TRIM24
TRIM24,全稱為Tripartite Motif Containing 24,別名TIF1α,是一種具有E3泛素連接酶活性的多功能蛋白質。它參與多種核受體的轉錄調控,通過與染色質結合并招募其他調控蛋白,影響靶基因表達。TRIM24優先結合未修飾的H3K4me0和乙?;腍3K23,在肝臟中調控脂代謝相關基因。其過表達常見于惡性腫瘤,可能通過異常激活促癌基因或抑制抑癌基因促進腫瘤生長,并與化療耐藥性相關。相反,TRIM24表達降低可能影響細胞分化,例如在小鼠實驗中敲除TRIM24會導致胚胎致死或肝臟發育異常。TRIM24的溴結構域可作為藥物靶點,目前正在探索小分子抑制劑用于癌癥治療。
熱銷產品
Recombinant Human Transcription intermediary factor 1-alpha (TRIM24), partial (CSB-EP024460HU)
驗證數據
(Tris-Glycine gel) Discontinuous SDS-PAGE (reduced) with 5% enrichment gel and 15% separation gel.
TRIM24 Recombinant Monoclonal Antibody (CSB-RA133402A0HU)
驗證數據
Western Blot
Positive WB detected in: MCF-7 whole cell lysate(30μg)
All lanes: TRIM24 antibody at 1:1000
Secondary
Goat polyclonal to rabbit IgG at 1/40000 dilution
Predicted band size: 117 kDa
Observed band size: 130 kDa
Exposure time:2min
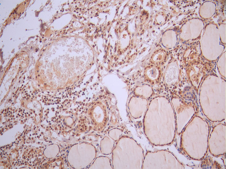
IHC image of CSB-RA133402A0HU diluted at 1:100 and staining in paraffin-embedded human thyroid tissue performed on a Leica BondTM system. After dewaxing and hydration, antigen retrieval was mediated by high pressure in a citrate buffer (pH 6.0). Section was blocked with 10% normal goat serum 30min at RT. Then primary antibody (1% BSA) was incubated at 4°C overnight. The primary is detected by a Goat anti-rabbit polymer IgG labeled by HRP and visualized using 0.05% DAB.
Overlay Peak curve showing SH-SY5Y cells stained with CSB-RA133402A0HU (red line) at 1:100. The cells were fixed in 4% formaldehyde and permeated by 0.2% TritonX-100 for 10min. Then 10% normal goat serum to block non-specific protein-protein interactions followed by the antibody (1ug/1*106cells) for 45min at 4℃. The secondary antibody used was FITC-conjugated goat anti-rabbit IgG (H+L) at 1/200 dilution for 35min at 4℃.Control antibody (green line) was Rabbit IgG (1ug/1*106cells) used under the same conditions. Acquisition of >10, 000 events was performed.
TRIM24 Antibody (CSB-PA194059)
驗證數據
Western blot analysis of extracts from COLO cells, using TRIM24 antibody.
Immunohistochemistry analysis of paraffin-embedded human brain tissue using TRIM24 antibody.
TRIM24 Antibodies
TRIM24 for Homo sapiens (Human)
| 產品貨號 | 產品名稱 | 種屬反應性 | 應用類型 |
|---|---|---|---|
| CSB-PA024460GA01HU | TRIM24 Antibody | Human,Mouse,Rat | ELISA,WB,IHC |
| CSB-PA194059 | TRIM24 Antibody | Human,Mouse | ELISA,WB,IHC |
| CSB-PA004291 | TRIM24 Antibody | Human,Mouse | WB, IHC, ELISA |
| CSB-PA172074 | TRIM24 Antibody | Human,Mouse | ELISA,WB |
| CSB-PA197772 | TRIM24 Antibody | Human,Mouse | ELISA,WB,IHC |
| CSB-PA024460LA01HU | TRIM24 Antibody | Human | ELISA |
| CSB-PA024460LD01HU | TRIM24 Antibody, Biotin conjugated | Human | ELISA |
| CSB-PA024460LC01HU | TRIM24 Antibody, FITC conjugated | Human | |
| CSB-PA024460LB01HU | TRIM24 Antibody, HRP conjugated | Human | ELISA |
| CSB-RA133402A0HU | TRIM24 Recombinant Monoclonal Antibody | Human | ELISA, WB, IHC, FC |
TRIM24 Proteins
TRIM24 Proteins for Homo sapiens (Human)
| 產品貨號 | 產品名稱 | 來源 |
|---|---|---|
| CSB-YP024460HU | Recombinant Human Transcription intermediary factor 1-alpha (TRIM24), partial | Yeast |
| CSB-EP024460HU | Recombinant Human Transcription intermediary factor 1-alpha (TRIM24), partial | E.coli |
| CSB-BP024460HU CSB-MP024460HU CSB-EP024460HU-B |
Recombinant Human Transcription intermediary factor 1-alpha (TRIM24), partial | Baculovirus Mammalian cell In Vivo Biotinylation in E.coli |
TRIM24 Proteins for Mus musculus (Mouse)
| 產品貨號 | 產品名稱 | 來源 |
|---|---|---|
| CSB-YP720647MO CSB-EP720647MO CSB-BP720647MO CSB-MP720647MO CSB-EP720647MO-B |
Recombinant Mouse Transcription intermediary factor 1-alpha (Trim24), partial | Yeast E.coli Baculovirus Mammalian cell In Vivo Biotinylation in E.coli |






