SLC6A4
SLC6A4,即鈉依賴性神經遞質轉運蛋白,別名5-羥色胺轉運體(5-HTT)、SERT等。SLC6A4是一種負責大腦中5-羥色胺(血清素)再攝取的跨膜蛋白,由人體細胞自身的基因編碼。它的作用機制主要是通過鈉離子和氯離子的共運輸,將5-羥色胺從突觸間隙中移回神經元,終止其信號傳導作用,從而調節情緒、睡眠、食欲等生理過程。SLC6A4的信號通路涉及到5-羥色胺能神經系統,其活性受到多種因素的調控,包括細胞內外的離子濃度、神經遞質濃度以及藥物作用等。SLC6A4在生物學上的意義非常廣泛,它不僅參與了情緒調節和認知功能,還與多種精神疾病的發生發展密切相關,如抑郁癥、焦慮癥、強迫癥等。SLC6A4基因的多態性與個體對抑郁情緒的易感性有關,且抗抑郁藥物的作用機制之一就是通過增加突觸間隙中的5-羥色胺濃度來實現。此外,SLC6A4的功能異常還可能與某些神經退行性疾病相關。因此,SLC6A4是精神藥理學研究和精神疾病治療中的一個重要靶點。
熱銷產品
SLC6A4 Recombinant Monoclonal Antibody (CSB-RA224413A0HU)
驗證數據
Western Blot
Positive WB detected in: U-87 whole cell lysate, 293T whole cell lysate, U-251 whole cell lysate, HepG2 whole cell lysate
All lanes: Serotonin transporter antibody at 1:1000
Secondary
Goat polyclonal to rabbit IgG at 1/50000 dilution
Predicted band size: 71, 75 kDa
Observed band size: 55 kDa
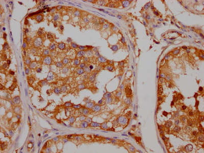
IHC image of CSB-RA224413A0HU diluted at 1:100 and staining in paraffin-embedded human testis tissue performed on a Leica BondTM system. After dewaxing and hydration, antigen retrieval was mediated by high pressure in a citrate buffer (pH 6.0). Section was blocked with 10% normal goat serum 30min at RT. Then primary antibody (1% BSA) was incubated at 4℃ overnight. The primary is detected by a Goat anti-rabbit IgG polymer labeled by HRP and visualized using 0.05% DAB.
SLC6A4 Antibodies
SLC6A4 for Homo sapiens (Human)
| 產品貨號 | 產品名稱 | 種屬反應性 | 應用類型 |
|---|---|---|---|
| CSB-PA550133 | SLC6A4 Antibody | Human,Mouse,Rat | ELISA,IHC |
| CSB-PA363564 | SLC6A4 Antibody | Human,Mouse,Rat | ELISA,IHC |
| CSB-RA224413A0HU | SLC6A4 Recombinant Monoclonal Antibody | Human | ELISA, WB, IHC |
SLC6A4 Proteins
SLC6A4 Proteins for Homo sapiens (Human)
| 產品貨號 | 產品名稱 | 來源 |
|---|---|---|
| CSB-YP021702HU CSB-EP021702HU CSB-BP021702HU CSB-MP021702HU CSB-EP021702HU-B |
Recombinant Human Sodium-dependent serotonin transporter (SLC6A4), partial | Yeast E.coli Baculovirus Mammalian cell In Vivo Biotinylation in E.coli |






