BACE1 Antibody
-
中文名稱:BACE1兔多克隆抗體
-
貨號:CSB-PA173556
-
規格:¥1100
-
圖片:
-
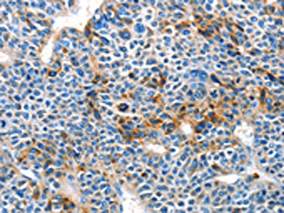
The image on the left is immunohistochemistry of paraffin-embedded Human thyroid cancer tissue using CSB-PA173556(BACE1 Antibody) at dilution 1/15, on the right is treated with fusion protein. (Original magnification: ×200)
-
The image on the left is immunohistochemistry of paraffin-embedded Human liver cancer tissue using CSB-PA173556(BACE1 Antibody) at dilution 1/15, on the right is treated with fusion protein. (Original magnification: ×200)
-
-
其他:
產品詳情
-
Uniprot No.:
-
基因名:
-
別名:BACE1; BACE; KIAA1149; Beta-secretase 1; Aspartyl protease 2; ASP2; Asp 2; Beta-site amyloid precursor protein cleaving enzyme 1; Beta-site APP cleaving enzyme 1; Memapsin-2; Membrane-associated aspartic protease 2
-
宿主:Rabbit
-
反應種屬:Human,Mouse,Rat
-
免疫原:Fusion protein of Human BACE1
-
免疫原種屬:Homo sapiens (Human)
-
標記方式:Non-conjugated
-
抗體亞型:IgG
-
純化方式:Antigen affinity purification
-
濃度:It differs from different batches. Please contact us to confirm it.
-
保存緩沖液:-20°C, pH7.4 PBS, 0.05% NaN3, 40% Glycerol
-
產品提供形式:Liquid
-
應用范圍:ELISA,IHC
-
推薦稀釋比:
Application Recommended Dilution ELISA 1:1000-1:2000 IHC 1:15-1:50 -
Protocols:
-
儲存條件:Upon receipt, store at -20°C or -80°C. Avoid repeated freeze.
-
貨期:Basically, we can dispatch the products out in 1-3 working days after receiving your orders. Delivery time maybe differs from different purchasing way or location, please kindly consult your local distributors for specific delivery time.
-
用途:For Research Use Only. Not for use in diagnostic or therapeutic procedures.
相關產品
靶點詳情
-
功能:Responsible for the proteolytic processing of the amyloid precursor protein (APP). Cleaves at the N-terminus of the A-beta peptide sequence, between residues 671 and 672 of APP, leads to the generation and extracellular release of beta-cleaved soluble APP, and a corresponding cell-associated C-terminal fragment which is later released by gamma-secretase. Cleaves CHL1.
-
基因功能參考文獻:
- BACE1 regulates the expression of insulin receptor in the liver PMID: 29610518
- Results indicated that the proinflammatory cytokine TNF-alpha impairs endothelial tight junctions and promotes monocyte-endothelial cell adhesion by upregulating beta-site amyloid precursor protein enzyme 1 expression through activating PKC signaling and sequentially cleaving alpha-2, 6-sialic acid transferase 1. PMID: 28091531
- Study did not detect any difference in peripheral expression of BACE1 and its naturally occurring antisense in epileptic patients and healthy subjects but a significant correlation between the transcript levels of these genes. PMID: 29860633
- BACE1 is predominantly SUMOylated at K501 residue, which escalates its protease activity and stability and subsequently increases Abeta production. PMID: 29581300
- Their anti-BACE1 and antimicrobial activity. PMID: 29538306
- Structural arrangement of BACE1-TM trimers and a mechanism for copper ion conduction that might also apply to other proteins involved in metal ion transport. PMID: 29391167
- Potentials for beneficial or consequential effects resulting from pharmacologic inhibition of BACE1 are reviewed in context of ongoing clinical trials testing the effect of BACE1 candidate inhibitor drugs in Alzheimer's disease populations. PMID: 29027981
- Measured plasma levels of beta-secretase 1 (BACE1) long non-coding RNA(LncRNA) in Alzheimer disease (AD) patients and healthy controls; found plasma BACE1 LncRNA to be a specific biomarker for AD. PMID: 29316899
- Amyloid beta oligomers modulate BACE1 through an XBP-1-dependent pathway involving HRD1. PMID: 27853315
- Polymethoxyflavones isolated from citrus peels might be considered as promising BACE1 inhibitory agents that could lower Abeta production in Alzheimer disease. PMID: 28869548
- In BACE1 transgenic (Tg) mice, axonal regeneration was reduced when compared with wilde-type (WT) littermates at 3 and 10 days post crush. Study observed a decreased percentage of innervated neuromuscular junctions at 15 days post crush; and a functional recovery delay in the transgenic mice as it took 8 weeks for the compound muscle action potential amplitudes of Tg mice to begin to reach similar values comparable to WT. PMID: 28687442
- Our study demonstrated there may exist an association between BACE1 rs535860 polymorphism and focal seizures in Chinese Han males. PMID: 29595667
- This study shown that the protein expression of BACE1 is downregulated by chronic treatment with donepezil. This effect may be interpreted as evidence of disease modification. PMID: 27858713
- Endosome-to-TGN trafficking of BACE1 is regulated by Par3 and aPKC. This is a mechanism in pathogenesis of Alzheimer disease. PMID: 28946017
- Results indicate that SNX4-mediated regulation of the steady-state levels and trafficking of BACE1, as well as the subsequent increase in BACE1-mediated cleavage, may be relevant to Alzheimer's disease progression. PMID: 28109317
- We discuss how the underlying mechanisms can be conceived and develop scenarios how the regulation of ion conductances by BACE1 might shape electric activity in the intact and diseased brain and heart PMID: 27253079
- Study showed that serum deprivation enhances ADAM10/17-mediated cleavage and secretion of enzymatically active BACE1. This could be the result of alterations in the lipid composition of the membrane that lead in disruption of membrane compartmentalization in lipid rafts and non-lipid rafts. At present the significance of BACE1 shedding in the development of Alzheimer's disease is unclear. PMID: 27784219
- Data suggest that trimerization of BACE1 requires transmembrane sequences (TMSs) and cytoplasmic domains, with residues Ala463 and Cys466 buried within trimer interface of the sulfur-rich core of TMSs; BACE1 appears to play role in compartmentalization of intracellular copper by transferring cytosolic copper to intracellular compartments. PMID: 28637867
- the depletion of BIN1 increases cellular BACE1 levels through impaired endosomal trafficking and reduces BACE1 lysosomal degradation, resulting in increased Ab production. Our findings provide a mechanistic role of BIN1 in the pathogenesis of Alzheimer disease (AD), as a novel genetic regulator of BACE1 levels and Ab production PMID: 27179792
- in vitro BACE1-activity assays demonstrate that palmitoylation-dependent dimerization of APP promotes beta-cleavage of APP in lipid-rich detergent resistant cell membranes (DRMs), when compared to total APP. PMID: 27875558
- The circular RNA ciRS-7 promotes APP and BACE1 degradation in an NF-kappaB-dependent manner. PMID: 28296235
- rs638405 in BACE1 was not associated with the risk of Alzheimer's disease (AD), rs638405 decreased the risk of apolipoprotein-E epsilon4 (APOE4) positive AD patients, rs638405 also decreased the risk of Asian AD patients. Data of meta-analysis suggested rs638405 in BACE1 was a protective factor of AD. PMID: 26846559
- analysis suggests that some familial Alzheimer's disease mutations in APP are amyloidogenic and/or amyloidolytic via selection of alternative BACE1 cleavage sites PMID: 27687728
- In this study, we aimed to investigate the association of BACE1 rs490460 with the risk of Schizophrenia in an Iranian population. A significant association was observed between the rs490460 T allele and Schizophrenia ( p = 0.0002, odds ratio 0.69, 95% confidence interval 0.57-0.84). PMID: 28384043
- findings demonstrate that USP8 plays a key role in the trafficking and degradation of BACE1 by deubiquitinating lysine 501. PMID: 27302062
- Cassia obtusifolia extract and its major constituents are potent BACE1 inhibitors. PMID: 27321278
- Suggest the potential of ginsenosides (Rb1, Rb2, Rc, Re, Rg1, and Rg3) for use in the development of therapeutic or preventive agents for Alzheimer's disease, especially through inhibition of AChE, BChE and BACE1 activities, as well as scavenging of ONOO(-) and inhibition of nitrotyrosine formation. PMID: 27275774
- the behavior of the flap tips during simulations is different between BACE1 and BACE2. The BACE1 active site cavity is more spacious as compared to that of BACE2. The analysis of 10S loop and 113S loop showed a similar trend to that of flaps, with the BACE1 loops being more flexible and less stable than those of BACE2 PMID: 26804314
- Review discussing the major discoveries of the past 3 years concerning BACE1 biology and to what extent these could limit the use of BACE1 inhibitors in the clinic PMID: 26833257
- Study investigated baseline platelet membrane beta-secretase activity and cholesterol levels in mild cognitive impairment participants and explored whether these parameters differed in individuals who subsequently developed Alzheimer's disease PMID: 26639974
- Results suggest that ubiquilin-1 may mechanistically participate in Alzheimer's disease molecular pathogenesis by affecting BACE1 and thereby APP processing and Abeta accumulation PMID: 26563932
- Results suggest that DISC1 interacts with BACE1 and promotes lysosomal degradation of BACE1, thus reducing the generation of Abeta PMID: 26062786
- GG genotype and G allele of BACE1 gene rs638405 probably increase the risk of AD. [META-ANALYSIS] PMID: 26828303
- study reports that sAbetaPPalpha, the product of the cleavage of AbetaPP by alpha-secretase, is a potent endogenous direct inhibitor of the BACE enzyme, and that its inhibition is likely by an allosteric mechanism PMID: 26401691
- Results suggest deltaOR-Phe27Cys variation modulates beta- and gamma-secretase activity in late-stage Alzheimer's disease likely via post-translational mechanisms PMID: 26402014
- p38alpha MAPK plays a critical role in the regulation of BACE1 degradation and Abeta generation in Alzheimer Disease pathogenesis PMID: 26663083
- this is the first study to acquire a DNA aptamer that exhibited binding specificity to BACE1 and inhibited its activity. PMID: 26473367
- the Alzheimer's disease-protective 'Icelandic' mutation greatly attenuates APP-BACE-1 interactions, suggesting a mechanistic basis for protection. PMID: 26642089
- Studies suggest that beta-Secretases BACE1/2 plays an important role in retinal homeostasis and that BACE upregulation in response to stress is a protective measure. PMID: 26427429
- analysis of the differential dose-dependent effects of simvastatin on HIF-1alpha and BACE in cultured Alzheimer's disease cybrid cells PMID: 26228060
- BACE1 elevation in the endothelia and perivascular neurites may be involved in angiopathic Abeta deposition, while BACE1 elevation in meningeal cells might contribute Abeta to leptomeningeal amyloidosis. PMID: 25934480
- BACE1 overexpression-induced SET up-regulation promotes neuritic plaque formation. PMID: 24935721
- miR-29c was downregulated in sporadic Alzheimer disease brains, and it targeted the 3' UTR of BACE1 PMID: 25973041
- Use molecular docking simulations and molecular dynamics simulations to characterize binding mechanism between BACE-1 and its inhibitors. PMID: 25965961
- MicroRNA-29c targets BACE1 and has a neuroprotective role in vitro and in vivo. PMID: 25955795
- Galangin-induced down-regulation of BACE1 by epigenetic mechanisms PMID: 25779965
- APP is localized in pre-synaptic vesicles, where it is processed by Bace1. PMID: 25247712
- Results show that the inverse coupling of APP cleavage by ADAM10 and BACE1 depends on the cellular model PMID: 22940630
- Metformin decreases BACE1 protein expression by interfering with an mRNA-protein complex that contains the ubiquitin ligase MID1, thereby reducing BACE1 activity. PMID: 25025689
- greater than 50% BACE1 inhibition might be necessary to significantly lower beta-amyloid peptide PMID: 25567526
顯示更多
收起更多
-
亞細胞定位:Cell membrane; Single-pass type I membrane protein. Golgi apparatus, trans-Golgi network. Endoplasmic reticulum. Endosome. Cell surface. Cytoplasmic vesicle membrane; Single-pass type I membrane protein. Membrane raft. Lysosome. Late endosome. Early endosome. Recycling endosome. Cell projection, axon. Cell projection, dendrite.
-
蛋白家族:Peptidase A1 family
-
組織特異性:Expressed at high levels in the brain and pancreas. In the brain, expression is highest in the substantia nigra, locus coruleus and medulla oblongata.
-
數據庫鏈接:
Most popular with customers
-
-
YWHAB Recombinant Monoclonal Antibody
Applications: ELISA, WB, IHC, IF, FC
Species Reactivity: Human, Mouse, Rat
-
Phospho-YAP1 (S127) Recombinant Monoclonal Antibody
Applications: ELISA, WB, IHC
Species Reactivity: Human
-
-
-
-
-















