ADAM12 Antibody
-
中文名稱:ADAM12兔多克隆抗體
-
貨號:CSB-PA083402
-
規格:¥1100
-
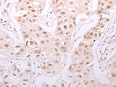
圖片:
-
The image on the left is immunohistochemistry of paraffin-embedded Human colon cancer tissue using CSB-PA083402(ADAM12 Antibody) at dilution 1/30, on the right is treated with synthetic peptide. (Original magnification: ×200)
-
The image on the left is immunohistochemistry of paraffin-embedded Human breast cancer tissue using CSB-PA083402(ADAM12 Antibody) at dilution 1/30, on the right is treated with synthetic peptide. (Original magnification: ×200)
-
-
其他:
產品詳情
-
Uniprot No.:
-
基因名:ADAM12
-
別名:ADAM12; MLTN; UNQ346/PRO545; Disintegrin and metalloproteinase domain-containing protein 12; ADAM 12; Meltrin-alpha
-
宿主:Rabbit
-
反應種屬:Human,Mouse
-
免疫原:Synthetic peptide of Human ADAM12
-
免疫原種屬:Homo sapiens (Human)
-
標記方式:Non-conjugated
-
抗體亞型:IgG
-
純化方式:Antigen affinity purification
-
濃度:It differs from different batches. Please contact us to confirm it.
-
保存緩沖液:-20°C, pH7.4 PBS, 0.05% NaN3, 40% Glycerol
-
產品提供形式:Liquid
-
應用范圍:ELISA,IHC
-
推薦稀釋比:
Application Recommended Dilution ELISA 1:2000-1:5000 IHC 1:25-1:100 -
Protocols:
-
儲存條件:Upon receipt, store at -20°C or -80°C. Avoid repeated freeze.
-
貨期:Basically, we can dispatch the products out in 1-3 working days after receiving your orders. Delivery time maybe differs from different purchasing way or location, please kindly consult your local distributors for specific delivery time.
-
用途:For Research Use Only. Not for use in diagnostic or therapeutic procedures.
相關產品
靶點詳情
-
功能:Involved in skeletal muscle regeneration, specifically at the onset of cell fusion. Also involved in macrophage-derived giant cells (MGC) and osteoclast formation from mononuclear precursors.
-
基因功能參考文獻:
- our study provide crucial evidence that ADAM12 induces epithelial to mesenchymal transition and promotes cell migration, invasion and proliferation in pituitary adenomas via EGFR/ERK signaling pathway PMID: 29136943
- This meta-analysis suggests that the ADAM 12 genetic polymorphisms rs1871054 and rs1044122 might be associated with risk of knee osteoarthritis; rs3740199 might be associated with risk of knee osteoarthritis in men. PMID: 28748424
- Data report that ADAM12 is upregulated in the vessels of aggressive breast tumors and exerts key regulatory functions. Also, its expression is significantly positively correlated with pro-angiogenic factors including VEGF and MMP-9 but negatively associated with TSP1. These findings suggest that ADAM12 regulates endothelial cell function and facilitates a proangiogenic microenvironment in a STAT3-dependent manner. PMID: 28765266
- Results suggest that ADAM12 gene is a susceptibility gene underlying both joint destruction and growth retardation of the Kashin-Beck disease (KBD). PMID: 27545300
- ADAM12 is induced by Twist1 and plays a crucial role in tumor invasion and metastasis by regulating both invadopodia and focal adhesions PMID: 28468988
- statistically significant association between rs1871054 and risk of Knee Osteoarthritis in Asian population; other polymorphisms (rs3740199, rs1044122, or rs1278279) in ADAM12 were not associated with Knee Osteoarthritis in any population (Meta-Analysis). PMID: 28929114
- rs3740199 polymorphism does not contribute to the development of knee osteoarthritis [meta-analysis] PMID: 28637509
- Tetraspanin-8 has a role in promoting hepatocellular carcinoma metastasis by increasing ADAM12m expression PMID: 27270327
- A novel regulator, myoferlin, of ADAM12 is discovered in HeLa cells and this protein increases ADAM12 expression level, stability, and its enzymatic activity, leading to the reduction of its substrate, E-cadherin, which plays important roles in the regulation of cell adhesion and tumor metastasis. PMID: 27432471
- Our data support a role for ADAM12 in NHL cell proliferation, adhesion, and drug resistance, and it may pave the way for a novel therapeutic approach for CAM-DR in NHL. PMID: 28395594
- The rs3740199 polymorphism in the ADAM12 gene was associated with knee osteoarthritis genetic susceptibility. PMID: 26875044
- These results indicate that ADAM12 actively supports the CSC phenotype in claudin-low breast cancer cells via modulation of the EGFR pathway. PMID: 28148288
- We conclude that ADAM12 and MMP-14 are associated with cavernous sinus invasion in pituitary adenomas, which qualifies these proteins in diagnosis and therapy. PMID: 27144841
- ADAM12 expression is significantly upregulated in human masticatory mucosa during wound healing PMID: 28005267
- Stromal expression patterns for both ADAM12 and CDCP1. PMID: 27685922
- The first trimester maternal ADAM12-s levels were statistically significantly higher in the entire ART group, IVF and ICSI groups, and normal cycle-frozen embryo transfer group when compared with those in the controls. PMID: 26697810
- The level of ADAM12 was upregulated in tumor tissues of breast cancer compared to that of adjacent normal tissues. patients with higher level of ADAM12 exhibited shorter survival time compared to that of low level of ADAM12 PMID: 26722530
- The siRNA-directed loss of ADAM12 impedes spontaneous fusion of primary cytotrophoblasts, whereas overexpression of the secreted variant, ADAM12S, potentiates cell fusion in the Bewo trophoblast cell line. PMID: 25909890
- the present findings support the conclusion that the E2F1 transcription factor regulates the expression of ADAM12 by binding differential cis-acting elements. PMID: 26503019
- ADAM12L is associated with epithelial to mesenchymal transition (EMT) and contributes to TGF-beta-dependent EMT. PMID: 26407179
- ADAM33 and ADAM12 genetic polymorphisms and their expression in Egyptian children with asthma PMID: 26553447
- Data suggest that low serum levels of ADAM12/hCG may be biomarkers in diagnosis of continued incomplete spontaneous abortion; here, ADAM12/hCG indicate success/failure of single dose of misoprostol/oxytocic in treatment of early pregnancy failure. PMID: 26051455
- The ADAM12-L 3'UTR is a direct target of miR-29 and miR-200 family members. PMID: 25886595
- High urine ADAM12 levels are associated with gastric cancer. PMID: 25591790
- Studied the potential role of four SNPs of the ADAM12 gene in susceptibility to knee osteoarthritis and its progression in Chinese Han population. PMID: 25667922
- There is a difference between the genders in response to an adverse maternal environment and suggest that an alteration in ADAM12 may reflect an altered placental response in pregnancies subsequently complicated by preeclampsia. PMID: 24899472
- ADAM12 expression is associated with an aggressive molecular subtype of high-grade serous ovarian carcinoma.High serum protein levels of ADAM12 are associated with poor survival in patients with high-grade serous ovarian carcinoma. PMID: 25926422
- the ADAM12 rs1871054 variant was found to be significantly associated with increased knee osteoarthritis susceptibility in a Chinese Han population PMID: 25197389
- Data show that ADAMTS1 was expressed at a significantly higher level in extravillous trophoblast cells (EVTs) than in villous trophoblast cells (VTs), while both ADAM10 and ADAM12 were expressed at significantly higher levels in VTs than in EVTs. PMID: 24998958
- High ADAM12 expression is associated with prostate cancer. PMID: 25139103
- Data confirms activity of trophoblast-derived ADAM12S by demonstrating its potential to degrade insulin-like growth factor-binding protein 3. ADAM12S exerts pro-migratory function in trophoblasts by inducing integrin beta 1-mediated cellular spreading. PMID: 24695627
- ADAM12 expression in the first trimester of pregnancy may have a role in complete spontaneous abortion and hydatidiform mole PMID: 24830297
- IHC revealed protein expression of all four genes. IHC staining for ADAM12, FAP, and WISP1 correlated with CDR and was higher, whereas SOX11 staining was lower in tumors with earlier recurrence following excision PMID: 24402778
- ADAM-12 is an independent prognostic factor and diagnostic marker, and is involved in the proliferation, invasion and metastasis of small cell lung cancer . PMID: 24465799
- This apparent association between the catalytic activity of the mutants and the type of breast cancer supports a previously postulated role of an active ADAM12-L in the triple negative breast cancer disease. PMID: 24651654
- Studied the splicing variants of ADAM12 (L and S) and ADAM17 gene expression in melanoma at transcriptional and translational level in comparison with control (non-tumor) tissues. PMID: 23645517
- ADAM12 localizes to invasive trophoblast, promotes cell invasion and directs column outgrowth in early placental development. PMID: 24243624
- findings suggest that urinary ADAM 12 may not correlate directly with the status and stage of breast cancer as previously thought; rather these increases may be a result of tissue injury and inflammation from biopsy and surgical resection PMID: 24690292
- ADAM12 is upregulated in the synovial tissue during synovitis on mRNA and protein level. and could have a role in knee osteoarthritis synovitis, especially in the occurrence of postinflammatory fibrosis. PMID: 23578941
- Data suggest that a ternary protein complex composed of ADAM12, alphaVbeta3 integrin and MMP-14 at the tumor cell surface regulates the function of MMP-14. PMID: 24006261
- growth factor-like growth factor(HB-EGF) are involved in cellular plasticity resulting in production of brown adipose tissue-like cells PMID: 24116709
- Genotype frequency is not significant among ADAM12, within the combined South African and Australian control and Achilles tendon pathology (ATP) groups. PMID: 23491141
- up-regulation of the ADAM12 ADAM12L isoform in claudin-low breast tumors and during epithelial-to-mesenchymal transition PMID: 23771733
- understanding of ADAM12 both as a biomarker and a potential drug target could help make significant inroads into both early diagnosis and treatment of disease PMID: 23680494
- ADAM 12 is highly expressed in, but not restricted to, oligodendrogliomas PMID: 23324579
- Although no significant correlations were seen between E2 and PIGF or P4 and ADAM12 in women in the early stages of IUP, E2 was positively correlated with PIGF and P4 was positively correlated with ADAM12 in women with EP prior to tubal surgery PMID: 23421942
- The associations of two single-nucleotide polymorphisms (GDF5 and ADAM12) with knee osteoarthritis that were noted in previous studies, were not found in the Korean knee osteoarthritis cohort. PMID: 22284607
- A role is demonstrated for ADAM12 in ectodomain shedding of membrane-anchored endothelial proteins in the tumor vasculature, an important process in tumor neovascularization and tumor cell extravasation. PMID: 23458101
- Hypoxia increased the levels and activity of the ADAM12 metalloprotease in a Notch signaling-dependent manner, leading to increased ectodomain shedding of the epidermal growth factor (EGF) receptor (EGFR) ligand heparin-binding EGF-like growth factor. PMID: 23589494
- ADAM12 is the primary protease responsible for the activation of EGFR in early stage, lymph node-negative triple-negative breast cancers PMID: 22926263
顯示更多
收起更多
-
亞細胞定位:[Isoform 1]: Cell membrane; Single-pass type I membrane protein.; [Isoform 2]: Secreted.; [Isoform 3]: Secreted.; [Isoform 4]: Secreted.
-
組織特異性:Isoform 1 is expressed in placenta and skeletal, cardiac, and smooth muscle. Isoform 2 seems to be expressed only in placenta or in embryo and fetus. Both forms were expressed in some tumor cells lines. Not detected in brain, lung, liver, kidney or pancre
-
數據庫鏈接:
Most popular with customers
-
-
YWHAB Recombinant Monoclonal Antibody
Applications: ELISA, WB, IHC, IF, FC
Species Reactivity: Human, Mouse, Rat
-
Phospho-YAP1 (S127) Recombinant Monoclonal Antibody
Applications: ELISA, WB, IHC
Species Reactivity: Human
-
-
-
-
-















