SORT1
SORT1,即分揀蛋白1,別名Sortilin、NT3、Gp95、NTR3、LDLCQ6,是一種跨膜蛋白,屬于VPS10相關sortilin蛋白家族。
SORT1在多個亞細胞區域發揮作用,包括高爾基體、內體、內質網和細胞膜,主要功能是作為分選受體,參與蛋白質的運輸和代謝。SORT1可通過各種途徑將蛋白質從高爾基體運輸到溶酶體和內體,并且與多種蛋白質的內化和轉運相關。
SORT1的表達水平可能影響心肌梗死的風險,并且與多種疾病相關,包括脂質代謝疾病、某些類型的癌癥和神經退行性疾病。 SORT1在調節膽固醇代謝、促進神經細胞凋亡以及可能影響胰島素響應等方面具有重要的生物學意義。
熱銷產品
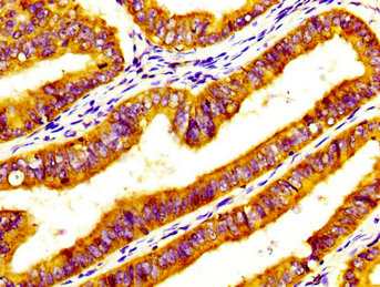
SORT1 Antibody (CSB-PA859102LA01HU)
驗證數據
IHC image of CSB-PA859102LA01HU diluted at 1:600 and staining in paraffin-embedded human endometrial cancer performed on a Leica BondTM system. After dewaxing and hydration, antigen retrieval was mediated by high pressure in a citrate buffer (pH 6.0). Section was blocked with 10% normal goat serum 30min at RT. Then primary antibody (1% BSA) was incubated at 4°C overnight. The primary is detected by a biotinylated secondary antibody and visualized using an HRP conjugated SP system.
IHC image of CSB-PA859102LA01HU diluted at 1:600 and staining in paraffin-embedded human brain tissue performed on a Leica BondTM system. After dewaxing and hydration, antigen retrieval was mediated by high pressure in a citrate buffer (pH 6.0). Section was blocked with 10% normal goat serum 30min at RT. Then primary antibody (1% BSA) was incubated at 4°C overnight. The primary is detected by a biotinylated secondary antibody and visualized using an HRP conjugated SP system.
Human Sortilin(SORT1) ELISA kit (CSB-EL022412HU)
驗證數據
貨號:CSB-EL022412HU
規格:96T/48T
靈敏度:11.72 pg/mL
檢測范圍:46.88 pg/mL-3000 pg/mL
These standard curves are provided for demonstration only. A standard curve should be generated for each set of samples assayed.
SORT1 Antibodies
SORT1 for Homo sapiens (Human)
| 產品貨號 | 產品名稱 | 種屬反應性 | 應用類型 |
|---|---|---|---|
| CSB-PA022412GA01HU | SORT1 Antibody | Human,Mouse,Rat | ELISA,WB,IHC |
| CSB-PA448728 | SORT1 Antibody | Human,Mouse,Rat | ELISA,WB,IHC |
| CSB-PA194090 | SORT1 Antibody | Human,Mouse,Rat | ELISA,IHC |
| CSB-PA859102LA01HU | SORT1 Antibody | Human | ELISA, IHC |
| CSB-PA859102LB01HU | SORT1 Antibody, HRP conjugated | Human | ELISA |
| CSB-PA859102LC01HU | SORT1 Antibody, FITC conjugated | Human | |
| CSB-PA859102LD01HU | SORT1 Antibody, Biotin conjugated | Human | ELISA |
SORT1 for Rattus norvegicus (Rat)
| 產品貨號 | 產品名稱 | 種屬反應性 | 應用類型 |
|---|---|---|---|
| CSB-PA022412LA01RA | Sort1 Antibody | Rat | ELISA |
| CSB-PA022412LB01RA | Sort1 Antibody, HRP conjugated | Rat | ELISA |
SORT1 Proteins
SORT1 Proteins for Rattus norvegicus (Rat)
| 產品貨號 | 產品名稱 | 來源 |
|---|---|---|
| CSB-YP022412RA | Recombinant Rat Sortilin (Sort1), partial | Yeast |
| CSB-EP022412RA | Recombinant Rat Sortilin (Sort1), partial | E.coli |
| CSB-BP022412RA CSB-MP022412RA CSB-EP022412RA-B |
Recombinant Rat Sortilin (Sort1), partial | Baculovirus Mammalian cell In Vivo Biotinylation in E.coli |
| CSB-EP022412RAa0 | Recombinant Rat Sortilin (Sort1), partial | E.coli |
SORT1 Proteins for Mus musculus (Mouse)
| 產品貨號 | 產品名稱 | 來源 |
|---|---|---|
| CSB-YP740787MO CSB-EP740787MO CSB-BP740787MO CSB-MP740787MO CSB-EP740787MO-B |
Recombinant Mouse Sortilin (Sort1), partial | Yeast E.coli Baculovirus Mammalian cell In Vivo Biotinylation in E.coli |
SORT1 Proteins for Danio rerio (Zebrafish) (Brachydanio rerio)
| 產品貨號 | 產品名稱 | 來源 |
|---|---|---|
| CSB-YP761235DIL CSB-EP761235DIL CSB-BP761235DIL CSB-MP761235DIL CSB-EP761235DIL-B |
Recombinant Danio rerio Sortilin (sort1), partial | Yeast E.coli Baculovirus Mammalian cell In Vivo Biotinylation in E.coli |
SORT1 Proteins for Homo sapiens (Human)
| 產品貨號 | 產品名稱 | 來源 |
|---|---|---|
| CSB-YP859102HU CSB-EP859102HU CSB-BP859102HU CSB-EP859102HU-B |
Recombinant Human Sortilin (SORT1), partial | Yeast E.coli Baculovirus In Vivo Biotinylation in E.coli |
SORT1 ELISA Kit
SORT1 ELISA Kit for Homo sapiens (Human)
| 產品貨號 | 產品名稱 | 樣本類型 | 靈敏度 |
|---|---|---|---|
| CSB-EL022412HU | Human Sortilin(SORT1) ELISA kit | serum, plasma, tissue homogenates, cell lysates | 11.72 pg/mL |
SORT1 ELISA Kit for Mus musculus (Mouse)
| 產品貨號 | 產品名稱 | 樣本類型 | 靈敏度 |
|---|---|---|---|
| CSB-EL022412MO | Mouse Sortilin(SORT1) ELISA kit | serum, plasma, tissue homogenates | 1.56 pg/mL |






