TIGAR
TIGAR,即TP53誘導的糖酵解和凋亡調節劑,別名FR2BP、C12orf5。它是一種在細胞對p53相關應激反應中起重要作用的蛋白,由人體細胞自身的基因編碼。TIGAR的作用機制主要是通過抑制糖酵解途徑,增加磷酸戊糖途徑的流量,從而產生更多的NADPH,以促進DNA修復和減少細胞內活性氧(ROS)的產生,保護細胞免受氧化應激引起的損傷。TIGAR在生物學上的意義非常廣泛,它參與調節細胞的代謝、氧化還原平衡、細胞周期、細胞凋亡以及自噬等過程。TIGAR的表達與多種疾病的發生發展密切相關,尤其是在腫瘤發展中,TIGAR通過抗氧化作用和調節自噬,有助于腫瘤細胞逃避免疫監視和增強腫瘤細胞的侵襲能力。此外,TIGAR的功能異常還與某些心血管疾病和神經退行性疾病相關。因此,TIGAR是藥物開發和疾病治療中的一個潛在靶點。
熱銷產品
TIGAR Antibody (CSB-PA889078LA01HU)
驗證數據
Immunohistochemistry of paraffin-embedded human pancreatic cancer using CSB-PA889078LA01HU at dilution of 1:100
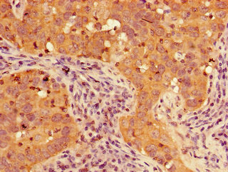
Immunohistochemistry of paraffin-embedded human lung cancer using CSB-PA889078LA01HU at dilution of 1:100
Immunofluorescent analysis of Hela cells using CSB-PA889078LA01HU at dilution of 1:100 and Alexa Fluor 488-congugated AffiniPure Goat Anti-Rabbit IgG(H+L)
TIGAR Antibodies
TIGAR for Homo sapiens (Human)
| 產品貨號 | 產品名稱 | 種屬反應性 | 應用類型 |
|---|---|---|---|
| CSB-PA202764 | TIGAR Antibody | Human | ELISA,IHC |
| CSB-PA162542 | TIGAR Antibody | Human | ELISA,WB,IHC |
| CSB-PA889078LA01HU | TIGAR Antibody | Human | ELISA, IHC, IF |
| CSB-PA889078LC01HU | TIGAR Antibody, FITC conjugated | Human | |
| CSB-PA889078LD01HU | TIGAR Antibody, Biotin conjugated | Human | ELISA |
TIGAR Proteins
TIGAR Proteins for Homo sapiens (Human)
| 產品貨號 | 產品名稱 | 來源 |
|---|---|---|
| CSB-YP889078HU CSB-EP889078HU CSB-BP889078HU CSB-MP889078HU CSB-EP889078HU-B |
Recombinant Human Probable fructose-2,6-bisphosphatase TIGAR (TIGAR) | Yeast E.coli Baculovirus Mammalian cell In Vivo Biotinylation in E.coli |
| CSB-AP000111HU | Recombinant Human Fructose-2,6-bisphosphatase TIGAR protein (TIGAR) | E.Coli |






