BPI Antibody
-
中文名稱:BPI兔多克隆抗體
-
貨號:CSB-PA062002
-
規格:¥1100
-
圖片:
-
The image on the left is immunohistochemistry of paraffin-embedded Human thyroid cancer tissue using CSB-PA062002(BPI Antibody) at dilution 1/50, on the right is treated with fusion protein. (Original magnification: ×200)
-
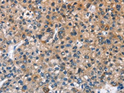
The image on the left is immunohistochemistry of paraffin-embedded Human liver cancer tissue using CSB-PA062002(BPI Antibody) at dilution 1/50, on the right is treated with fusion protein. (Original magnification: ×200)
-
-
其他:
產品詳情
-
Uniprot No.:
-
基因名:BPI
-
別名:Bactericidal permeability-increasing protein antibody; Bactericidal/permeability increasing protein antibody; BPI antibody; BPI fold containing family D; member 1 antibody; BPI_HUMAN antibody; BPIFD1 antibody; CAP 57 antibody; CAP57 antibody; rBPI antibody; Recombinant BPI holoprotein; rBPI antibody
-
宿主:Rabbit
-
反應種屬:Human
-
免疫原:Fusion protein of Human BPI
-
免疫原種屬:Homo sapiens (Human)
-
標記方式:Non-conjugated
-
抗體亞型:IgG
-
純化方式:Antigen affinity purification
-
濃度:It differs from different batches. Please contact us to confirm it.
-
保存緩沖液:-20°C, pH7.4 PBS, 0.05% NaN3, 40% Glycerol
-
產品提供形式:Liquid
-
應用范圍:ELISA,IHC
-
推薦稀釋比:
Application Recommended Dilution ELISA 1:1000-1:5000 IHC 1:50-1:200 -
Protocols:
-
儲存條件:Upon receipt, store at -20°C or -80°C. Avoid repeated freeze.
-
貨期:Basically, we can dispatch the products out in 1-3 working days after receiving your orders. Delivery time maybe differs from different purchasing way or location, please kindly consult your local distributors for specific delivery time.
-
用途:For Research Use Only. Not for use in diagnostic or therapeutic procedures.
相關產品
靶點詳情
-
功能:The cytotoxic action of BPI is limited to many species of Gram-negative bacteria; this specificity may be explained by a strong affinity of the very basic N-terminal half for the negatively charged lipopolysaccharides that are unique to the Gram-negative bacterial outer envelope. Has antibacterial activity against the Gram-negative bacterium P.aeruginosa, this activity is inhibited by LPS from P.aeruginosa.
-
基因功能參考文獻:
- BPI G645A polymorphism was associated with a decreased risk of ulcerative colitis; the BPI G645A polymorphism was not associated with the risk of crohn's disease. PMID: 28035462
- Bactericidal permeability increasing protein Lys216Glu polymorphism is associated with both Crohn's disease and ulcerative colitis. PMID: 26228368
- MPO and BPI in CD4(+)T-lymphocytes, and PDHA1 and MRPL42 in CD8(+) T-lymphocytes might be used as specific biomarkers of severe asthma progression. PMID: 26107902
- This review article focuses on the structural and functional properties of BPI with respect to its antimicrobial contribution to host defense during GNB infections and endotoxin-induced inflammation. PMID: 17678885
- Diminished PRRs, IFN-signature, and BPI gene expression raises the possibility that impairments in these pathways contribute to the susceptibility of LBW term infants to infection. PMID: 23626859
- Lung function and IgA-BPI-ANCA, but not Leeds criteria, were significantly associated with adverse outcome. PMID: 23346184
- BPI mutation (PstI in intron 5) and a decreased plasma BPI level were significant risk factors in susceptibility to COPD...BPI genetic mutation and impaired BPI production or release may result in airflow obstruction in smokers. PMID: 22409502
- The bactericidal/permeability-increasing protein in the innate defence of the lower airways PMID: 21787345
- there is a correlation between the presence of BPI-ANCA, the properties of the colonizing bacteria and the clinical conditions of the host in cystic fibrosis PMID: 21463973
- SNP Lys216Glu is associated with Crohn's disease and ulcerative colities PMID: 21272798
- Restriction enzyme digestion and DNA sequence analysis revealed that the sequence encoding signal peptide and bioactive N-terminal fragment of BPI had six nucleotide substitutions, compared with that of the established human BPI sequence PMID: 17488601
- BPI is the main target antigen for ANCA in tuberculosis and BPI-ANCA increase after treatment PMID: 20412700
- Circulating BPI could constitute a biomarker of lipid metabolism in subjects with normal glucose tolerance and could help to identify those subjects with preserved endothelial function. PMID: 20174761
- Investigated if serum and salivary anti-BPI autoantibodies appear in the course of acute pneumonia. Presence of anti-BPI IgG on admission didn't correlate with inflammatory markers. Salivary anti-BPI IgA didn't appear during the course of acute pneumonia. PMID: 19702878
- Lipid mediator-induced expression of bactericidal/ permeability-increasing protein (BPI) in human mucosal epithelia PMID: 11891303
- increased levels in fetal disease, premature rupture of membranes, and preterm labor PMID: 12710851
- Constitutive expression of BPI, which increases upon interleukin 4 stimulation, by human dermal fibroblast was demonstrated, suggesting an important role of BPI in gram-negative bacterial clearance and a dampened response to endotoxin in the skin PMID: 12738651
- BPI and cathepsin G are the major antigenic targets of ANCA seen in patients with systemic sclerosis PMID: 12784398
- BPI and HNP are accumulated in the synovial cavity of patients with rheumatoid arthritis PMID: 12913926
- In conclusion, we provide evidence for AML-1, PU.1, and Sp3 cooperatively and directly mediating BPI-expression during myeloid differentiation. PMID: 14623259
- BPI could exist in the inner root sheath cells of human and rat hair follicles, and might play a role as a barrier against anaerobic bacteria PMID: 15009116
- The BPI stored in human neutrophil granulocytes, is cytotoxic against Gram-negative bacteria. PMID: 15590754
- The bactericidal/permeability increasing protein (BPI) is involved in the elimination of gram-negative bacteria. A functionally relevant single nucleotide polymorphism of the BPI gene causes an amino acid exchange (Glu216Lys). PMID: 15758620
- Studies of BPI promoter expression in intestinal epithelial cells identified regulatory regions of the BPI promoter and revealed a prominent role for CCAAT/enhancer binding protein and especially Sp1/Sp3 in the basal regulation of BPI. PMID: 16282362
- findings suggest that BPI is associated with metabolic pathways PMID: 16380496
- BPI that is functionally active against mucoid P. aeruginosa strains is expressed in the airways of Cystic Fibrosis patients but may be hampered by autoantibodies, resulting in chronic infection. PMID: 16861658
- The present study does not give evidence for the contribution of the BPI gene to the genetic background of chronic periodontal disease. PMID: 16893388
- BPI has unusual dual properties of promoting retinal pericytes and retinal pigment epithelial cell growth while suppressing VEGF-induced retinal epithelial cell growth and vascular permeability PMID: 17012258
- Reduces expression of type I inetrferon by antagonizing lipopolysaccharide-binding protein. PMID: 17239348
- the requirement for C/EBP epsilon in mediating BPI gene expression in myeloid cells in vitro and in vivo. PMID: 17483073
- a novel role of BPI in the interaction of bacterial outer membrane vesicles with dendritic cells that may help link innate immune recognition of endotoxin to Ag delivery and presentation. PMID: 17675509
- evaluated the role of genetic polymorphisms of the bactericidal permeability increasing protein (BPI) in pediatric patients with sepsis PMID: 17898994
顯示更多
收起更多
-
亞細胞定位:Secreted. Cytoplasmic granule membrane.
-
蛋白家族:BPI/LBP/Plunc superfamily, BPI/LBP family
-
組織特異性:Restricted to cells of the myeloid series.
-
數據庫鏈接:
Most popular with customers
-
YWHAB Recombinant Monoclonal Antibody
Applications: ELISA, WB, IHC, IF, FC
Species Reactivity: Human, Mouse, Rat
-
Phospho-YAP1 (S127) Recombinant Monoclonal Antibody
Applications: ELISA, WB, IHC
Species Reactivity: Human
-
-
-
-
-
-















