BMI1 Antibody
-
中文名稱:BMI1兔多克隆抗體
-
貨號:CSB-PA03345A0Rb
-
規格:¥440
-
圖片:
-
Western blot
All lanes: BMI1 antibodyt 2µg/ml
Lane 1: EC109 whole cell lysate
Lane 2: 293T whole cell lysate
Secondary
Goat polyclonal to rabbit IgG at 1/15000 dilution
Predicted band size: 37 kDa
Observed band size: 70 kDa -
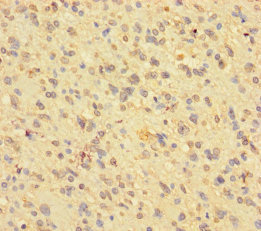
Immunohistochemistry of paraffin-embedded human glioma using CSB-PA03345A0Rb at dilution of 1:100
-
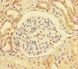
Immunohistochemistry of paraffin-embedded human kidney tissue using CSB-PA03345A0Rb at dilution of 1:100
-
-
其他:
產品詳情
-
產品名稱:Rabbit anti-Homo sapiens (Human) BMI1 Polyclonal antibody
-
Uniprot No.:
-
基因名:
-
別名:B lymphoma Mo MLV insertion region (mouse) antibody; B lymphoma Mo MLV insertion region 1 homolog antibody; Bmi 1 antibody; BMI1 antibody; BMI1 polycomb ring finger oncogene antibody; BMI1_HUMAN antibody; Flvi 2/bmi 1 antibody; FLVI2/BMI1 antibody; MGC12685 antibody; Murine leukemia viral (bmi 1) oncogene homolog antibody; Oncogene BMI 1 antibody; PCGF 4 antibody; PCGF4 antibody; Polycomb complex protein BMI 1 antibody; Polycomb complex protein BMI-1 antibody; Polycomb group protein Bmi1 antibody; Polycomb group ring finger 4 antibody; Polycomb group RING finger protein 4 antibody; RING finger protein 51 antibody; RNF 51 antibody; RNF51 antibody
-
宿主:Rabbit
-
反應種屬:Human
-
免疫原:Recombinant Human Polycomb complex protein BMI-1 protein (1-247AA)
-
免疫原種屬:Homo sapiens (Human)
-
標記方式:Non-conjugated
本頁面中的產品,BMI1 Antibody (CSB-PA03345A0Rb),的標記方式是Non-conjugated。對于BMI1 Antibody,我們還提供其他標記。見下表:
-
克隆類型:Polyclonal
-
抗體亞型:IgG
-
純化方式:>95%, Protein G purified
-
濃度:It differs from different batches. Please contact us to confirm it.
-
保存緩沖液:Preservative: 0.03% Proclin 300
Constituents: 50% Glycerol, 0.01M PBS, PH 7.4 -
產品提供形式:Liquid
-
應用范圍:ELISA, WB, IHC
-
推薦稀釋比:
Application Recommended Dilution WB 1:1000-1:5000 IHC 1:20-1:200 -
Protocols:
-
儲存條件:Upon receipt, store at -20°C or -80°C. Avoid repeated freeze.
-
貨期:Basically, we can dispatch the products out in 1-3 working days after receiving your orders. Delivery time maybe differs from different purchasing way or location, please kindly consult your local distributors for specific delivery time.
-
用途:For Research Use Only. Not for use in diagnostic or therapeutic procedures.
相關產品
靶點詳情
-
功能:Component of a Polycomb group (PcG) multiprotein PRC1-like complex, a complex class required to maintain the transcriptionally repressive state of many genes, including Hox genes, throughout development. PcG PRC1 complex acts via chromatin remodeling and modification of histones; it mediates monoubiquitination of histone H2A 'Lys-119', rendering chromatin heritably changed in its expressibility. The complex composed of RNF2, UB2D3 and BMI1 binds nucleosomes, and has activity only with nucleosomal histone H2A. In the PRC1-like complex, regulates the E3 ubiquitin-protein ligase activity of RNF2/RING2.
-
亞細胞定位:Nucleus. Cytoplasm.
-
數據庫鏈接:
Most popular with customers
-
-
Phospho-YAP1 (S127) Recombinant Monoclonal Antibody
Applications: ELISA, WB, IHC
Species Reactivity: Human
-
-
-
-
-
-















