CD5L Antibody
-
中文名稱:CD5L兔多克隆抗體
-
貨號:CSB-PA867465
-
規格:¥1100
-
圖片:
-
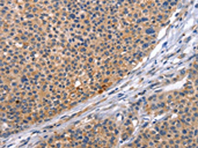
The image on the left is immunohistochemistry of paraffin-embedded Human liver cancer tissue using CSB-PA867465(CD5L Antibody) at dilution 1/30, on the right is treated with synthetic peptide. (Original magnification: ×200)
-
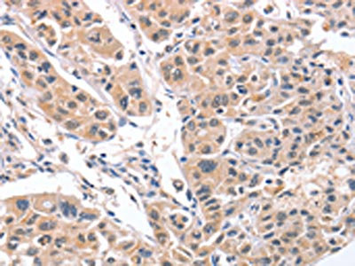
The image on the left is immunohistochemistry of paraffin-embedded Human lung cancer tissue using CSB-PA867465(CD5L Antibody) at dilution 1/30, on the right is treated with synthetic peptide. (Original magnification: ×200)
-
-
其他:
產品詳情
-
Uniprot No.:
-
基因名:CD5L
-
別名:AAC-11 antibody; AIM antibody; API6 antibody; APOPTOSIS INHIBITOR 6 antibody; APOPTOSIS INHIBITOR OF MACROPHAGES antibody; CD5 antigen like (scavenger receptor cysteine rich family) antibody; CD5 antigen-like antibody; Cd5l antibody; CD5L_HUMAN antibody; CT 2 antibody; CT-2 antibody; Highly similar to ANTIGEN WC1.1 [Bos taurus] antibody; IgM associated peptide antibody; IgM-associated peptide antibody; Pdp antibody; PRO229 antibody; SCAVENGER RECEPTOR CYSTEINE-RICH FAMILY antibody; SP ALPHA antibody; SP-alpha antibody; Spalpha antibody
-
宿主:Rabbit
-
反應種屬:Human,Mouse
-
免疫原:Synthetic peptide of Human CD5L
-
免疫原種屬:Homo sapiens (Human)
-
標記方式:Non-conjugated
-
抗體亞型:IgG
-
純化方式:Antigen affinity purification
-
濃度:It differs from different batches. Please contact us to confirm it.
-
保存緩沖液:-20°C, pH7.4 PBS, 0.05% NaN3, 40% Glycerol
-
產品提供形式:Liquid
-
應用范圍:ELISA,IHC
-
推薦稀釋比:
Application Recommended Dilution ELISA 1:1000-1:5000 IHC 1:25-1:100 -
Protocols:
-
儲存條件:Upon receipt, store at -20°C or -80°C. Avoid repeated freeze.
-
貨期:Basically, we can dispatch the products out in 1-3 working days after receiving your orders. Delivery time maybe differs from different purchasing way or location, please kindly consult your local distributors for specific delivery time.
-
用途:For Research Use Only. Not for use in diagnostic or therapeutic procedures.
相關產品
靶點詳情
-
功能:Secreted protein that acts as a key regulator of lipid synthesis: mainly expressed by macrophages in lymphoid and inflamed tissues and regulates mechanisms in inflammatory responses, such as infection or atherosclerosis. Able to inhibit lipid droplet size in adipocytes. Following incorporation into mature adipocytes via CD36-mediated endocytosis, associates with cytosolic FASN, inhibiting fatty acid synthase activity and leading to lipolysis, the degradation of triacylglycerols into glycerol and free fatty acids (FFA). CD5L-induced lipolysis occurs with progression of obesity: participates in obesity-associated inflammation following recruitment of inflammatory macrophages into adipose tissues, a cause of insulin resistance and obesity-related metabolic disease. Regulation of intracellular lipids mediated by CD5L has a direct effect on transcription regulation mediated by nuclear receptors ROR-gamma (RORC). Acts as a key regulator of metabolic switch in T-helper Th17 cells. Regulates the expression of pro-inflammatory genes in Th17 cells by altering the lipid content and limiting synthesis of cholesterol ligand of RORC, the master transcription factor of Th17-cell differentiation. CD5L is mainly present in non-pathogenic Th17 cells, where it decreases the content of polyunsaturated fatty acyls (PUFA), affecting two metabolic proteins MSMO1 and CYP51A1, which synthesize ligands of RORC, limiting RORC activity and expression of pro-inflammatory genes. Participates in obesity-associated autoimmunity via its association with IgM, interfering with the binding of IgM to Fcalpha/mu receptor and enhancing the development of long-lived plasma cells that produce high-affinity IgG autoantibodies. Also acts as an inhibitor of apoptosis in macrophages: promotes macrophage survival from the apoptotic effects of oxidized lipids in case of atherosclerosis. Involved in early response to microbial infection against various pathogens by acting as a pattern recognition receptor and by promoting autophagy.
-
基因功能參考文獻:
- Taken together with our results on the aberrant ex vivo production of CD5L, this study has provided new evidence for the potential immunopathological role of CD5L in the exacerbation of SLE disease, and circulating concentration of CD5L may act as a potential disease marker for the monitoring of disease severity and therapeutic effects in SLE patients. PMID: 30173083
- AIM enhances intratubular debris clearance and ameliorates acute kidney injury via interaction with KIM-1. PMID: 26726878
- The present study provides the first evidence that apoptosis inhibitor of macrophages binds to IGFBP2, 3 and 4. PMID: 26135353
- CD36 is involved in autophagy; the CD5L-CD36 axis has a role in the induction of macrophage autophagy PMID: 25713983
- CD5L is a key protein in the control of immune homeostasis and inflammatory disease. (Review) PMID: 26048980
- Apoptosis inhibitor of macrophage levels were markedly higher in patients with advanced liver damage, regardless of disease type, and correlated significantly with multiple parameters representing liver function. PMID: 25302503
- AIM contributes to key macrophage responses to M. tuberculosis PMID: 24223991
- Our data represent the first evidence that human AIM is involved in macrophage survival, adhesion, and foam cell formation PMID: 24295828
- N-glycosylation plays important roles in the secretion and lipolytic function of AIM PMID: 23236605
- AIM is involved in the progression of MetS in both an advancing and inhibitory fashion. Regulation of AIM could therefore be therapeutically applicable for MetS. PMID: 21970839
- Spalpha is an active constituent of the innate immune response of the host PMID: 16030018
- CD5L and ApoE were significantly up-regulated or down-regulated, respectively, in the plasma from AD patients compared with that from healthy donors. PMID: 19116453
- Dysregulation of myeloid cell populations by extracellular transgene Api6 signaling leads to abnormal myelopoiesis and lung cancer in bitransgenic mice. PMID: 19155514
顯示更多
收起更多
-
亞細胞定位:Secreted. Cytoplasm.
-
組織特異性:Expressed in spleen, lymph node, thymus, bone marrow, and fetal liver, but not in non-lymphoid tissues.
-
數據庫鏈接:
Most popular with customers
-
-
YWHAB Recombinant Monoclonal Antibody
Applications: ELISA, WB, IHC, IF, FC
Species Reactivity: Human, Mouse, Rat
-
-
-
-
-
-















