ACOX3 Antibody
-
中文名稱:ACOX3兔多克隆抗體
-
貨號:CSB-PA908473
-
規格:¥1100
-
圖片:
-
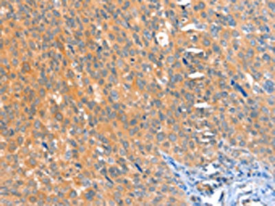
The image on the left is immunohistochemistry of paraffin-embedded Human cervical cancer tissue using CSB-PA908473(ACOX3 Antibody) at dilution 1/25, on the right is treated with fusion protein. (Original magnification: ×200)
-
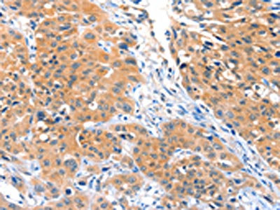
The image on the left is immunohistochemistry of paraffin-embedded Human lung cancer tissue using CSB-PA908473(ACOX3 Antibody) at dilution 1/25, on the right is treated with fusion protein. (Original magnification: ×200)
-
-
其他:
產品詳情
-
Uniprot No.:
-
基因名:
-
別名:ACOX3 antibody; BRCOX antibody; PRCOXPeroxisomal acyl-coenzyme A oxidase 3 antibody; EC 1.3.3.6 antibody; Branched-chain acyl-CoA oxidase antibody; BRCACox antibody; Pristanoyl-CoA oxidase antibody
-
宿主:Rabbit
-
反應種屬:Human
-
免疫原:Fusion protein of Human ACOX3
-
免疫原種屬:Homo sapiens (Human)
-
標記方式:Non-conjugated
-
抗體亞型:IgG
-
純化方式:Antigen affinity purification
-
濃度:It differs from different batches. Please contact us to confirm it.
-
保存緩沖液:-20°C, pH7.4 PBS, 0.05% NaN3, 40% Glycerol
-
產品提供形式:Liquid
-
應用范圍:ELISA,IHC
-
推薦稀釋比:
Application Recommended Dilution ELISA 1:2000-1:5000 IHC 1:25-1:100 -
Protocols:
-
儲存條件:Upon receipt, store at -20°C or -80°C. Avoid repeated freeze.
-
貨期:Basically, we can dispatch the products out in 1-3 working days after receiving your orders. Delivery time maybe differs from different purchasing way or location, please kindly consult your local distributors for specific delivery time.
-
用途:For Research Use Only. Not for use in diagnostic or therapeutic procedures.
相關產品
靶點詳情
-
功能:Oxidizes the CoA-esters of 2-methyl-branched fatty acids.
-
基因功能參考文獻:
- ACOX3, which is expressed at extremely low level in other human organs studied including the liver, might contribute significantly to peroxisomal branched chain fatty acid beta-oxidation in human prostate tissue and some prostate cancer cell lines PMID: 15599942
-
亞細胞定位:Peroxisome.
-
蛋白家族:Acyl-CoA oxidase family
-
數據庫鏈接:
Most popular with customers
-
-
YWHAB Recombinant Monoclonal Antibody
Applications: ELISA, WB, IHC, IF, FC
Species Reactivity: Human, Mouse, Rat
-
-
-
-
-
-















