B3GALT2 Antibody
-
中文名稱:B3GALT2兔多克隆抗體
-
貨號:CSB-PA002491LA01HU
-
規格:¥440
-
圖片:
-
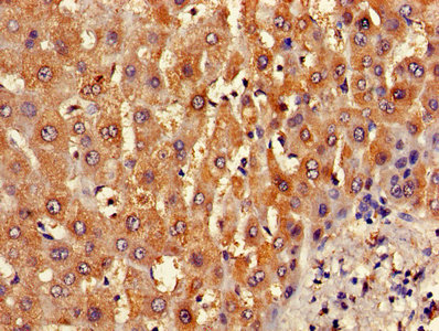
Immunohistochemistry of paraffin-embedded human liver tissue using CSB-PA002491LA01HU at dilution of 1:100
-
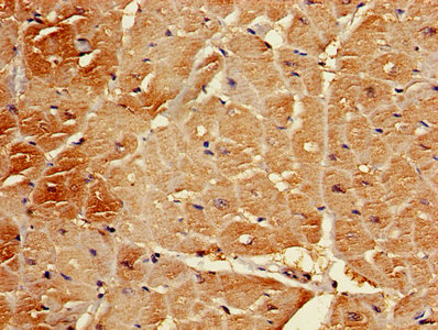
Immunohistochemistry of paraffin-embedded human heart tissue using CSB-PA002491LA01HU at dilution of 1:100
-
Immunofluorescence staining of A549 cells with CSB-PA002491LA01HU at 1:133, counter-stained with DAPI. The cells were fixed in 4% formaldehyde, permeabilized using 0.2% Triton X-100 and blocked in 10% normal Goat Serum. The cells were then incubated with the antibody overnight at 4°C. The secondary antibody was Alexa Fluor 488-congugated AffiniPure Goat Anti-Rabbit IgG(H+L).
-
-
其他:
產品詳情
-
產品名稱:Rabbit anti-Homo sapiens (Human) B3GALT2 Polyclonal antibody
-
Uniprot No.:
-
基因名:B3GALT2
-
別名:B3GALT2; Beta-1,3-galactosyltransferase 2; Beta-1,3-GalTase 2; Beta3Gal-T2; Beta3GalT2; UDP-galactose:2-acetamido-2-deoxy-D-glucose 3beta-galactosyltransferase 2
-
宿主:Rabbit
-
反應種屬:Human
-
免疫原:Recombinant Human Beta-1,3-galactosyltransferase 2 protein (201-422AA)
-
免疫原種屬:Homo sapiens (Human)
-
標記方式:Non-conjugated
本頁面中的產品,B3GALT2 Antibody (CSB-PA002491LA01HU),的標記方式是Non-conjugated。對于B3GALT2 Antibody,我們還提供其他標記。見下表:
-
克隆類型:Polyclonal
-
抗體亞型:IgG
-
純化方式:>95%, Protein G purified
-
濃度:It differs from different batches. Please contact us to confirm it.
-
保存緩沖液:Preservative: 0.03% Proclin 300
Constituents: 50% Glycerol, 0.01M PBS, PH 7.4 -
產品提供形式:Liquid
-
應用范圍:ELISA, IHC, IF
-
推薦稀釋比:
Application Recommended Dilution IHC 1:20-1:200 IF 1:50-1:200 -
Protocols:
-
儲存條件:Upon receipt, store at -20°C or -80°C. Avoid repeated freeze.
-
貨期:Basically, we can dispatch the products out in 1-3 working days after receiving your orders. Delivery time maybe differs from different purchasing way or location, please kindly consult your local distributors for specific delivery time.
-
用途:For Research Use Only. Not for use in diagnostic or therapeutic procedures.
相關產品
靶點詳情
-
功能:Beta-1,3-galactosyltransferase that transfers galactose from UDP-galactose to substrates with a terminal beta-N-acetylglucosamine (beta-GlcNAc) residue. Can also utilize substrates with a terminal galactose residue, albeit with lower efficiency. Involved in the biosynthesis of the carbohydrate moieties of glycolipids and glycoproteins. Inactive towards substrates with terminal alpha-N-acetylglucosamine (alpha-GlcNAc) or alpha-N-acetylgalactosamine (alpha-GalNAc) residues.
-
亞細胞定位:Golgi apparatus membrane; Single-pass type II membrane protein.
-
蛋白家族:Glycosyltransferase 31 family
-
組織特異性:Detected in heart and brain.
-
數據庫鏈接:
Most popular with customers
-
-
YWHAB Recombinant Monoclonal Antibody
Applications: ELISA, WB, IHC, IF, FC
Species Reactivity: Human, Mouse, Rat
-
Phospho-YAP1 (S127) Recombinant Monoclonal Antibody
Applications: ELISA, WB, IHC
Species Reactivity: Human
-
-
-
-
-















