CACNA1A Antibody
-
中文名稱:CACNA1A兔多克隆抗體
-
貨號:CSB-PA004397LA01HU
-
規格:¥440
-
圖片:
-
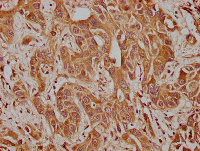
IHC image of CSB-PA004397LA01HU diluted at 1:100 and staining in paraffin-embedded human liver cancer performed on a Leica BondTM system. After dewaxing and hydration, antigen retrieval was mediated by high pressure in a citrate buffer (pH 6.0). Section was blocked with 10% normal goat serum 30min at RT. Then primary antibody (1% BSA) was incubated at 4°C overnight. The primary is detected by a biotinylated secondary antibody and visualized using an HRP conjugated SP system.
-
Immunofluorescence staining of PC-3 cells with CSB-PA004397LA01HU at 1:50, counter-stained with DAPI. The cells were fixed in 4% formaldehyde, permeabilized using 0.2% Triton X-100 and blocked in 10% normal Goat Serum. The cells were then incubated with the antibody overnight at 4°C. The secondary antibody was Alexa Fluor 488-congugated AffiniPure Goat Anti-Rabbit IgG(H+L).
-
-
其他:
產品詳情
-
產品名稱:Rabbit anti-Homo sapiens (Human) CACNA1A Polyclonal antibody
-
Uniprot No.:
-
基因名:
-
別名:CACNA1A antibody; CACH4 antibody; CACN3 antibody; CACNL1A4 antibody; Voltage-dependent P/Q-type calcium channel subunit alpha-1A antibody; Brain calcium channel I antibody; BI antibody; Calcium channel antibody; L type antibody; alpha-1 polypeptide isoform 4 antibody; Voltage-gated calcium channel subunit alpha Cav2.1 antibody
-
宿主:Rabbit
-
反應種屬:Human
-
免疫原:Recombinant Human Voltage-dependent P/Q-type calcium channel subunit alpha-1A protein (1838-2136AA)
-
免疫原種屬:Homo sapiens (Human)
-
標記方式:Non-conjugated
本頁面中的產品,CACNA1A Antibody (CSB-PA004397LA01HU),的標記方式是Non-conjugated。對于CACNA1A Antibody,我們還提供其他標記。見下表:
-
克隆類型:Polyclonal
-
抗體亞型:IgG
-
純化方式:Antigen Affinity Purified
-
濃度:It differs from different batches. Please contact us to confirm it.
-
保存緩沖液:Preservative: 0.03% Proclin 300
Constituents: 50% Glycerol, 0.01M PBS, pH 7.4 -
產品提供形式:Liquid
-
應用范圍:ELISA, IHC, IF
-
推薦稀釋比:
Application Recommended Dilution IHC 1:20-1:200 IF 1:50-1:200 -
Protocols:
-
儲存條件:Upon receipt, store at -20°C or -80°C. Avoid repeated freeze.
-
貨期:Basically, we can dispatch the products out in 1-3 working days after receiving your orders. Delivery time maybe differs from different purchasing way or location, please kindly consult your local distributors for specific delivery time.
-
用途:For Research Use Only. Not for use in diagnostic or therapeutic procedures.
相關產品
靶點詳情
-
功能:Voltage-sensitive calcium channels (VSCC) mediate the entry of calcium ions into excitable cells and are also involved in a variety of calcium-dependent processes, including muscle contraction, hormone or neurotransmitter release, gene expression, cell motility, cell division and cell death. The isoform alpha-1A gives rise to P and/or Q-type calcium currents. P/Q-type calcium channels belong to the 'high-voltage activated' (HVA) group and are specifically blocked by the spider omega-agatoxin-IVA (AC P54282). They are however insensitive to dihydropyridines (DHP).
-
基因功能參考文獻:
- We performed a mutational screening of the CACNA1A gene, including the promoter and 3'UTR regions, in 49 unrelated patients diagnosed with episodic ataxia. Our data suggest that most of these variants are disease-causing, although functional studies are required. PMID: 28566750
- Sequencing analysis showed 3 point mutations, two novel variants and one already described in literature. Moreover, MLPA analysis showed 3 deletions in 9 sporadic hemiplegic migraine (18%), in 3 patients with non-hemiplegic migraine (4.1%) and in 3 patients affected by episodic ataxia (20%). Two sporadic patients showed a deletion in exons 41-43, while (5) showed a deletion in the terminal part of CACNA1A. PMID: 30167989
- The Episodic ataxias caused by heterozygous mutations in CACNA1A. PMID: 29891059
- Expression levels of CACNA1A encoding alpha1A subunit were similar between spinocerebellar ataxia type 6 and control neurons, and no differences were found in the subcellular distribution of CaV2.1 channel protein PMID: 28946818
- De novo missense mutations of CACNA1A were found in four patients (4/48, approximately 8.3%). Three of them developed migraine before or after the onset of ataxia. Seizures were present in half of the cases. PMID: 28007337
- From a cohort study and literature review, authors conclude that CACNA1A mutations are more likely to be found in children with benign paroxysmal torticollis if accompanied by family histories of familial hemiplegic migraine, episodic ataxia, or paroxysmal tonic upgaze. PMID: 26961263
- this report provides insight into the mutations in the CACNA1A gene and resulting pheno types and pres ents a novel inheritance pattern for this disorder. PMID: 27250579
- The authors have identified a novel missense heterozygote variant of CACNA1A in a three generation Slovak family with recurrent episodes of ataxia. PMID: 28096552
- the novel R1673P allele of CACNA1A produces neurodegenerative phenotypes in flies and human, likely due to a toxic gain of function PMID: 28742085
- Whole exome sequencing technique confirmed, for the first time in the Polish population, a heterozygous T666M mutation (c.1997C>T; p.Thr666Met) in the CACNA1A gene in the proband, the proband's son and in several other family members. CONCLUSION: The presented report provides clinical and genetic insight into familial hemiplegic migraine 1 resulting from a mutation in the CACNA1A gene. PMID: 28169007
- CACNA1A and SPG7 are major ataxia genes. PMID: 28444220
- To assess the gene dosage effect in SCA6 homozygotes, study determined the effect of CACNA1A CAG repeat length on the age-of-onset in heterozygotes, found that the total number of CAG repeats in both the normal and expanded alleles was inversely correlated with the age-of-onset in SCA6 PMID: 28131213
- Electrophysiological characterization of VDCC currents revealed that the suppressive effect of RIM2alpha on voltage-dependent inactivation (VDI) was stronger than that of RIM1alpha for the CaV2.1 variant containing the region encoded by exons 44 and 47. PMID: 28377503
- Mutations in SLC1A2 and CACNA1A Are Important Causes of Epileptic Encephalopathies PMID: 27476654
- Microdomain-targeted remodeling of L-type Calcium Channels contributes to ventricular arrhyrhmias in heart failure. PMID: 27572487
- Eye movement disorders are an early manifestation of CACNA1A mutations phenotype in children. PMID: 26814174
- The presence of SCN1A mutations and absence of mutations in ATP1A2 or CACNA1A suggest that the Polish patients represent FHM type 3. PMID: 26747084
- South American cohort did not confirm the effect of the four candidate loci as modifier of onset age: mithocondrial A10398G polymorphism and CAGn at RAI1, CACNA1A, ATXN3, and ATXN7 genes PMID: 25869926
- Cav2.1 dysfunction in episodic ataxia type 2 has unexpected effects on axon excitability. PMID: 26912519
- CACNA1A might play a role in the etiology of autism as demonstrated in the Chinese Han population PMID: 26566276
- Expression of DnaJ-1 potently suppresses alpha1ACT-dependent degeneration , concomitant with decreased aggregation of the pathogenic protein. Mutating the nuclear importer karyopherin a3 also leads to reduced toxicity from pathogenic CACNA1A PMID: 25954029
- This report illustrates the phenotypic heterogeneity of CACNA1A loss-of-function mutations and stresses the cognitive and epileptic manifestations caused by the loss of CaV2.1 channels function PMID: 25735478
- Study revealed no association between the 15 tagSNPs of CACNA1A, 1C, and 1H and antiepileptic drug efficacy in the Chinese Han epileptic population; the TAGAA haplotype of CACNA1A may be a risk factor for drug resistance PMID: 26216687
- This study showed that Genetic analyses identified a nonsense mutation in exon 23 which has been registered in dbSNP as a pathogenic allele. PMID: 25784583
- the consensus motifs of S-nitrosylation were much more abundant in Cav2.2 than in Cav1.2 and Cav2.1. PMID: 26507659
- A novel nonsense mutation of the CACNA1A gene was identified in all affected family members and is most likely the disease causing molecular defect PMID: 25468264
- The roles of the calcium-sensing receptor (CaSR) and L-type voltage-dependent calcium channel (L-VDCC) in the proliferation and osteogenic differentiation of a calcium-exposed periodontal ligament stem/progenitor cells, were investigated . PMID: 24842051
- The results of this study suggest that the polyQ carrying the CT fragment of the P/Q-type channel is sufficient to cause SCA6 pathogenesis in mice. PMID: 26063920
- A genome-wide significant association between a new locus (CACNA1A rs4926244) and increased susceptibility to exfoliation syndrome. PMID: 25706626
- Neurophysiological findings confirmed possible cerebral cortex and white matter involvement regardless of the clinical symptoms displayed in a family with a novel CACNA1A mutation PMID: 20682717
- Findings suggest that the unaltered inhibitory transmission at multipolar interneuron autapses is due to the expression of specific CaV2.1 channels whose gating is barely affected by the familial hemiplegic migraine type 1 mutation PMID: 24907493
- report here two new benign paroxysmal torticollis of infancy patients from the same family carrying a heterozygous mutation in the CACNA1A gene leading to the change p.Glu533Lys PMID: 24445160
- In this review and case report, a novel CACNA1A point mutation was linked to episodic ataxia type 2. PMID: 24658662
- This study preseent mouse model of episodic ataxia type 2 in missense mutation of CACNA1A. PMID: 25109669
- In three unrelated families with dominant cerebellar ataxia, symptoms cosegregated with CACNA1A missense mutations of evolutionary highly conserved amino acids. PMID: 24486772
- Novel mutations in CACNA1A genes are associated with episodic ataxia type 2. PMID: 24275721
- We describe a novel CACNA1A mutation and an unclassified CACNA1A in-frame variant in a Swiss family presenting as the episodic ataxia type 2 phenotype associated with reduced saccade velocity. PMID: 24046065
- Genetic analysis identified a splice site mutation (p.Val1465Glyfs13X)and normal trinucleotide repeats in CACNA1A in all clinically affected and one unaffected members of a Korean family with EA2 with genetic anticipation PMID: 23344743
- Cav2.1 expression is inhibited by prion protein expression which competes with glycosylphosphatidylinosital-anchoring pathways. PMID: 24329154
- a genetic variant in the synprint site of the CaV2.1 channel which is characterized by a gain-of-function and associated with both hemiplegic migraine and migraine with aura in patients. PMID: 24108129
- These results suggest that the extent of G-protein-mediated inhibition is significantly reduced in the K1336E mutant CaV2.1 Ca(2+) channels PMID: 23430985
- Mice injected with P/Q type voltage-gated calcium channel antibodies from patients with paraneoplastic cerebellar degeneration develop marked reversible ataxia compared to controls. PMID: 23726906
- CACNA1A coordinates gene expression using a bicistronic mRNA bearing a cryptic internal ribosomal entry site (IRES). The first cistron encodes the well-characterized alpha1A subunit. The second expresses a transcription factor, alpha1ACT, which coordinates expression of a program of genes involved in neural and Purkinje cell development. PMID: 23827678
- Cytoplasmic location of alpha1A voltage-gated calcium channel C-terminal fragment (Cav2.1-CTF) aggregate is sufficient to cause cell death. PMID: 23505410
- This is the first report of Type 2 episodic ataxia in a Chinese family that carries a novel mutation in CACNA1A gene and had abdominal pain as a novel phenotype associated with EA2. PMID: 23441182
- We conclude that CACNA1A variants in some persons with Dravet syndrome may modify the epileptic phenotypes. PMID: 23103419
- analysis of Ca2+-independent activation of Ca2+/calmodulin-dependent protein kinase II bound to the C-terminal domain of CaV2.1 calcium channels PMID: 23255606
- This observation suggests that paroxysmal sensoriphobia and digestive signs can occur together in bouts in neurological conditions other than migraine, and in the absence of head pain. PMID: 22942164
- The clinical spectrum of missense mutation in CACNA1A-related disorders is much broader than in strictly familial hemiplegic migraine. PMID: 23407676
- The W1684R and V1696I mutations affect the apparent dissociation and reassociation rates of the Gbetagamma dimer from the channel complex, suggesting that the G protein-Ca(2+) channel affinity may be altered by the CACNA1A gene mutations. PMID: 22549042
顯示更多
收起更多
-
相關疾病:Spinocerebellar ataxia 6 (SCA6); Migraine, familial hemiplegic, 1 (FHM1); Episodic ataxia 2 (EA2); Epileptic encephalopathy, early infantile, 42 (EIEE42)
-
亞細胞定位:Cell membrane; Multi-pass membrane protein.
-
蛋白家族:Calcium channel alpha-1 subunit (TC 1.A.1.11) family, CACNA1A subfamily
-
組織特異性:Brain specific; mainly found in cerebellum, cerebral cortex, thalamus and hypothalamus. Expressed in the small cell lung carcinoma cell line SCC-9. No expression in heart, kidney, liver or muscle. Purkinje cells contain predominantly P-type VSCC, the Q-ty
-
數據庫鏈接:
Most popular with customers
-
-
YWHAB Recombinant Monoclonal Antibody
Applications: ELISA, WB, IHC, IF, FC
Species Reactivity: Human, Mouse, Rat
-
-
-
-
-
-















