SLC5A5
SLC5A5,全名為溶質載體家族5成員5,也被稱為NIS(鈉/碘轉運蛋白)和TDH1(甲狀腺激素生成障礙1)。該蛋白主要在甲狀腺和哺乳期乳腺組織中吸收碘,對甲狀腺激素的生成至關重要。SLC5A5的突變與甲狀腺激素生成障礙1有關,可能導致甲狀腺功能減退癥。此外,SLC5A5還與甲狀腺腫大、 Pendred綜合征等疾病相關。在藥物研發方面,針對SLC5A5的藥物主要針對甲狀腺相關疾病的治療,目前尚處于研發階段。
熱銷產品
Recombinant Human Sodium/iodide cotransporter (SLC5A5), partial (CSB-EP835713HU)
驗證數據
(Tris-Glycine gel) Discontinuous SDS-PAGE (reduced) with 5% enrichment gel and 15% separation gel.
SLC5A5 Antibody (CSB-PA835713LA01HU)
驗證數據
Western Blot
Positive WB detected in: Rat stomach tissue
All lanes: SLC5A5 antibody at 3.7μg/ml
Secondary
Goat polyclonal to rabbit IgG at 1/50000 dilution
Predicted band size: 69 kDa
Observed band size: 69 kDa
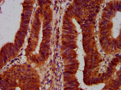
IHC image of CSB-PA835713LA01HU diluted at 1:500 and staining in paraffin-embedded human colon cancer performed on a Leica BondTM system. After dewaxing and hydration, antigen retrieval was mediated by high pressure in a citrate buffer (pH 6.0). Section was blocked with 10% normal goat serum 30min at RT. Then primary antibody (1% BSA) was incubated at 4°C overnight. The primary is detected by a biotinylated secondary antibody and visualized using an HRP conjugated SP system.
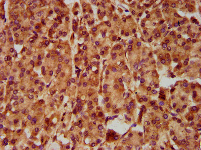
IHC image of CSB-PA835713LA01HU diluted at 1:500 and staining in paraffin-embedded human pancreatic cancer performed on a Leica BondTM system. After dewaxing and hydration, antigen retrieval was mediated by high pressure in a citrate buffer (pH 6.0). Section was blocked with 10% normal goat serum 30min at RT. Then primary antibody (1% BSA) was incubated at 4°C overnight. The primary is detected by a biotinylated secondary antibody and visualized using an HRP conjugated SP system.
Immunofluorescence staining of MCF-7 cells with CSB-PA835713LA01HU at 1:166, counter-stained with DAPI. The cells were fixed in 4% formaldehyde, permeabilized using 0.2% Triton X-100 and blocked in 10% normal Goat Serum. The cells were then incubated with the antibody overnight at 4°C. The secondary antibody was Alexa Fluor 488-congugated AffiniPure Goat Anti-Rabbit IgG(H+L).
SLC5A5 Antibodies
SLC5A5 for Homo sapiens (Human)
| 產品貨號 | 產品名稱 | 種屬反應性 | 應用類型 |
|---|---|---|---|
| CSB-PA276678 | SLC5A5 Antibody | Human | ELISA,WB,IHC |
| CSB-PA050912 | SLC5A5 Antibody | Human | ELISA,WB,IHC |
| CSB-PA835713LA01HU | SLC5A5 Antibody | Human, Rat | ELISA, WB, IHC, IF |
| CSB-PA835713LB01HU | SLC5A5 Antibody, HRP conjugated | Human | ELISA |
| CSB-PA835713LC01HU | SLC5A5 Antibody, FITC conjugated | Human | |
| CSB-PA835713LD01HU | SLC5A5 Antibody, Biotin conjugated | Human | ELISA |
SLC5A5 Proteins
SLC5A5 Proteins for Rattus norvegicus (Rat)
| 產品貨號 | 產品名稱 | 來源 |
|---|---|---|
| CSB-YP720383RA CSB-EP720383RA CSB-BP720383RA CSB-MP720383RA CSB-EP720383RA-B |
Recombinant Rat Sodium/iodide cotransporter (Slc5a5), partial | Yeast E.coli Baculovirus Mammalian cell In Vivo Biotinylation in E.coli |
SLC5A5 Proteins for Homo sapiens (Human)
| 產品貨號 | 產品名稱 | 來源 |
|---|---|---|
| CSB-YP835713HU CSB-BP835713HU CSB-MP835713HU CSB-EP835713HU-B |
Recombinant Human Sodium/iodide cotransporter (SLC5A5), partial | Yeast Baculovirus Mammalian cell In Vivo Biotinylation in E.coli |
| CSB-EP835713HU | Recombinant Human Sodium/iodide cotransporter (SLC5A5), partial | E.coli |
SLC5A5 Proteins for Mus musculus (Mouse)
| 產品貨號 | 產品名稱 | 來源 |
|---|---|---|
| CSB-YP859585MO CSB-EP859585MO CSB-BP859585MO CSB-MP859585MO CSB-EP859585MO-B |
Recombinant Mouse Sodium/iodide cotransporter (Slc5a5), partial | Yeast E.coli Baculovirus Mammalian cell In Vivo Biotinylation in E.coli |






