ABCA2 Antibody
-
中文名稱:ABCA2兔多克隆抗體
-
貨號:CSB-PA949432
-
規格:¥1100
-
圖片:
-
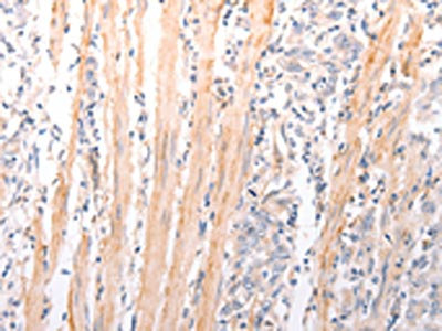
The image on the left is immunohistochemistry of paraffin-embedded Human cervical cancer tissue using CSB-PA949432(ABCA2 Antibody) at dilution 1/25, on the right is treated with synthetic peptide. (Original magnification: ×200)
-
The image on the left is immunohistochemistry of paraffin-embedded Human gastric cancer tissue using CSB-PA949432(ABCA2 Antibody) at dilution 1/25, on the right is treated with synthetic peptide. (Original magnification: ×200)
-
-
其他:
產品詳情
-
Uniprot No.:
-
基因名:
-
別名:ABC2 antibody; Abca2 antibody; ABCA2_HUMAN antibody; ATP binding cassette 2 antibody; ATP binding cassette sub family A member 2 antibody; ATP binding cassette transporter 2 antibody; ATP binding cassette; sub family A (ABC1); member 2 antibody; ATP binding cassette; sub family A; member 2 antibody; ATP binding cassette; sub family B (MDR/TAP); member 2 antibody; ATP-binding cassette 2 antibody; ATP-binding cassette sub-family A member 2 antibody; ATP-binding cassette transporter 2 antibody
-
宿主:Rabbit
-
反應種屬:Human,Mouse,Rat
-
免疫原:Synthetic peptide of Human ABCA2
-
免疫原種屬:Homo sapiens (Human)
-
標記方式:Non-conjugated
-
抗體亞型:IgG
-
純化方式:Antigen affinity purification
-
濃度:It differs from different batches. Please contact us to confirm it.
-
保存緩沖液:-20°C, pH7.4 PBS, 0.05% NaN3, 40% Glycerol
-
產品提供形式:Liquid
-
應用范圍:ELISA,IHC
-
推薦稀釋比:
Application Recommended Dilution ELISA 1:2000-1:5000 IHC 1:25-1:100 -
Protocols:
-
儲存條件:Upon receipt, store at -20°C or -80°C. Avoid repeated freeze.
-
貨期:Basically, we can dispatch the products out in 1-3 working days after receiving your orders. Delivery time maybe differs from different purchasing way or location, please kindly consult your local distributors for specific delivery time.
-
用途:For Research Use Only. Not for use in diagnostic or therapeutic procedures.
相關產品
靶點詳情
-
功能:Probable lipid transporter that modulates cholesterol sequestration in the late endosome/lysosome by regulating the intracellular sphingolipid metabolism, in turn participates in cholesterol homeostasis (Probable). May alter the transbilayer distribution of ceramide in the intraluminal membrane lipid bilayer, favoring its retention in the outer leaflet that results in increased acid ceramidase activity in the late endosome/lysosome, facilitating ceramide deacylation to sphingosine leading to the sequestration of free cholesterol in lysosomes. In addition regulates amyloid-beta production either by activating a signaling pathway that regulates amyloid precursor protein transcription through the modulation of sphingolipid metabolism or through its role in gamma-secretase processing of APP. May play a role in myelin formation.
-
基因功能參考文獻:
- The analyses results suggested ABCA2 mRNA expression was upregulated significantly in AD compared with controls in all datasets. PMID: 29224028
- Our findings indicate a considerable and direct relationship between mRNA expression levels of ABCA2, ABCA3, MDR1, and MRP1 genes and positive minimal residual disease (MRD) measured after one year of treatment. PMID: 24145140
- Down-regulation of the ATP-binding cassette transporter 2 (Abca2) reduces amyloid-beta production by altering Nicastrin maturation and intracellular localization. PMID: 22086926
- SLC2A1/GLUT1, SLC1A3/EAAT1, and SLC1A2/EAAT2 were the main SLC proteins whereas ABCG2/BCRP, ABCB1/MDR1, ABCA2 and ABCA8 were the main ABC quantified in isolated brain microvessels PMID: 21707071
- A possible biochemical mechanism links ABCA2 expression, amyloid precursor protein processing, and Alzheimer's disease. PMID: 20704561
- we demonstrate that ABCA2-deficiency inhibits prostate tumor metastasis in vivo and decreases chemotactic potential of cells PMID: 21041019
- roles for this largest known ABC protein in neural transmembrane lipid export PMID: 12363033
- Reciprocal regulation of expression of the ABCA2 promoter by the early growth response-1 and Sp-family transcription factors. PMID: 12560508
- It is likely that expression of ABCA2 by two independent promoters constitutes locus of regulation controlling expression of the protein to meet requirements in different tissues. PMID: 15093135
- Increased expression of ABCA2 may be causally linked with altered expression of genes associated with the pathogenesis of Alzheimer disease. PMID: 15155565
- Among the 45 ABCA2 single nucleotide polymorphisms(SNPs) we tested, one synonymous SNP (rs908832) was found significantly associated with AD in both samples. PMID: 15649702
- the expression patterns of ABCA2 in combination with other markers showed phenotypic heterogeneity in schwannomas PMID: 15850583
- Data suggest that ABCA2 may exert population-dependent effects on the genetic risk for sporadic Alzheimer's disease and support a role of ABC lipid transporters in the pathogenesis of this disease. PMID: 16752360
- No association of ABCA2 Single Nucleotide Polymorphism on chromosome 9 with Alzheimer's disease. PMID: 18336955
顯示更多
收起更多
-
亞細胞定位:Endosome membrane; Multi-pass membrane protein. Lysosome membrane; Multi-pass membrane protein.
-
蛋白家族:ABC transporter superfamily, ABCA family
-
組織特異性:[Isoform 3]: Highly expressed in the brain,peripheral blood leukocytes and ovary, whereas lower levels of expression is observed in kidney and liver.; [Isoform 4]: Weakly expressed in brain and highly in peripheral blood leukocytes.
-
數據庫鏈接:
Most popular with customers
-
-
YWHAB Recombinant Monoclonal Antibody
Applications: ELISA, WB, IHC, IF, FC
Species Reactivity: Human, Mouse, Rat
-
Phospho-YAP1 (S127) Recombinant Monoclonal Antibody
Applications: ELISA, WB, IHC
Species Reactivity: Human
-
-
-
-
-















