CATSPER3 Antibody
-
中文名稱:CATSPER3兔多克隆抗體
-
貨號:CSB-PA087474
-
規格:¥1100
-
圖片:
-
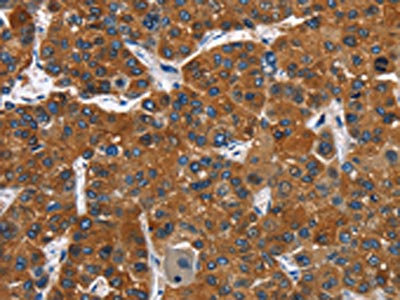
The image on the left is immunohistochemistry of paraffin-embedded Human liver cancer tissue using CSB-PA087474(CATSPER3 Antibody) at dilution 1/60, on the right is treated with fusion protein. (Original magnification: ×200)
-
The image on the left is immunohistochemistry of paraffin-embedded Human thyroid cancer tissue using CSB-PA087474(CATSPER3 Antibody) at dilution 1/60, on the right is treated with fusion protein. (Original magnification: ×200)
-
-
其他:
產品詳情
-
Uniprot No.:
-
基因名:CATSPER3
-
別名:CATSPER3; Cation channel sperm-associated protein 3; CatSper3; Ca(v-like protein; One-repeat calcium channel-like protein
-
宿主:Rabbit
-
反應種屬:Human
-
免疫原:Fusion protein of Human CATSPER3
-
免疫原種屬:Homo sapiens (Human)
-
標記方式:Non-conjugated
-
抗體亞型:IgG
-
純化方式:Antigen affinity purification
-
濃度:It differs from different batches. Please contact us to confirm it.
-
保存緩沖液:-20°C, pH7.4 PBS, 0.05% NaN3, 40% Glycerol
-
產品提供形式:Liquid
-
應用范圍:ELISA,IHC
-
推薦稀釋比:
Application Recommended Dilution ELISA 1:2000-1:10000 IHC 1:100-1:300 -
Protocols:
-
儲存條件:Upon receipt, store at -20°C or -80°C. Avoid repeated freeze.
-
貨期:Basically, we can dispatch the products out in 1-3 working days after receiving your orders. Delivery time maybe differs from different purchasing way or location, please kindly consult your local distributors for specific delivery time.
-
用途:For Research Use Only. Not for use in diagnostic or therapeutic procedures.
相關產品
靶點詳情
-
功能:Voltage-gated calcium channel that plays a central role in calcium-dependent physiological responses essential for successful fertilization, such as sperm hyperactivation, acrosome reaction and chemotaxis towards the oocyte.
-
基因功能參考文獻:
- Catsper3 has a single channel-forming domain, a pore-loop with the consensus sequence TxDxW, & a coiled-coil protein-protein interaction domain in the C-terminal tail. CatSpers 1,2,3 & 4 may interact directly or indirectly to form a functional tetramer. PMID: 12932298
- PMID: 12646162 concludes Alu repeats interfere with splicing of DCOHM and CAVL such that transcripts containing exons of both genes exist. PMID: 12646162
-
亞細胞定位:Cell projection, cilium, flagellum membrane; Multi-pass membrane protein. Note=Specifically located in the principal piece of sperm tail.
-
蛋白家族:Cation channel sperm-associated (TC 1.A.1.19) family
-
組織特異性:Testis-specific.
-
數據庫鏈接:
Most popular with customers
-
-
YWHAB Recombinant Monoclonal Antibody
Applications: ELISA, WB, IHC, IF, FC
Species Reactivity: Human, Mouse, Rat
-
Phospho-YAP1 (S127) Recombinant Monoclonal Antibody
Applications: ELISA, WB, IHC
Species Reactivity: Human
-
-
-
-
-















