SPTLC3
SPTLC3,即絲氨酸棕櫚酰轉移酶長鏈堿基亞基3,別名LCB3、SPT3、LCB3、LCB2B、SPT3、hLCB2b、SPTLC2L。SPTLC3是絲氨酸棕櫚酰轉移酶復合體的一個亞基,該復合體催化鞘脂生物合成中的限速步驟。該亞基代謝月桂酰輔酶A和肉豆蔻酰輔酶A,生成C14和C16鞘氨醇堿基。SPTLC3對于鞘脂的合成至關重要,鞘脂是細胞膜的重要組成部分,并參與多種細胞信號傳導過程,包括細胞凋亡、細胞增殖、細胞遷移和炎癥反應。異常的SPTLC3表達與多種疾病相關,包括心血管疾病、腫瘤和神經退行性疾病。
熱銷產品
SPTLC3 Antibody (CSB-PA865142LA01HU)
驗證數據
Western blot
All lanes: SPTLC3 antibody at 0.2µg/ml
Lane 1: Mouse kidney tissue
Lane 2: U87 whole cell lysate
Secondary
Goat polyclonal to rabbit IgG at 1/10000 dilution
Predicted band size: 63, 20 kDa
Observed band size: 63 kDa
Immunofluorescent analysis of HepG2 cells using CSB-PA865142LA01HU at dilution of 1:100 and Alexa Fluor 488-congugated AffiniPure Goat Anti-Rabbit IgG(H+L)
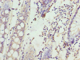
Immunohistochemistry of paraffin-embedded human colon cancer using CSB-PA865142LA01HU at dilution of 1:100
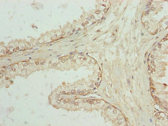
Immunohistochemistry of paraffin-embedded human prostate cancer using CSB-PA865142LA01HU at dilution of 1:100
SPTLC3 Antibodies
SPTLC3 for Homo sapiens (Human)
| 產品貨號 | 產品名稱 | 種屬反應性 | 應用類型 |
|---|---|---|---|
| CSB-PA865142LA01HU | SPTLC3 Antibody | Human, Mouse | ELISA, WB, IHC, IF |
| CSB-PA865142LB01HU | SPTLC3 Antibody, HRP conjugated | Human | ELISA |
| CSB-PA865142LC01HU | SPTLC3 Antibody, FITC conjugated | Human | |
| CSB-PA865142LD01HU | SPTLC3 Antibody, Biotin conjugated | Human | ELISA |
SPTLC3 Proteins
SPTLC3 Proteins for Homo sapiens (Human)
| 產品貨號 | 產品名稱 | 來源 |
|---|---|---|
| CSB-YP865142HU1 CSB-EP865142HU1 CSB-BP865142HU1 CSB-MP865142HU1 CSB-EP865142HU1-B |
Recombinant Human Serine palmitoyltransferase 3 (SPTLC3), partial | Yeast E.coli Baculovirus Mammalian cell In Vivo Biotinylation in E.coli |
| CSB-CF865142HU | Recombinant Human Serine palmitoyltransferase 3 (SPTLC3) | in vitro E.coli expression system |






