AQP2 Antibody
-
中文名稱:AQP2兔多克隆抗體
-
貨號:CSB-PA597642
-
規格:¥1100
-
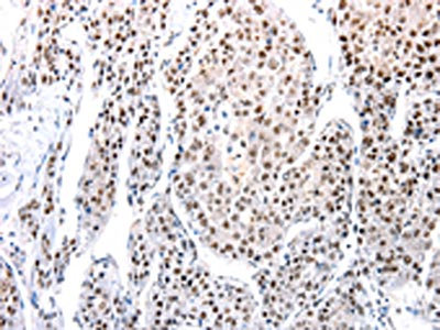
圖片:
-
The image on the left is immunohistochemistry of paraffin-embedded Human liver cancer tissue using CSB-PA597642(AQP2 Antibody) at dilution 1/100, on the right is treated with synthetic peptide. (Original magnification: ×200)
-
The image on the left is immunohistochemistry of paraffin-embedded Human tonsil tissue using CSB-PA597642(AQP2 Antibody) at dilution 1/100, on the right is treated with synthetic peptide. (Original magnification: ×200)
-
-
其他:
產品詳情
-
Uniprot No.:
-
基因名:AQP2
-
別名:AQP2; Aquaporin-2; AQP-2; ADH water channel; Aquaporin-CD; AQP-CD; Collecting duct water channel protein; WCH-CD; Water channel protein for renal collecting duct
-
宿主:Rabbit
-
反應種屬:Human,Mouse,Rat
-
免疫原:Synthetic peptide of Human AQP2
-
免疫原種屬:Homo sapiens (Human)
-
標記方式:Non-conjugated
-
抗體亞型:IgG
-
純化方式:Antigen affinity purification
-
濃度:It differs from different batches. Please contact us to confirm it.
-
保存緩沖液:-20°C, pH7.4 PBS, 0.05% NaN3, 40% Glycerol
-
產品提供形式:Liquid
-
應用范圍:ELISA,IHC
-
推薦稀釋比:
Application Recommended Dilution ELISA 1:2000-1:10000 IHC 1:100-1:300 -
Protocols:
-
儲存條件:Upon receipt, store at -20°C or -80°C. Avoid repeated freeze.
-
貨期:Basically, we can dispatch the products out in 1-3 working days after receiving your orders. Delivery time maybe differs from different purchasing way or location, please kindly consult your local distributors for specific delivery time.
-
用途:For Research Use Only. Not for use in diagnostic or therapeutic procedures.
相關產品
靶點詳情
-
功能:Forms a water-specific channel that provides the plasma membranes of renal collecting duct with high permeability to water, thereby permitting water to move in the direction of an osmotic gradient. Plays an essential role in renal water homeostasis.
-
基因功能參考文獻:
- Structural basis for mutations in human AQP2 associated with nephrogenic diabetes insipidus has been described. PMID: 29799470
- Morning urinary AQP2/Creatinine ratio was significantly lower in patients with nocturnal polyuria than in age-matched healthy controls. PMID: 29316008
- Here we provide an updated overview of the genetic defects causing NDI, the most recent strategies under investigation for rescuing the activity of mutated AVPR2 or AQP2, or for bypassing defective AVPR2 signaling and restoring AQP2 plasma membrane expression. PMID: 29125546
- Results indicate the functional recovery of recessive aquaporin 2 (AQP2) mutants through heteromerization. PMID: 27641679
- AQP2 is associated with the pathogenesis of femalestress urinary incontinence. PMID: 28713996
- Pretreatment with WRT also decreased the hypertonic stressinduced expression of AQP2, as with KT5720, a protein kinase A inhibitor. These results provided evidence of the beneficial effect of the traditional formula WRT in regulating water balance in hypertonic stress of the renal collecting ducts. PMID: 28447712
- E3 ligases most likely to interact with AQP2. PMID: 27199454
- The present study provides detailed insights into the transport properties of AQP2 with the use of microsecond-scale molecular dynamics simulations, and explains how these channels conduct water molecules while at the same time excluding other molecules. PMID: 27793629
- It is a predictor for the development of renal insufficiency and death of patients with liver cirrhosis. PMID: 28092112
- Data suggest that AQP2 binds LIP5 in a AQP2-phosphorylation-dependent manner; phospho-mimicking mutations and phosphorylation reduce thermal stability of AQP2; AQP2 phosphorylation allosterically controls its interaction with LIP5. [AQP2 = aquaporin 2; LIP5 = LYST-interacting protein 5; LYST = lysosomal trafficking regulator protein] PMID: 28710278
- The genetic variant rs426496 in AQP2; rs591810 in AQP3 and rs1805127, rs1805128, and rs17173510, in KCNE1 were found in patients with Meniere's disease PMID: 27509294
- aquaporin-2 regulates serine/threonine phosphatases in renal collecting duct PMID: 27784696
- An overview ofAQP2 mutations in genetic forms of nephrogenic diabetes insipidus (review) PMID: 27156763
- Impaired endometrial receptivity in patients who underwent controlled ovarian stimulation is correlated with a decreased expression of AQP2. PMID: 25232826
- Pretreatment with alkali (0.4 N NaOH) to disrupt exosome membranes allowed consistent ELISA measurements of urinary AQP2. PMID: 26463736
- Findings indicate that SIRT1 increases AQP2 expression in TNF-alpha-induced IMCD cells via the NF-kappaB-dependent signalling pathway, which might provide novel insight to understanding the renoprotective effects of SIRT1 in kidney diseases. PMID: 27980322
- AQP2 polymorphisms (rs461872, rs7305534) were correlated with gastrointestinal toxicity of platinum-based chemotherapy in lung cancer patients PMID: 26358256
- report a novel mutation of the AQP2 gene and highlight an important role of genetic testing for definite diagnosis PMID: 23950570
- In most cases (90 %), inherited nephrogenic diabetes insipidus (NDI) is an X-linked disease, caused by mutations in the AVPR2 gene. * In rare occasions (10 %), it is caused by mutations in the AQP2 gene. PMID: 25902753
- Partial congenital nephrogenic diabetes insipidus in the Swedish family is caused by an AQP2 variation that seems to disable the encoded AQP2-R254W protein to reach the subapical vesicle population as well as impairing its phosphorylation at S256 PMID: 26714855
- Taken together these results provide a possible molecular mechanism explaining the increased AQP2 membrane expression under RGZ treatment: in renal cells RGZ elicits Ca(2+) transients facilitating AQP2 exposure at the apical plasma membrane PMID: 25662477
- U-AQP2/P-AVP is a novel predictor of response to TLV in patients with decompensated HF. AQP-defined responders may have a better prognosis on TLV treatment PMID: 24954239
- In response to hypertonic saline, urinary AQP2 increased more in chronic kidney disease patients compared to controls. PMID: 24970686
- results further support the view that urinary calcium can modulate the vasopressin-dependent urine concentration through a down-regulation of AQP2 expression/trafficking PMID: 24885203
- AQP2 is subjected to S-glutathionylation, which is modulated by reactive oxygen species production. PMID: 25112872
- The genetic polymorphisms in OCT2, AQP2, AQP9 and TMEM205 may contribute to chemotherapy response in lung cancer patients. PMID: 24643204
- These observations provide a framework for understanding why mutations in AQP2 cause nephrogenic diabetes insipidus. PMID: 24733887
- AQP2 function and thus urine concentration is dependent on a variety of cell signalling mechanisms, posttranslational modification and interplay between AQP2 and its lipid environment--{REVIEW} PMID: 23852332
- 9 disease-causing mutations of AQP2 were identified in 9 families. 2 missense mutations and 1 deletion mutation showed recessive inheritance, while 1 missense mutation and 5 small deletion mutations in the C-terminus of AQP2 showed dominant inheritance PMID: 23150186
- AQP-2 gene mutation (R254Q) was identified in a family with dominant nephrogenic diabetes insipidus. PMID: 23409988
- Together, our data reveal that vasopressin induces instead of reduces the phosphorylation of S261 in AQP2-P262L PMID: 22778181
- upregulated Aqp5 may contribute to polyuria, possibly by impairing Aqp2 membrane localization, in Dot1l(AC) mice and in patients with diabetic nephropathy. PMID: 23326416
- Investigations into primary inherited nephrogenic diabetes insipidus (NDI) have contributed enormously to our understanding of the mechanisms of urinary concentration and identified the vasopressin receptor AVPR2, as well as the water channel aquaporin-2. PMID: 23364801
- Of the 15 patients with diabetes insipidus five patients have AQP2 mutations PMID: 22644838
- AQP2 is greatly involved in many human abnormal water balance disorders. (Review) PMID: 23078817
- The potential functions of AQP2 and AQP5 in the inner ear are in the resorption and secretion of endolymph. (Review) PMID: 22732097
- CaR-AQP2 interplay represents an internal renal defense to mitigate the effects of hypercalciuria on the risk of calcium precipitation during antidiuresis PMID: 22403735
- AQP2 mediates E(2)-enhanced migration, invasion, and adhesion through alteration of F-actin and annexin-2 expression and reorganization of F-actin, and inhibition of AQP may be a potential method for antitumor therapy. PMID: 21715543
- Our findings would support the involvement of vasopressin-AQP2 axis, interacting with the renin-angiotensin system, in the progression of immunoglobulin A nephropathy and candidate AQP2 as a possible novel marker of the disease PMID: 21824900
- The marked early rise in expression of AQP2 and AQP3 suggests a role during the process leading to follicular rupture. PMID: 21252246
- After sequencing analysis of the coding regions and exon-intron boundaries one single variation, no significant mutation in AQP 2 was found. PMID: 21063116
- endosomal trapping of AQP2 in the endolymphatic sac, might be important as a basis of Meniere's disease PMID: 20722976
- Elevation of cAMP increased AQP2 protein levels within 30 minutes in human embryonic kidney 293 cells. PMID: 20724536
- Report two new AQP2 mutations displaying high levels of functional expression for mutant forms with adequate plasma membrane targeting in oocytes but not in mIMCD-3 cells where they are restrained within internal stores. PMID: 20403973
- We conclude that ibuprofen-induced oligo-anuria is not associated with a change in AQP2 activity and that ibuprofen does not affect AQP2 activity during the first month of life in very preterm neonates. PMID: 20390303
- AQP2 associates with detergent-resistant membranes early in biosynthetic pathway. Strong cholesterol depletion delays exit of AQP2 from trans-Golgi network. Association with membrane rafts may regulate both AQP2 apical sorting and endocytosis. PMID: 19923410
- Misrouting, instead of a lack of function, is a mechanism for the 'loss of function' phenotype in nephrogenic diabetes insipidus PMID: 11929850
- changes in urinary excretion of aquaporin-2 indicates circulatory blood volume depletion, and estimates the AVP-dependent recovery of circulatory blood volume during the therapeutic period in patients with diabetic ketoacidosis PMID: 12021537
- Two novel aquaporin-2 mutations responsible for congenital nephrogenic diabetes insipidus in Chinese families. PMID: 12050236
- Most AQP2 missense mutants in recessive NDI are retained in the endoplasmic reticulum (ER), but AQP2-T125M and AQP2-G175R were reported to be nonfunctional channels unimpaired in their routing to the plasma membrane. PMID: 12191971
顯示更多
收起更多
-
相關疾病:Diabetes insipidus, nephrogenic, autosomal (ANDI)
-
亞細胞定位:Apical cell membrane; Multi-pass membrane protein. Basolateral cell membrane; Multi-pass membrane protein. Cell membrane; Multi-pass membrane protein. Cytoplasmic vesicle membrane; Multi-pass membrane protein. Golgi apparatus, trans-Golgi network membrane; Multi-pass membrane protein.
-
蛋白家族:MIP/aquaporin (TC 1.A.8) family
-
組織特異性:Expressed in collecting tubules in kidney medulla (at protein level). Detected in kidney.
-
數據庫鏈接:
Most popular with customers
-
-
YWHAB Recombinant Monoclonal Antibody
Applications: ELISA, WB, IHC, IF, FC
Species Reactivity: Human, Mouse, Rat
-
Phospho-YAP1 (S127) Recombinant Monoclonal Antibody
Applications: ELISA, WB, IHC
Species Reactivity: Human
-
-
-
-
-















