TEK
TEK,全稱為酪氨酸蛋白激酶受體B,是一種屬于受體酪氨酸激酶家族的細胞表面蛋白。該蛋白在調節免疫細胞活性、血管生成和細胞增殖等方面發揮重要作用。TEK蛋白的常見別名包括Tie2、TYK2等。TEK蛋白通過與其他細胞因子和生長因子的相互作用,參與多種信號通路,如細胞因子信號通路、血管生成信號通路等。TEK蛋白的異常表達與多種疾病的發生發展密切相關,包括免疫疾病、腫瘤、血管疾病等。近年來,TEK蛋白成為藥物研發的重要靶點,多種靶向TEK蛋白的藥物已進入臨床試驗階段,用于治療免疫疾病、腫瘤等疾病。
熱銷產品
驗證數據
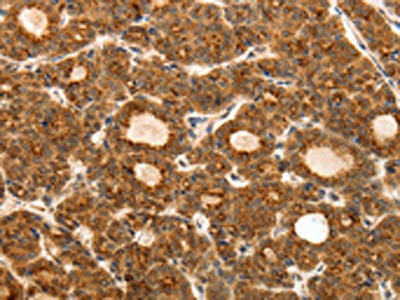
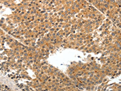
The image on the left is immunohistochemistry of paraffin-embedded Human liver cancer tissue using CSB-PA982820(TEK Antibody) at dilution 1/50, on the right is treated with synthetic peptide. (Original magnification: ×200)
The image on the left is immunohistochemistry of paraffin-embedded Human thyroid cancer tissue using CSB-PA982820(TEK Antibody) at dilution 1/50, on the right is treated with synthetic peptide. (Original magnification: ×200)
TEK Antibodies
TEK for Homo sapiens (Human)
| 產品貨號 | 產品名稱 | 種屬反應性 | 應用類型 |
|---|---|---|---|
| CSB-PA023375GA01HU | TEK Antibody | Human,Mouse,Rat | ELISA,WB |
| CSB-PA006341 | Phospho-TEK (Y992) Antibody | Human,Mouse | WB, ELISA |
| CSB-PA050234 | Phospho-TEK (Y1108) Antibody | Human,Mouse | WB, IF, ELISA |
| CSB-PA050235 | Phospho-TEK (Y1102) Antibody | Human,Mouse | IHC, ELISA |
| CSB-PA050236 | TEK Antibody | Human,Mouse | IHC, ELISA |
| CSB-PA050237 | TEK Antibody | Human,Mouse | WB, ELISA |
| CSB-PA982820 | TEK Antibody | Human,Mouse | ELISA,IHC |
| CSB-PA041300 | TEK Antibody | Human,Mouse | ELISA,IHC |
TEK Proteins
TEK Proteins for Bos taurus (Bovine)
| 產品貨號 | 產品名稱 | 來源 |
|---|---|---|
| CSB-YP023375BO CSB-EP023375BO CSB-BP023375BO CSB-MP023375BO CSB-EP023375BO-B |
Recombinant Bovine Angiopoietin-1 receptor (TEK), partial | Yeast E.coli Baculovirus Mammalian cell In Vivo Biotinylation in E.coli |






