TRIM72
TRIM72,全稱為Tripartite Motif Containing 72,是一種肌肉特異性蛋白,也被稱為Mitsugumin-53或Mg53。它在細胞膜修復中扮演重要角色,能夠修復受損的細胞膜,并參與細胞自噬過程。TRIM72與多種信號通路有關,如胰島素受體信號通路和肌管分化的負調控。此外,TRIM72的異常與某些疾病相關,如肌萎縮側索硬化(漸凍癥)。近年來,針對TRIM72的藥物研發取得進展,例如全球首款針對漸凍癥的基因治療藥物SNUG01,它通過遞送工程化TRIM72基因來修復受損的神經元,為漸凍癥患者帶來了新的治療希望。
熱銷產品
Recombinant Human Tripartite motif-containing protein 72 (TRIM72), partial (CSB-EP744394HU)
驗證數據
(Tris-Glycine gel) Discontinuous SDS-PAGE (reduced) with 5% enrichment gel and 15% separation gel.
TRIM72 Antibody (CSB-PA080146)
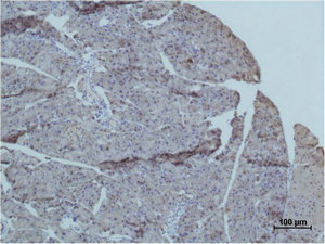
驗證數據
Immunohistochemical analysis of paraffin-embedded Mouse PancreasTissue using TRIM72 Polyclonal Antibody.
Western blot analysis of Mouse skeletal muscle using TRIM72 Polyclonal Antibody.
Human Tripartite motif-containing protein 72(TRIM72) ELISA kit (CSB-EL024511HU)
驗證數據
貨號:CSB-EL024511HU
規格:96T/48T
靈敏度:6.25 pg/mL
檢測范圍:25 pg/mL-1600 pg/mL
These standard curves are provided for demonstration only. A standard curve should be generated for each set of samples assayed.
TRIM72 Antibodies
TRIM72 for Homo sapiens (Human)
| 產品貨號 | 產品名稱 | 種屬反應性 | 應用類型 |
|---|---|---|---|
| CSB-PA080146 | TRIM72 Antibody | Human,Mouse,Rat | WB, IHC |
TRIM72 Proteins
TRIM72 Proteins for Homo sapiens (Human)
| 產品貨號 | 產品名稱 | 來源 |
|---|---|---|
| CSB-YP744394HU CSB-EP744394HU-B |
Recombinant Human Tripartite motif-containing protein 72 (TRIM72), partial | Yeast In Vivo Biotinylation in E.coli |
| CSB-MP744394HU | Recombinant Human Tripartite motif-containing protein 72 (TRIM72), partial | Mammalian cell |
| CSB-EP744394HU1(M) | Recombinant Human Tripartite motif-containing protein 72 (TRIM72), partial | E.coli |
| CSB-EP744394HU1 | Recombinant Human Tripartite motif-containing protein 72 (TRIM72), partial | E.coli |
| CSB-BP744394HU | Recombinant Human Tripartite motif-containing protein 72 (TRIM72), partial | Baculovirus |
| CSB-EP744394HU | Recombinant Human Tripartite motif-containing protein 72 (TRIM72), partial | E.coli |
TRIM72 ELISA Kit
TRIM72 ELISA Kit for Homo sapiens (Human)
| 產品貨號 | 產品名稱 | 樣本類型 | 靈敏度 |
|---|---|---|---|
| CSB-EL024511HU | Human Tripartite motif-containing protein 72(TRIM72) ELISA kit | serum, plasma, tissue homogenates, cell lysates | 6.25 pg/mL |






