-
中文名稱:Ace兔多克隆抗體
-
貨號:CSB-PA001149LA01RA
-
規格:¥440
-
圖片:
-
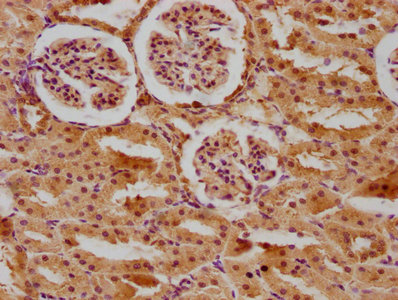
IHC image of CSB-PA001149LA01RA diluted at 1:400 and staining in paraffin-embedded rat kidney tissue performed on a Leica BondTM system. After dewaxing and hydration, antigen retrieval was mediated by high pressure in a citrate buffer (pH 6.0). Section was blocked with 10% normal goat serum 30min at RT. Then primary antibody (1% BSA) was incubated at 4°C overnight. The primary is detected by a biotinylated secondary antibody and visualized using an HRP conjugated SP system.
-
-
其他:
產品詳情
-
產品名稱:Rabbit anti-Rattus norvegicus (Rat) Ace Polyclonal antibody
-
Uniprot No.:
-
基因名:
-
別名:Ace antibody; Dcp1 antibody; Angiotensin-converting enzyme antibody; ACE antibody; EC 3.2.1.- antibody; EC 3.4.15.1 antibody; Dipeptidyl carboxypeptidase I antibody; Kininase II antibody; CD antigen CD143) [Cleaved into: Angiotensin-converting enzyme antibody; soluble form] antibody
-
宿主:Rabbit
-
反應種屬:Rat
-
免疫原:Recombinant Rat Angiotensin-converting enzyme protein (1046-1263AA)
-
免疫原種屬:Rattus norvegicus (Rat)
-
標記方式:Non-conjugated
本頁面中的產品,Ace Antibody (CSB-PA001149LA01RA),的標記方式是Non-conjugated。對于Ace Antibody,我們還提供其他標記。見下表:
-
克隆類型:Polyclonal
-
抗體亞型:IgG
-
純化方式:>95%, Protein G purified
-
濃度:It differs from different batches. Please contact us to confirm it.
-
保存緩沖液:Preservative: 0.03% Proclin 300
Constituents: 50% Glycerol, 0.01M PBS, pH 7.4 -
產品提供形式:Liquid
-
應用范圍:ELISA, IHC
-
推薦稀釋比:
Application Recommended Dilution IHC 1:200-1:500 -
Protocols:
-
儲存條件:Upon receipt, store at -20°C or -80°C. Avoid repeated freeze.
-
貨期:Basically, we can dispatch the products out in 1-3 working days after receiving your orders. Delivery time maybe differs from different purchasing way or location, please kindly consult your local distributors for specific delivery time.
-
用途:For Research Use Only. Not for use in diagnostic or therapeutic procedures.
相關產品
靶點詳情
-
功能:Converts angiotensin I to angiotensin II by release of the terminal His-Leu, this results in an increase of the vasoconstrictor activity of angiotensin. Also able to inactivate bradykinin, a potent vasodilator. Has also a glycosidase activity which releases GPI-anchored proteins from the membrane by cleaving the mannose linkage in the GPI moiety. This GPIase activity seems to be crucial for the egg-binding ability of the sperm.
-
基因功能參考文獻:
- ascorbic acid is able to prevent hypertension in offspring from prenatal inflammation exposure through ACE1 downregulation PMID: 27995995
- Data suggest that angiotensin converting enzyme 1 within median preoptic nucleus plays a critical role in the sustained hypertension seen in chronic intermittent hypoxia. PMID: 28536140
- Chromatin immunoprecipitation (ChIP) assays demonstrated an increase in FosB/DeltaFosB association with the ACE1 gene within the MnPO following CIH. FosB/DeltaFosB may transcriptionally target ACE1 within the MnPO following CIH to affect the downstream PVN region, which may influence SNA and blood pressure. PMID: 28003214
- Pomegranate peel extract consumption conferred protection against hypertension in the spontaneously hypertensive rat model. This finding was demonstrated by marked reduction in coronary ACE activity, oxidative stress, and vascular remodelling. PMID: 27710705
- ACE inhibitor treatment could counteract glutamate neurotoxicity by preventing the downregulation of glutamate decarboxylase 2 (Gad2). Taken together, ACE inhibition targets neurodegeneration triggered by environmental stress. PMID: 26697495
- the relationship between ACE and ACE2 activity, left ventricular function and gender in spontaneously hypertensive rats, was determined. PMID: 26010093
- Finding suggests the involvement of microRNAs in the cardioprotective action of ACE inhibition in acute renal injury. PMID: 26400542
- Transient ACE inhibition can produce a persistent modification of the cardiac fibroblast phenotype to one that is less inflammatory and fibrogenic. PMID: 26371174
- ACE and ACE 2 are expressed in lipopolysaccharide-induced lung injury and rebalanced by ACE inhibitor captopril PMID: 25768373
- Suppression of ACE-ANG II axis in the circulation and kidney tissue, combined with augmentation of the intrarenal vasodilator ACE2-ANG 1-7 axis, is the main mechanism responsible for blood pressure-lowering effects of chronic hypoxia in mRen2 rat. PMID: 25194129
- The study showed that both ACE and ACE-2 are overexpressed in the cardiac and renal tissues of animals with heart failure as compared with their sham controls. PMID: 25217176
- protein and beta-conglycinin may retard the progression of diabetic nephropathy by increasing insulin sensitivity, regulating lipid metabolism, improving renal function markers, and inhibiting ACE activity PMID: 25205218
- The increase in Ace mRNA levels was higher than that of Ace2 mRNA levels, leading to an elevated Ace/Ace2 ratio. PMID: 24781988
- ACE-inhibitory peptide LAP decreases blood pressure, inhibits smooth muscle cell hypertrophy and reduces the proliferation of collagen fibers. PMID: 23661144
- In the development of hypertension in diabetic rats, augmentation of circulating ACE activity precedes the sympathetic dysfunction. PMID: 23975725
- The results suggest that the gene silencing of intracellular ACE holds great potential in the treatment of cardiomyocyte apoptosis following ischemic reperfusion injury. PMID: 24126381
- study demonstrating that ACE shedding is regulated by NQO1 activation, which is possibly correlated with relieving hypertension in spontaneously hypertensive rats PMID: 23749777
- augmented tissue ACE activity in the coronary arterioles of obese subjects, which leads to reduced coronary dilation response to BK. PMID: 23603844
- Angiotensin converting enzyme gene expression is up-regulated in experimentally induced liver cirrhosis in rats. PMID: 24035938
- ACE downregulation by ACEI and ARB indicates that angiotensin II upregulates ACE through AT1 receptor PMID: 23733546
- Enalapril increases cardiac ACE levels in spontaneously hypertensive rats. PMID: 23706365
- Changes in the distribution of the ACE activity in aorta with increasing age in rat and by the action of L-NAME may play a role in development of atherosclerosis of aging vessels and inhibition of niric oxide formation. PMID: 21720771
- The expressions of ACE and ACE2 mRNA in lung tissue of the rats with paraquat poisoning are decreased. PMID: 20465954
- The Tc-Lis binds specifically to ACE, and the activity can be localized in Tg rat hearts that over-express human ACE-1 with a signal intensity that is sufficiently high to allow external imaging. PMID: 22498331
- culating angiotensin-converting enzyme decreased in diabetic females males PMID: 22378820
- The expression of VEGF, ACE, and MMP-9 mRNA levels in the resveratrol treated diabetic group decreased compared with values in the diabetic group. PMID: 22191573
- effect of inflammation on the expression levels of ACE and ACE-2 in two groups, adjuvant arthritis (AA) and healthy (control) rats. PMID: 21053061
- Local tissues from SHRs showed higher expressions of Ace1 mRNA and protein than those from the WKY rats. Ace1 promoter was mostly unmethylated in all of the tissues from both strains. PMID: 22311897
- ACEi, by moderating progenitor cell activation, restores glomerular architecture and prevents renal disease progression PMID: 21718676
- AngII infusion causes proteinuria-independent renal damage only in rats with genetically predetermined high ACE while rats with low ACE seemed to be protected against the detrimental effect of AngII. PMID: 21788250
- ACE expression and activity modifications are likely related to some of the physiological changes (cardiovascular, stress, cognition, metabolism function, water and energy balance) observed during and after sleep deprivation PMID: 21495912
- Suggest that elastase-2 may contribute as an alternative pathway for ANG II generation when ACE is inhibited in the rat vascular tissue. PMID: 21602471
- A vessel, organ and species specific pattern of distribution of endothelial ACE was observed (human vs. rat), providing an anatomical basis for organ and vessel specificity of the actions of the renin-angiotensin and kallikrein-kinin systems. PMID: 21167844
- Ang-(1-7) Mas receptors and AT2 receptors in hypothalamic paraventricular nucleus neurons play role in mediating tonic maintenance of renal sympathetic nerve activity. (Angiotensin 1-7) PMID: 16027241
- The attenuated counterbalancing effect of Ang-(1-7) on baroreflex function is lost in older rats, which may be attributable to diminished production of the peptide from neprilysin. (Angiotensin 1-7) PMID: 16009784
- Report the development of a stable and functional single-chain format of mAb 9B9 which specifically recognizes human and rat ACE represents a novel antibody-based reagent suitable for targeted delivery of drugs/genes to the pulmonary circulation. PMID: 20888351
- Treatment with the tissue specific ACE inhibitor quinapril revealed an important microvascular improvement, especially at arteriolar level. PMID: 20570682
- during mechanical ventilation ACE, via Ang II, mediates the inflammatory response of both healthy and preinjured lungs PMID: 20304959
- SMC and EC have a pathway for delivery of extracellular ACE to the nucleus, most likely involving cell surface receptor(s) and requiring transit through late endosome/lysosome compartments. PMID: 20022959
- The greater cardiac fibrosis in Brown Norway rats treated with isoproterenol correlates with the early and higher expression of proinflammatory factors. PMID: 18957386
- Nitric oxide synthase mRNA levels do not correlate with gene expression of angiotensin converting enzyme in selected brain areas. PMID: 11702851
- Angiotensin I-converting enzyme gene polymorphism influences chronic hypertensive response in the rat Goldblatt model. PMID: 11875308
- Data show that angiotensin converting enzyme inhibition decreases cell turnover in the developing rat heart, which may contribute to cardiac growth impairment. PMID: 12193663
- results demonstrated that the rodent germinal angiotensin converting enzyme is released from the testicular sperm membrane when sperm enter the epididymis PMID: 12444051
- higher renal ACE activity is associated with more severe renal damage for a given amount of proteinuria, suggesting that renal ACE activity may be either a permissive or a promoting factor in the processes by which proteinuria leads to renal damage. PMID: 12806593
- Rats in the F(2) generation with high plasma ACE activity developed more fibrosis but to a similar degree of left ventricular hypertrophy compared with rats with low plasma ACE activity. PMID: 14527934
- activation of the enzymatic activity of ACE, the critical enzyme for determining the conversion of angiotensin I into the physiologically active angiotensin II, by chronic hypoxia in the carotid body. PMID: 14527966
- Binding increased in subfornical organ, organum vasculosum laminae terminalis, paraventricular nucleus, and median preoptic nucleus. In heart, greatest increase occurred at infarct scar and least in right ventricle. PMID: 14693687
- Identification of shear stress responsive elements in the angiotensin I converting enzyme promoter. PMID: 14872008
- TGF-beta 1 expression is correlated with ACE expression and could be a link between ACE gene polymorphism and diabetic vascular complications. PMID: 15047629
顯示更多
收起更多
-
亞細胞定位:[Angiotensin-converting enzyme, soluble form]: Secreted.; Cell membrane; Single-pass type I membrane protein. Cytoplasm.
-
蛋白家族:Peptidase M2 family
-
組織特異性:Testis-specific isoform is expressed in spermatocytes, adult testis. Also expressed in brain, kidney, lung, skeletal muscle and heart.
-
數據庫鏈接:
Most popular with customers
-
-
YWHAB Recombinant Monoclonal Antibody
Applications: ELISA, WB, IHC, IF, FC
Species Reactivity: Human, Mouse, Rat
-
Phospho-YAP1 (S127) Recombinant Monoclonal Antibody
Applications: ELISA, WB, IHC
Species Reactivity: Human
-
-
-
-
-















