CD8B Antibody
-
中文名稱:CD8B兔多克隆抗體
-
貨號:CSB-PA004967ESR1HU
-
規格:¥440
-
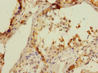
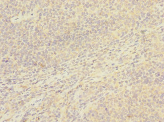
圖片:
-
其他:
產品詳情
-
產品名稱:Rabbit anti-Homo sapiens (Human) CD8B Polyclonal antibody
-
Uniprot No.:
-
基因名:
-
別名:CD8B; CD8B1; T-cell surface glycoprotein CD8 beta chain; CD antigen CD8b
-
宿主:Rabbit
-
反應種屬:Human
-
免疫原:Recombinant Human T-cell surface glycoprotein CD8 beta chain protein (22-170AA)
-
免疫原種屬:Homo sapiens (Human)
-
標記方式:Non-conjugated
-
克隆類型:Polyclonal
-
抗體亞型:IgG
-
純化方式:Antigen Affinity Purified
-
濃度:It differs from different batches. Please contact us to confirm it.
-
保存緩沖液:PBS with 0.02% sodium azide, 50% glycerol, pH7.3.
-
產品提供形式:Liquid
-
應用范圍:ELISA, IHC
-
推薦稀釋比:
Application Recommended Dilution IHC 1:20-1:200 -
Protocols:
-
儲存條件:Upon receipt, store at -20°C or -80°C. Avoid repeated freeze.
-
貨期:Basically, we can dispatch the products out in 1-3 working days after receiving your orders. Delivery time maybe differs from different purchasing way or location, please kindly consult your local distributors for specific delivery time.
-
用途:For Research Use Only. Not for use in diagnostic or therapeutic procedures.
相關產品
靶點詳情
-
功能:Integral membrane glycoprotein that plays an essential role in the immune response and serves multiple functions in responses against both external and internal offenses. In T-cells, functions primarily as a coreceptor for MHC class I molecule:peptide complex. The antigens presented by class I peptides are derived from cytosolic proteins while class II derived from extracellular proteins. Interacts simultaneously with the T-cell receptor (TCR) and the MHC class I proteins presented by antigen presenting cells (APCs). In turn, recruits the Src kinase LCK to the vicinity of the TCR-CD3 complex. A palmitoylation site in the cytoplasmic tail of CD8B chain contributes to partitioning of CD8 into the plasma membrane lipid rafts where signaling proteins are enriched. Once LCK recruited, it initiates different intracellular signaling pathways by phosphorylating various substrates ultimately leading to lymphokine production, motility, adhesion and activation of cytotoxic T-lymphocytes (CTLs). Additionally, plays a critical role in thymic selection of CD8+ T-cells.
-
基因功能參考文獻:
- results suggest that mycoplasma induces a resistance to multiple drugs in hepatocarcinoma cells which required the interaction of P37 and Annexin A2. The pathway downstream this interaction needs to be explored PMID: 28976984
- [review] Coreceptor CD8alphabeta contributes to the antigen-recognition process by binding to a largely invariant region of the MHCI molecule and by promoting intracellular signaling. PMID: 21954283
- A clustering of DNase hypersensitivity sites and matrix attachment regions capable of binding SATB1 and GATA-3, colocalized at the 3' end of the CD8B gene, suggests that this region is an epigenetic regulator of CD8 expression. PMID: 11937547
- RT-PCR, and related methodologies are not useful substitutes for assessment of CD4 and CD8 cell numbers in HIV-infected persons. PMID: 12702212
- study demonstrated differential mRNA expression patterns of CD8beta splice variants in thymocytes and in resting, memory, and activated primary CD8(+) T cells PMID: 18490743
顯示更多
收起更多
-
亞細胞定位:[Isoform 1]: Cell membrane; Single-pass type I membrane protein.; [Isoform 2]: Cell membrane; Single-pass type I membrane protein.; [Isoform 3]: Secreted.; [Isoform 4]: Cell membrane; Single-pass type I membrane protein.; [Isoform 5]: Cell membrane; Single-pass type I membrane protein.; [Isoform 6]: Secreted.; [Isoform 7]: Secreted.; [Isoform 8]: Secreted.
-
組織特異性:Isoform 1, isoform 3, isoform 5, isoform 6, isoform 7 and isoform 8 are expressed in both thymus and peripheral CD8+ T-cells. Expression of isoform 1 is higher in thymus CD8+ T-cells than in peripheral CD8+ T-cells. Expression of isoform 6 is higher in pe
-
數據庫鏈接:
Most popular with customers
-
YWHAB Recombinant Monoclonal Antibody
Applications: ELISA, WB, IHC, IF, FC
Species Reactivity: Human, Mouse, Rat
-
Phospho-YAP1 (S127) Recombinant Monoclonal Antibody
Applications: ELISA, WB, IHC
Species Reactivity: Human
-
-
-
-
-
-















