SLC7A11
SLC7A11,即溶質載體家族7成員11,別名xCT、CCBR1。SLC7A11編碼的蛋白質是胱氨酸/谷氨酸反向轉運體(SystemXc-)的關鍵組成部分,主要負責將細胞外的胱氨酸運輸進細胞,以換取谷氨酸。這一過程對于維持細胞內谷胱甘肽(GSH)水平和保護細胞免受氧化應激誘導的細胞死亡至關重要。
SLC7A11不僅與細胞的營養依賴性和氧化應激反應有關,也是腫瘤治療的潛在靶點。SLC7A11在多種腫瘤中高表達,并與腫瘤的生長、預后、轉移與治療密切相關。SLC7A11的高表達增加了腫瘤細胞對氧化應激刺激的敏感性,并且可能通過抑制鐵死亡來促進腫瘤生長。
熱銷產品
Recombinant Human Cystine/glutamate transporter (SLC7A11) (Active) (CSB-CF892171HU(A4))
驗證數據
(Tris-Glycine gel) Discontinuous SDS-PAGE (reduced) with 5% enrichment gel and 15% separation gel.
Activity
Measured by its binding ability in a functional ELISA. Immobilized Human SLC7A11 at 2μg/mL can bind Anti-SLC7A11 recombinant antibody (CSB-RA892171MA1HU), the EC50 is 9.452-13.79 ng/mL.
Loaded Anti-Human SLC7A11 Antibody (CSB-RA892171MA1HU) on 96-Flat plate, can bind Human SLC7A11, with an affinity constant of <1 pM as determined in BLI assay (Gator Prime).
SLC7A11 Antibody (CSB-PA145393)
驗證數據
The image on the left is immunohistochemistry of paraffin-embedded Human brain tissue using CSB-PA145393(SLC7A11 Antibody) at dilution 1/35, on the right is treated with synthetic peptide. (Original magnification: ×200)
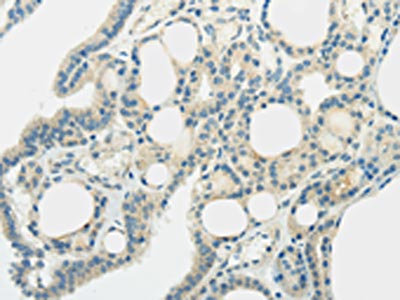
The image on the left is immunohistochemistry of paraffin-embedded Human thyroid cancer tissue using CSB-PA145393(SLC7A11 Antibody) at dilution 1/35, on the right is treated with synthetic peptide. (Original magnification: ×200)
Gel: 8%SDS-PAGE, Lysate: 40 μg, Lane 1-2: K562 and hepg2 cell, Primary antibody: CSB-PA145393(SLC7A11 Antibody) at dilution 1/300 dilution, Secondary antibody: Goat anti rabbit IgG at 1/8000 dilution, Exposure time: 30 seconds
SLC7A11 Antibodies
SLC7A11 for Homo sapiens (Human)
| 產品貨號 | 產品名稱 | 種屬反應性 | 應用類型 |
|---|---|---|---|
| CSB-PA145393 | SLC7A11 Antibody | Human,Mouse | ELISA,WB,IHC |
| CSB-RA892171MA1HU | SLC7A11 Recombinant Monoclonal Antibody | Human | ELISA |
SLC7A11 Proteins
SLC7A11 Proteins for Pongo abelii (Sumatran orangutan)
| 產品貨號 | 產品名稱 | 來源 |
|---|---|---|
| CSB-YP735762PYX CSB-EP735762PYX CSB-BP735762PYX CSB-MP735762PYX CSB-EP735762PYX-B |
Recombinant Pongo abelii Cystine/glutamate transporter (SLC7A11), partial | Yeast E.coli Baculovirus Mammalian cell In Vivo Biotinylation in E.coli |
SLC7A11 Proteins for Homo sapiens (Human)
| 產品貨號 | 產品名稱 | 來源 |
|---|---|---|
| CSB-YP892171HU CSB-EP892171HU CSB-BP892171HU CSB-MP892171HU CSB-EP892171HU-B |
Recombinant Human Cystine/glutamate transporter (SLC7A11), partial | Yeast E.coli Baculovirus Mammalian cell In Vivo Biotinylation in E.coli |
| CSB-CF892171HU(A4) | Recombinant Human Cystine/glutamate transporter (SLC7A11) (Active) | in vitro E.coli expression system |
| CSB-MP892171HU(A4) | Recombinant Human Cystine/glutamate transporter (SLC7A11)-VLPs | Mammalian cell |
SLC7A11 Proteins for Mus musculus (Mouse)
| 產品貨號 | 產品名稱 | 來源 |
|---|---|---|
| CSB-YP894813MO CSB-EP894813MO CSB-BP894813MO CSB-MP894813MO CSB-EP894813MO-B |
Recombinant Mouse Cystine/glutamate transporter (Slc7a11), partial | Yeast E.coli Baculovirus Mammalian cell In Vivo Biotinylation in E.coli |






