AKAP4 Antibody
-
中文名稱:AKAP4兔多克隆抗體
-
貨號:CSB-PA311022
-
規格:¥1100
-
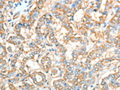
圖片:
-
The image on the left is immunohistochemistry of paraffin-embedded Human brain tissue using CSB-PA311022(AKAP4 Antibody) at dilution 1/10, on the right is treated with fusion protein. (Original magnification: ×200)
-
The image on the left is immunohistochemistry of paraffin-embedded Human thyroid cancer tissue using CSB-PA311022(AKAP4 Antibody) at dilution 1/10, on the right is treated with fusion protein. (Original magnification: ×200)
-
-
其他:
產品詳情
-
Uniprot No.:
-
基因名:AKAP4
-
別名:A kinase (PRKA) anchor protein 4 antibody; A kinase anchor protein 4 antibody; A kinase anchor protein 82 kDa antibody; A-kinase anchor protein 4 antibody; A-kinase anchor protein 82 kDa antibody; AKAP 4 antibody; AKAP 82 antibody; AKAP-4 antibody; AKAP4 antibody; AKAP4_HUMAN antibody; AKAP82 antibody; FSC 1 antibody; FSC1 antibody; hAKAP 82 antibody; hAKAP82 antibody; HI antibody; Major sperm fibrous sheath protein antibody; p82 antibody; PRKA 4 antibody; PRKA4 antibody; Protein kinase A anchoring protein 4 antibody; Protein kinase A-anchoring protein 4 antibody; Testis specific gene HI antibody
-
宿主:Rabbit
-
反應種屬:Human
-
免疫原:Fusion protein of Human AKAP4
-
免疫原種屬:Homo sapiens (Human)
-
標記方式:Non-conjugated
-
抗體亞型:IgG
-
純化方式:Antigen affinity purification
-
濃度:It differs from different batches. Please contact us to confirm it.
-
保存緩沖液:-20°C, pH7.4 PBS, 0.05% NaN3, 40% Glycerol
-
產品提供形式:Liquid
-
應用范圍:ELISA,IHC
-
推薦稀釋比:
Application Recommended Dilution ELISA 1:2000-1:5000 IHC 1:25-1:100 -
Protocols:
-
儲存條件:Upon receipt, store at -20°C or -80°C. Avoid repeated freeze.
-
貨期:Basically, we can dispatch the products out in 1-3 working days after receiving your orders. Delivery time maybe differs from different purchasing way or location, please kindly consult your local distributors for specific delivery time.
-
用途:For Research Use Only. Not for use in diagnostic or therapeutic procedures.
相關產品
靶點詳情
-
功能:Major structural component of sperm fibrous sheath. Plays a role in sperm motility.
-
基因功能參考文獻:
- High AKAP4 expression is associated with reduced sperm motility. PMID: 29581387
- A significant association was found between AKAP4 gene expression and metastasis (P-value: 0.045), expression of the CTAG1B (NY-ESO-1) gene was not observed in our cases. PMID: 29480665
- the physiological role of the negative crosstalk between the cAMP/PKA/AKAP4 and the PKC/ERK1/2 pathways is to regulate capacitation and acrosome reaction. PMID: 27901058
- AKAP4 role in the proliferation and metastasis of thyroid cancer.AKAP4 is highly expressed in thyroid cancer. PMID: 27983916
- AKAP4 appears to be a novel Colorectal cancer-associated antigen with a potential for developing as a new clinical therapeutic target PMID: 26590805
- AKAP4 is a highly accurate biomarker for the detection of early stage lung cancer. PMID: 26160834
- SP17/AKAP4/PTTG1 are expressed in both human NSCLC cell lines and primary tumors and can elicit an immunogenic response in lung cancer patients. PMID: 25739119
- The putative role of AKAP4 in early tumorigenesis is implicated as a biomarker and immunotherapeutic target for cervical cancer. PMID: 23478221
- Ablation of AKAP4 protein caused significant inhibition in cellular proliferation, colony-forming ability, migration and invasion ability of tumor cells. PMID: 23764900
- data suggests that AKAP4 may be used as serum based diagnostic test for an early detection and diagnosis of breast cancer and may be a potential target for immunotherapeutic use PMID: 23451156
- We demonstrate the aberrant expression of AKAP-4 in prostate cancer, which will potentially be developed as a biomarker in prostate cancer. PMID: 21520158
- AKAP4 is a novel target for protein S-nitrosylation in spermatozoa. PMID: 17683036
- Role of AKAP4 in sperm motility is unclear, vut absent or weak AKAP4-labelling is associated with absent or weak sperm. motility. PMID: 17712481
顯示更多
收起更多
-
亞細胞定位:Cell projection, cilium, flagellum. Note=Localizes to the principle piece of the sperm flagellum.
-
蛋白家族:AKAP110 family
-
組織特異性:Testis specific; only expressed in round spermatids.
-
數據庫鏈接:
Most popular with customers
-
-
YWHAB Recombinant Monoclonal Antibody
Applications: ELISA, WB, IHC, IF, FC
Species Reactivity: Human, Mouse, Rat
-
Phospho-YAP1 (S127) Recombinant Monoclonal Antibody
Applications: ELISA, WB, IHC
Species Reactivity: Human
-
-
-
-
-















