CCL8 Antibody
-
中文名稱:CCL8兔多克隆抗體
-
貨號:CSB-PA07629A0Rb
-
規格:¥440
-
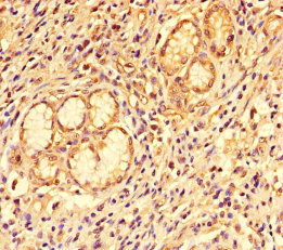
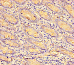
圖片:
-
其他:
產品詳情
-
產品名稱:Rabbit anti-Homo sapiens (Human) CCL8 Polyclonal antibody
-
Uniprot No.:
-
基因名:
-
別名:Ccl8 antibody; CCL8_HUMAN antibody; HC14 antibody; MCP-2 antibody; MCP-2(6-76) antibody; Monocyte chemoattractant protein 2 antibody; Monocyte chemotactic protein 2 antibody; SCYA10 antibody; SCYA8 antibody; Small-inducible cytokine A8 antibody
-
宿主:Rabbit
-
反應種屬:Human
-
免疫原:Recombinant Human C-C motif chemokine 8 protein (24-99AA)
-
免疫原種屬:Homo sapiens (Human)
-
標記方式:Non-conjugated
本頁面中的產品,CCL8 Antibody (CSB-PA07629A0Rb),的標記方式是Non-conjugated。對于CCL8 Antibody,我們還提供其他標記。見下表:
-
克隆類型:Polyclonal
-
抗體亞型:IgG
-
純化方式:>95%, Protein G purified
-
濃度:It differs from different batches. Please contact us to confirm it.
-
保存緩沖液:Preservative: 0.03% Proclin 300
Constituents: 50% Glycerol, 0.01M PBS, PH 7.4 -
產品提供形式:Liquid
-
應用范圍:ELISA, IHC
-
推薦稀釋比:
Application Recommended Dilution IHC 1:20-1:200 -
Protocols:
-
儲存條件:Upon receipt, store at -20°C or -80°C. Avoid repeated freeze.
-
貨期:Basically, we can dispatch the products out in 1-3 working days after receiving your orders. Delivery time maybe differs from different purchasing way or location, please kindly consult your local distributors for specific delivery time.
-
用途:For Research Use Only. Not for use in diagnostic or therapeutic procedures.
相關產品
靶點詳情
-
功能:Chemotactic factor that attracts monocytes, lymphocytes, basophils and eosinophils. May play a role in neoplasia and inflammatory host responses. This protein can bind heparin. The processed form MCP-2(6-76) does not show monocyte chemotactic activity, but inhibits the chemotactic effect most predominantly of CCL7, and also of CCL2 and CCL5 and CCL8.
-
基因功能參考文獻:
- It was shown that MCP2 was able to activate the NF-kappaB signaling pathway inducing the epithelial-mesenchymal transition (EMT) and promoting the migration and invasion of ESCC cells in vitro. PMID: 29148603
- Transcriptome analysis identified several novel IPF-related genes. Among them, CCL8 is a candidate molecule for the differential diagnosis and prediction of survival. PMID: 28057004
- Findings exemplify how gradients of chemoattractive factors such as CCL8, drive metastasis and suggest that interference with their operation may provide means for breast cancer management. PMID: 27181207
- Detecting expression changes in TLR4 and MCP2 in the peripheral blood is a feasible method for predicting the occurrence of abortion in women of child-bearing age PMID: 27173235
- Dermal fibroblast CCL8 promotes melanoma metastasis. PMID: 26320180
- Authors show that the previously observed downregulation of hsa-miR-92a and upregulation of CCL8 during human cytomegalovirus latent infection of myeloid cells are intimately linked via the latency-associated expression of cytomegalovirus UL111A. PMID: 25253336
- CCL8 is an antimicrobial protein with bacteriocidal activity against E. coli. PMID: 12949249
- Results indicate that the induction of MCP-2/CCL8 by mycobacteria is dependent on the activation of TLR2/PI3K/Akt signaling pathway. PMID: 23418602
- Macrophage Colony Stimulating Factor and Monocyte Chemoattractant Protein are elevated in sera of intrinsic asthmatics compared to normal controls. PMID: 21945122
- genetic polymorphhism is associated with a risk of death for non-small cell lung cancer in Chinese PMID: 21514686
- Cytokine treatment increases mRNA stability only for chemokines CCL2 and CCL8 in airway epithelium, and transient silencing and overexpression of human antigen R affects only chemokine CCL2 and CCL8 expression in primary and transformed epithelial cells. PMID: 21220697
- CCL8/MCP-2 is a target for mir-146a in HIV-1 infected microglia, as overexpression of mir-146a prevented HIV-induced secretion of MCP-2 chemokine PMID: 20181935
- TRAIL pretreatment of endothelial cells down-modulated mRNA steady-state levels of several TNF-alpha-induced chemokines, and it abrogated the TNF-alpha-mediated up-regulation of CCL8 and CXCL10, modulating leukocyte/endothelial cell adhesion PMID: 15644410
- Angiotensin II directly stimulates MCP-2 expression through AT1-receptors in activated macrophages PMID: 17487826
- CCL8 is a promising specific serum marker for the early and accurate diagnosis of graft-versus-host disease. PMID: 18256320
- A new finding is the differential distribution of CCL8 marker alleles and a haplotype in extreme severity subgroups of MS. PMID: 18602166
- IP-10 and MCP-2 are expressed in tuberculosis patients PMID: 18684849
- 5-Amino-4-imidazole carboxamide riboside (AICAR) markedly increases UCP-2 expression and reduced both reactive oxygen species and prostacyclin synthase nitration. PMID: 18835932
- These data indicate that optimal induction and delivery of MCP-2/CCL8 is counteracted by converting this chemokine into a receptor antagonist, thereby losing its anti-tumoral potential. PMID: 19224633
- CCL8/MCP rs1133763 SNP, or other variants in linkage disequilibrium with this variant, likely do not influence the susceptibility to AD or FTLD in Caucasians. PMID: 19415413
顯示更多
收起更多
-
亞細胞定位:Secreted.
-
蛋白家族:Intercrine beta (chemokine CC) family
-
組織特異性:Highest expression found in the small intestine and peripheral blood cells. Intermediate levels seen in the heart, placenta, lung, skeletal muscle, thymus, colon, ovary, spinal cord and pancreas. Low levels seen in the brain, liver, spleen and prostate.
-
數據庫鏈接:
Most popular with customers
-
-
YWHAB Recombinant Monoclonal Antibody
Applications: ELISA, WB, IHC, IF, FC
Species Reactivity: Human, Mouse, Rat
-
-
-
-
-
-















