TREX1
TREX1,全稱三素修復核酸外切酶1,是一種具有3'端核酸外切酶活性的核蛋白。它參與DNA修復過程,并作為DNA聚合酶的校對功能。TREX1的突變會導致多種免疫系統疾病,如Aicardi-Goutières綜合征、凍瘡狼瘡和Cree腦炎等。近年來,研究發現TREX1與自身免疫性疾病和多發性骨髓瘤的發生發展密切相關。針對TREX1的藥物研發正在興起,例如,通過CRISPR技術篩選發現的長非編碼RNA RP11-350G8.5可作為多發性骨髓瘤治療的新靶點。此外,TREX1的表達水平與腫瘤細胞的生存、增殖及對化療藥物的耐藥性密切相關,提示其可能成為治療自身免疫性疾病和腫瘤的新方向。
熱銷產品
Recombinant Human Three-prime repair exonuclease 1 (TREX1) (CSB-BP865133HUi2)
驗證數據
(Tris-Glycine gel) Discontinuous SDS-PAGE (reduced) with 5% enrichment gel and 15% separation gel.
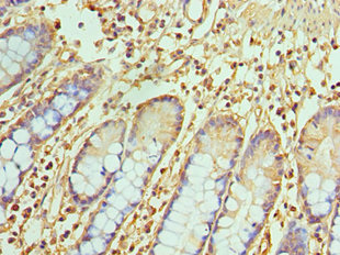
TREX1 Antibody (CSB-PA865133ESR1HU)
驗證數據
Immunohistochemistry of paraffin-embedded human small intestine tissue using CSB-PA865133ESR1HU at dilution of 1:100
TREX1 Antibodies
TREX1 for Homo sapiens (Human)
| 產品貨號 | 產品名稱 | 種屬反應性 | 應用類型 |
|---|---|---|---|
| CSB-PA865133ESR1HU | TREX1 Antibody | Human | ELISA, IHC |
| CSB-PA865133ESR2HU | TREX1 Antibody | Human | ELISA, IHC |
TREX1 Proteins
TREX1 Proteins for Homo sapiens (Human)
| 產品貨號 | 產品名稱 | 來源 |
|---|---|---|
| CSB-YP865133HU CSB-EP865133HU CSB-MP865133HU CSB-EP865133HU-B |
Recombinant Human Three-prime repair exonuclease 1 (TREX1) | Yeast E.coli Mammalian cell In Vivo Biotinylation in E.coli |
| CSB-BP865133HU | Recombinant Human Three-prime repair exonuclease 1 (TREX1) | Baculovirus |
| CSB-EP865133HU1 | Recombinant Human Three prime repair exonuclease 1 (TREX1), partial | E.coli |
| CSB-BP865133HUi2 | Recombinant Human Three-prime repair exonuclease 1 (TREX1) | Baculovirus |






