CATSPER4 Antibody
-
中文名稱:CATSPER4兔多克隆抗體
-
貨號:CSB-PA745763LA01HU
-
規格:¥440
-
圖片:
-
Immunofluorescent analysis of Hela cells using CSB-PA745763LA01HU at dilution of 1:100 and Alexa Fluor 488-congugated AffiniPure Goat Anti-Rabbit IgG(H+L)
-
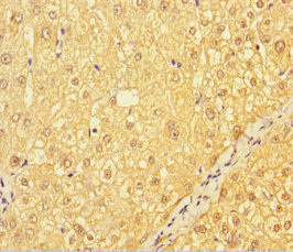
Immunohistochemistry of paraffin-embedded human liver cancer using CSB-PA745763LA01HU at dilution of 1:100
-
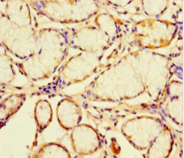
Immunohistochemistry of paraffin-embedded human gastric cancer using CSB-PA745763LA01HU at dilution of 1:100
-
-
其他:
產品詳情
-
產品名稱:Rabbit anti-Homo sapiens (Human) CATSPER4 Polyclonal antibody
-
Uniprot No.:
-
基因名:CATSPER4
-
別名:CATSPER4; Cation channel sperm-associated protein 4; CatSper4
-
宿主:Rabbit
-
反應種屬:Human
-
免疫原:Recombinant Human Cation channel sperm-associated protein 4 protein (306-472AA)
-
免疫原種屬:Homo sapiens (Human)
-
標記方式:Non-conjugated
本頁面中的產品,CATSPER4 Antibody (CSB-PA745763LA01HU),的標記方式是Non-conjugated。對于CATSPER4 Antibody,我們還提供其他標記。見下表:
-
克隆類型:Polyclonal
-
抗體亞型:IgG
-
純化方式:>95%, Protein G purified
-
濃度:It differs from different batches. Please contact us to confirm it.
-
保存緩沖液:Preservative: 0.03% Proclin 300
Constituents: 50% Glycerol, 0.01M PBS, PH 7.4 -
產品提供形式:Liquid
-
應用范圍:ELISA, IHC, IF
-
推薦稀釋比:
Application Recommended Dilution IHC 1:20-1:200 IF 1:50-1:200 -
Protocols:
-
儲存條件:Upon receipt, store at -20°C or -80°C. Avoid repeated freeze.
-
貨期:Basically, we can dispatch the products out in 1-3 working days after receiving your orders. Delivery time maybe differs from different purchasing way or location, please kindly consult your local distributors for specific delivery time.
-
用途:For Research Use Only. Not for use in diagnostic or therapeutic procedures.
相關產品
靶點詳情
-
功能:Voltage-gated calcium channel that plays a central role in calcium-dependent physiological responses essential for successful fertilization, such as sperm hyperactivation, acrosome reaction and chemotaxis towards the oocyte.
-
基因功能參考文獻:
- Observational study of gene-disease association. (HuGE Navigator) PMID: 20546612
- Catsper4 has a single channel-forming domain, a pore-loop with the consensus sequence TxDxW, & a coiled-coil protein-protein interaction domain in the C-terminal tail. CatSpers 1,2,3 & 4 may interact directly or indirectly to form a functional tetramer. PMID: 12932298
- Observational study and genome-wide association study of gene-disease association. (HuGE Navigator) PMID: 19343178
-
亞細胞定位:Cell projection, cilium, flagellum membrane; Multi-pass membrane protein. Note=Specifically located in the principal piece of sperm tail.
-
蛋白家族:Cation channel sperm-associated (TC 1.A.1.19) family
-
組織特異性:Testis-specific.
-
數據庫鏈接:
Most popular with customers
-
-
YWHAB Recombinant Monoclonal Antibody
Applications: ELISA, WB, IHC, IF, FC
Species Reactivity: Human, Mouse, Rat
-
-
-
-
-
-















