working days after receiving your orders. Delivery time maybe differs from different purchasing way or location, please kindly consult your local distributors for specific delivery time.
-
用途:For Research Use Only. Not for use in diagnostic or therapeutic procedures.
相關產品
靶點詳情
-
功能:Cadherins are calcium-dependent cell adhesion proteins. They preferentially interact with themselves in a homophilic manner in connecting cells; cadherins may thus contribute to the sorting of heterogeneous cell types.
-
基因功能參考文獻:
- Loss of CDH10 gene is associated with pancreatic ductal adenocarcinomas. PMID: 28124395
- Unconventional CDH10, CDH24 and DCHS2 genes harbored frameshift mutations. PMID: 24898286
-
亞細胞定位:Cell membrane; Single-pass type I membrane protein.
-
組織特異性:Predominantly expressed in brain. Also found in adult and fetal kidney. Very low levels detected in prostate and fetal lung.
-
數據庫鏈接:
Most popular with customers
-
-
Phospho-YAP1 (S127) Recombinant Monoclonal Antibody
Applications: ELISA, WB, IHC
Species Reactivity: Human
-
-
-
-
-
-















