ATG10 Antibody
-
中文名稱:ATG10兔多克隆抗體
-
貨號:CSB-PA861988ESR2HU
-
規格:¥440
-
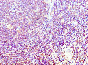
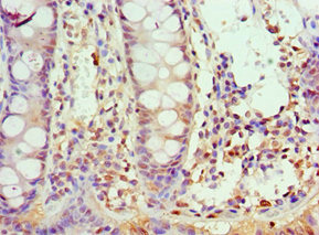
圖片:
-
其他:
產品詳情
-
產品名稱:Rabbit anti-Homo sapiens (Human) ATG10 Polyclonal antibody
-
Uniprot No.:
-
基因名:
-
別名:Apg 10 antibody; APG 10L antibody; APG10 antibody; APG10 autophagy 10 like antibody; APG10 like antibody; APG10; S. cerevisiae; homolog of antibody; APG10-like antibody; APG10L antibody; ATG 10 antibody; ATG10 antibody; ATG10 autophagy related 10 homolog (S. cerevisiae) antibody; ATG10 autophagy related 10 homolog antibody; ATG10_HUMAN antibody; autophagy 10; S. cerevisiae; homolog of antibody; Autophagy related protein 10 antibody; Autophagy-related protein 10 antibody; DKFZP586I0418 antibody; FLJ13954 antibody; pp12616 antibody; Ubiquitin-like-conjugating enzyme ATG10 antibody
-
宿主:Rabbit
-
反應種屬:Human
-
免疫原:Recombinant Human Ubiquitin-like-conjugating enzyme ATG10 protein (1-220AA)
-
免疫原種屬:Homo sapiens (Human)
-
標記方式:Non-conjugated
-
克隆類型:Polyclonal
-
抗體亞型:IgG
-
純化方式:Antigen Affinity Purified
-
濃度:It differs from different batches. Please contact us to confirm it.
-
保存緩沖液:PBS with 0.02% sodium azide, 50% glycerol, pH7.3.
-
產品提供形式:Liquid
-
應用范圍:ELISA, IHC
-
推薦稀釋比:
Application Recommended Dilution IHC 1:20-1:200 -
Protocols:
-
儲存條件:Upon receipt, store at -20°C or -80°C. Avoid repeated freeze.
-
貨期:Basically, we can dispatch the products out in 1-3 working days after receiving your orders. Delivery time maybe differs from different purchasing way or location, please kindly consult your local distributors for specific delivery time.
-
用途:For Research Use Only. Not for use in diagnostic or therapeutic procedures.
相關產品
靶點詳情
-
功能:E2-like enzyme involved in autophagy. Acts as an E2-like enzyme that catalyzes the conjugation of ATG12 to ATG5. ATG12 conjugation to ATG5 is required for autophagy. Likely serves as an ATG5-recognition molecule. Not involved in ATG12 conjugation to ATG3. Plays a role in adenovirus-mediated cell lysis.
-
基因功能參考文獻:
- ATG10 rs1864182 gene polymorphism was associated with the decreased risk of coal workers' pneumoconiosis in a Chinese population. PMID: 28844669
- Taken together with our previous findings, we have replicated our results from the rodent system in a novel human system. We have revealed a unique sequential cascade involving Atg10, Wnt5a, alpha1 integrin, and matrix metalloproteinase-3 in GS/BMP-4-induced differentiation of hiPS cells into odontoblast-like cells at a relatively early stage. PMID: 27639333
- Expression of ATG10 negatively regulated by PTBP1 and is associated with metastasis of colorectal cancer cells. PMID: 27836735
- Findings suggest that eQTL/meQTL variations of ATG10 could influence lung cancer survival through regulating ATG10 expression. PMID: 27225307
- 3 novel miRNAs, MIR4458, MIR4667-5p, and MIR4668-5p, regulate autophagy-mediated elimination of B. pseudomallei by targeting ATG10 PMID: 26151773
- results suggest that genetic variants in ATG10 may implicate with breast cancer susceptibility in Chinese population. Further large and functional studies are needed to confirm our findings PMID: 23850577
- Increased expression of ATG10 in colorectal cancer is associated with lymphovascular invasion and lymph node metastasis indicating that ATG10 may be a potential prognostic maker in colorectal cancer. PMID: 23285162
顯示更多
收起更多
-
亞細胞定位:Cytoplasm.
-
蛋白家族:ATG10 family
-
數據庫鏈接:
Most popular with customers
-
-
YWHAB Recombinant Monoclonal Antibody
Applications: ELISA, WB, IHC, IF, FC
Species Reactivity: Human, Mouse, Rat
-
Phospho-YAP1 (S127) Recombinant Monoclonal Antibody
Applications: ELISA, WB, IHC
Species Reactivity: Human
-
-
-
-
-















