SOCS1
SOCS1,全稱為細胞因子信號轉導抑制因子1,也被稱為JAB、CIS1、SSI1等。它是一種負調控細胞因子信號通路的蛋白,主要通過與JAK激酶結合,抑制其活性,從而調節細胞因子信號通路。SOCS1在多種疾病中發揮作用,包括腫瘤、炎癥和自身免疫性疾病。例如,在肝癌中,SOCS1的表達與腫瘤的發生發展密切相關。目前,針對SOCS1的藥物研發正在積極推進,旨在開發新的治療方法,以抑制腫瘤的生長和轉移。
熱銷產品
Recombinant Human Suppressor of cytokine signaling 1 (SOCS1) (CSB-EP022388HU)
驗證數據
(Tris-Glycine gel) Discontinuous SDS-PAGE (reduced) with 5% enrichment gel and 15% separation gel.
Based on the SEQUEST from database of E.coli host and target protein, the LC-MS/MS Analysis result of CSB-EP022388HU could indicate that this peptide derived from E.coli-expressed Homo sapiens (Human) SOCS1.
Based on the SEQUEST from database of E.coli host and target protein, the LC-MS/MS Analysis result of CSB-EP022388HU could indicate that this peptide derived from E.coli-expressed Homo sapiens (Human) SOCS1.
SOCS1 Antibody (CSB-PA022388LA01HU)
驗證數據
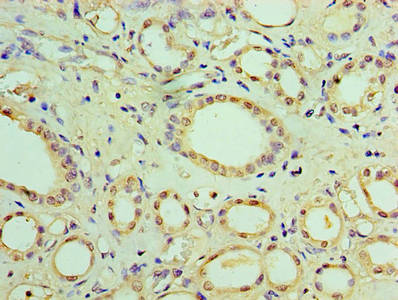
Immunohistochemistry of paraffin-embedded human kidney tissue using CSB-PA022388LA01HU at dilution of 1:100
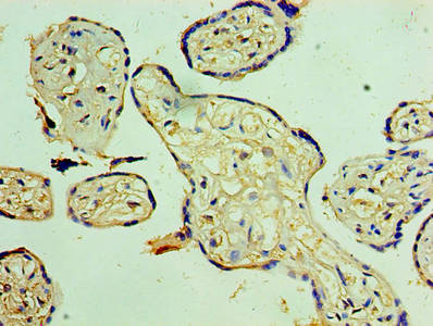
Immunohistochemistry of paraffin-embedded human placenta tissue using CSB-PA022388LA01HU at dilution of 1:100
SOCS1 Antibodies
SOCS1 for Homo sapiens (Human)
| 產品貨號 | 產品名稱 | 種屬反應性 | 應用類型 |
|---|---|---|---|
| CSB-PA022388LB01HU | SOCS1 Antibody, HRP conjugated | Human | ELISA |
| CSB-PA022388LA01HU | SOCS1 Antibody | Human | ELISA, IHC |
| CSB-PA004129 | SOCS1 Antibody | Human,Mouse,Rat | WB, ELISA |
| CSB-PA634030 | SOCS1 Antibody | Human,Mouse,Rat | ELISA,WB,IHC |
| CSB-PA277236 | SOCS1 Antibody | Human,Mouse,Rat | ELISA,WB,IHC |
SOCS1 Proteins
SOCS1 Proteins for Homo sapiens (Human)
| 產品貨號 | 產品名稱 | 來源 |
|---|---|---|
| CSB-YP022388HU | Recombinant Human Suppressor of cytokine signaling 1 (SOCS1) | Yeast |
| CSB-EP022388HU | Recombinant Human Suppressor of cytokine signaling 1 (SOCS1) | E.coli |
| CSB-BP022388HU CSB-MP022388HU CSB-EP022388HU-B |
Recombinant Human Suppressor of cytokine signaling 1 (SOCS1) | Baculovirus Mammalian cell In Vivo Biotinylation in E.coli |
SOCS1 Proteins for Mus musculus (Mouse)
| 產品貨號 | 產品名稱 | 來源 |
|---|---|---|
| CSB-YP022388MO CSB-BP022388MO CSB-MP022388MO CSB-EP022388MO-B |
Recombinant Mouse Suppressor of cytokine signaling 1 (Socs1) | Yeast Baculovirus Mammalian cell In Vivo Biotinylation in E.coli |
| CSB-EP022388MO | Recombinant Mouse Suppressor of cytokine signaling 1 (Socs1) | E.coli |
SOCS1 Proteins for Rattus norvegicus (Rat)
| 產品貨號 | 產品名稱 | 來源 |
|---|---|---|
| CSB-YP022388RA CSB-EP022388RA CSB-BP022388RA CSB-MP022388RA CSB-EP022388RA-B |
Recombinant Rat Suppressor of cytokine signaling 1 (Socs1) | Yeast E.coli Baculovirus Mammalian cell In Vivo Biotinylation in E.coli |
SOCS1 ELISA Kit
SOCS1 ELISA Kit for Mus musculus (Mouse)
| 產品貨號 | 產品名稱 | 樣本類型 | 靈敏度 |
|---|---|---|---|
| CSB-E17346m | Mouse suppressors of cytokine signaling 1(SOCS-1)ELISA Kit | serum, plasma, tissue homogenates | 15.6 pg/mL |






