ZC3H12A
ZC3H12A,也稱為MCPIP1,是一種由單核細胞趨化蛋白-1(MCP-1)誘導的蛋白,具有轉錄激活功能。它能夠促進心肌細胞的死亡,并在炎癥和纖維化過程中發揮作用。ZC3H12A蛋白與多種疾病相關,包括矽肺和肺纖維化,其作用機制涉及調節炎癥反應和細胞增殖。目前,針對ZC3H12A蛋白的藥物研發正在進展中,旨在開發新的治療方法以治療相關疾病。
熱銷產品
Recombinant Human Endoribonuclease ZC3H12A (ZC3H12A) (CSB-EP701732HU)
驗證數據
(Tris-Glycine gel) Discontinuous SDS-PAGE (reduced) with 5% enrichment gel and 15% separation gel.
ZC3H12A Antibody (CSB-PA037047)
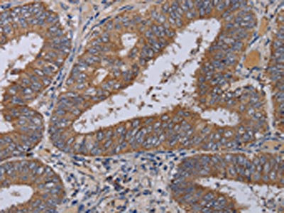
驗證數據
The image on the left is immunohistochemistry of paraffin-embedded Human colon cancer tissue using CSB-PA037047(ZC3H12A Antibody) at dilution 1/40, on the right is treated with fusion protein. (Original magnification: ×200)
The image on the left is immunohistochemistry of paraffin-embedded Human brain tissue using CSB-PA037047(ZC3H12A Antibody) at dilution 1/40, on the right is treated with fusion protein. (Original magnification: ×200)
Gel: 6%SDS-PAGE, Lysate: 40 μg, Lane: K562 cells, Primary antibody: CSB-PA037047(ZC3H12A Antibody) at dilution 1/200, Secondary antibody: Goat anti rabbit IgG at 1/8000 dilution, Exposure time: 20 seconds
ZC3H12A Antibodies
ZC3H12A for Homo sapiens (Human)
| 產品貨號 | 產品名稱 | 種屬反應性 | 應用類型 |
|---|---|---|---|
| CSB-PA356806 | ZC3H12A Antibody | Human | ELISA,IHC |
| CSB-PA037047 | ZC3H12A Antibody | Human | ELISA,WB,IHC |
| CSB-PA701732LA01HU | ZC3H12A Antibody | Human | ELISA, IHC |
| CSB-PA701732LD01HU | ZC3H12A Antibody, Biotin conjugated | Human | ELISA |
| CSB-PA701732LC01HU | ZC3H12A Antibody, FITC conjugated | Human | |
| CSB-PA701732LB01HU | ZC3H12A Antibody, HRP conjugated | Human | ELISA |
ZC3H12A Proteins
ZC3H12A Proteins for Homo sapiens (Human)
| 產品貨號 | 產品名稱 | 來源 |
|---|---|---|
| CSB-YP701732HU CSB-BP701732HU CSB-MP701732HU CSB-EP701732HU-B |
Recombinant Human Endoribonuclease ZC3H12A (ZC3H12A) | Yeast Baculovirus Mammalian cell In Vivo Biotinylation in E.coli |
| CSB-EP701732HU | Recombinant Human Endoribonuclease ZC3H12A (ZC3H12A) | E.coli |






