TGFA
TGFA全稱為轉化生長因子α,是一種表皮生長因子家族成員,常被稱為TGF-alpha或TDGF。該蛋白通過與細胞表面的表皮生長因子受體結合,觸發細胞增殖、分化及遷移,廣泛參與胚胎發育、組織修復等生理過程。TGF-α的異常表達與多種癌癥密切相關,例如乳腺癌、結直腸癌及肺癌中常見其水平升高,可能通過過度激活細胞生長信號導致腫瘤惡化。此外,該蛋白在炎癥性腸病、銀屑病等慢性炎癥疾病中也顯示出促炎作用。
近年來,針對TGF-α相關通路的藥物研發取得進展,例如EGFR抑制劑厄洛替尼、吉非替尼已用于非小細胞肺癌治療,單抗藥物西妥昔單抗則在結直腸癌中展現療效。部分研究正探索聯合用藥策略,例如將EGFR靶向藥與免疫檢查點抑制劑結合,以克服耐藥性問題。與此同時,科學家也在開發特異性更高的雙特異性抗體,試圖精準阻斷TGF-α與其受體的相互作用,相關臨床試驗已進入早期階段。
熱銷產品
TGFA Antibody (CSB-PA07294A0Rb)
驗證數據
Western blot
All lanes: TGFA antibody at 2µg/ml
Lane 1: EC109 whole cell lysate
Lane 2: 293T whole cell lysate
Secondary
Goat polyclonal to rabbit IgG at 1/15000 dilution
Predicted band size: 18, 17 kDa
Observed band size: 30, 35 kDa
Immunofluorescent analysis of Hela cells using CSB-PA07294A0Rb at dilution of 1:100 and Alexa Fluor 488-congugated AffiniPure Goat Anti-Rabbit IgG(H+L)
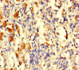
Immunohistochemistry of paraffin-embedded human melanoma using CSB-PA07294A0Rb at dilution of 1:100
Human transforming growth factor α,TGF-α ELISA Kit (CSB-E04724h)
驗證數據
貨號:CSB-E04724h
規格:96T/48T
靈敏度:5.48 pg/ml
檢測范圍:5.48 pg/ml-4000 pg/ml
These standard curves are provided for demonstration only. A standard curve should be generated for each set of samples assayed.
TGFA Antibodies
TGFA for Homo sapiens (Human)
| 產品貨號 | 產品名稱 | 種屬反應性 | 應用類型 |
|---|---|---|---|
| CSB-PA07294A0Rb | TGFA Antibody | Human | ELISA, WB, IHC, IF |
| CSB-PA799735 | TGFA Antibody | Human,Mouse,Rat | ELISA,WB,IHC |
| CSB-PA004275 | TGFA Antibody | Human,Mouse,Rat,Monkey | WB, IHC, ELISA |
| CSB-PA582653 | TGFA Antibody | Human,Mouse,Rat | ELISA,IHC |
TGFA Proteins
TGFA Proteins for Ovis aries (Sheep)
| 產品貨號 | 產品名稱 | 來源 |
|---|---|---|
| CSB-YP023445SH | Recombinant Sheep Protransforming growth factor alpha (TGFA), partial | Yeast |
| CSB-EP023445SH | Recombinant Sheep Protransforming growth factor alpha (TGFA), partial | E.coli |
| CSB-BP023445SH CSB-MP023445SH CSB-EP023445SH-B |
Recombinant Sheep Protransforming growth factor alpha (TGFA), partial | Baculovirus Mammalian cell In Vivo Biotinylation in E.coli |
TGFA Proteins for Oryctolagus cuniculus (Rabbit)
| 產品貨號 | 產品名稱 | 來源 |
|---|---|---|
| CSB-YP023445RB CSB-EP023445RB CSB-BP023445RB CSB-MP023445RB CSB-EP023445RB-B |
Recombinant Rabbit Transforming growth factor alpha (TGFA) | Yeast E.coli Baculovirus Mammalian cell In Vivo Biotinylation in E.coli |
TGFA Proteins for Mus musculus (Mouse)
| 產品貨號 | 產品名稱 | 來源 |
|---|---|---|
| CSB-YP023445MO CSB-EP023445MO CSB-BP023445MO CSB-MP023445MO CSB-EP023445MO-B |
Recombinant Mouse Protransforming growth factor alpha (Tgfa), partial | Yeast E.coli Baculovirus Mammalian cell In Vivo Biotinylation in E.coli |
TGFA Proteins for Macaca mulatta (Rhesus macaque)
| 產品貨號 | 產品名稱 | 來源 |
|---|---|---|
| CSB-YP023445MOW1 CSB-EP023445MOW1 CSB-BP023445MOW1 CSB-MP023445MOW1 CSB-EP023445MOW1-B |
Recombinant Macaca mulatta (Rhesus macaque) Protransforming growth factor alpha (TGFA), partial | Yeast E.coli Baculovirus Mammalian cell In Vivo Biotinylation in E.coli |
| CSB-CF023445MOW | Recombinant Macaca mulatta (Rhesus macaque) Protransforming growth factor alpha (TGFA) | in vitro E.coli expression system |
TGFA Proteins for Homo sapiens (Human)
| 產品貨號 | 產品名稱 | 來源 |
|---|---|---|
| CSB-YP023445HU1 CSB-EP023445HU1 CSB-BP023445HU1 CSB-MP023445HU1 CSB-EP023445HU1-B |
Recombinant Human Protransforming growth factor alpha (TGFA) | Yeast E.coli Baculovirus Mammalian cell In Vivo Biotinylation in E.coli |
| CSB-CF023445HU | Recombinant Human Protransforming growth factor alpha (TGFA) | in vitro E.coli expression system |
| CSB-EP072944h CSB-EP072944h-B |
Recombinant Human Protransforming growth factor alpha (TGFA) | E.coli In Vivo Biotinylation in E.coli |
TGFA Proteins for Rattus norvegicus (Rat)
| 產品貨號 | 產品名稱 | 來源 |
|---|---|---|
| CSB-YP360628RA CSB-BP360628RA CSB-MP360628RA CSB-EP360628RA-B |
Recombinant Rat Protransforming growth factor alpha (Tgfa), partial | Yeast Baculovirus Mammalian cell In Vivo Biotinylation in E.coli |
TGFA ELISA Kit
TGFA ELISA Kit for Homo sapiens (Human)
| 產品貨號 | 產品名稱 | 樣本類型 | 靈敏度 |
|---|---|---|---|
| CSB-E04724h | Human transforming growth factor α,TGF-α ELISA Kit | serum, plasma, tissue homogenates | 5.48 pg/ml |
TGFA ELISA Kit for Mus musculus (Mouse)
| 產品貨號 | 產品名稱 | 樣本類型 | 靈敏度 |
|---|---|---|---|
| CSB-E07290m | Mouse transforming growth factor α,TGF-α ELISA Kit | serum, plasma, cell culture supernates, tissue homogenates | 3.12 pg/mL |
TGFA ELISA Kit for Rattus norvegicus (Rat)
| 產品貨號 | 產品名稱 | 樣本類型 | 靈敏度 |
|---|---|---|---|
| CSB-E07289r | Rat transforming growth factor α,TGF-α ELISA Kit | serum, plasma, tissue homogenates | 1.95 pg/ml |






