PTPRS
PTPRS蛋白全稱為酪氨酸蛋白磷酸酶受體S型,常被稱為PTPσ或SAP-1,屬于酪氨酸磷酸酶家族成員。PTPRS通過調控細胞表面受體活性,影響細胞間的通訊與黏附行為,尤其在神經突觸形成和免疫細胞活化中發揮"分子開關"作用。PTPRS表達異常與多發性硬化癥、阿爾茨海默病等神經系統退行性病變密切相關,在膠質母細胞瘤和乳腺癌等實體瘤中也被發現存在功能失調,可能通過干擾微環境穩態促進惡性進展。
針對PTPRS的藥物開發聚焦于其胞外結構域,已有單克隆抗體候選藥物在小鼠模型中顯示出改善神經損傷修復的效果。部分小分子抑制劑在類風濕性關節炎臨床前試驗中表現出調節T細胞過度活化的潛力。值得注意的是,該蛋白與神經營養因子信號存在交叉對話,這為開發神經退行性疾病聯合療法提供了新思路,但目前尚未有化合物進入二期臨床試驗階段。
熱銷產品
PTPRS Antibody (CSB-PA613393LA01HU)
驗證數據
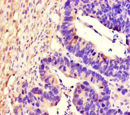
Immunohistochemistry of paraffin-embedded human ovarian cancer using CSB-PA613393LA01HU at dilution of 1:100
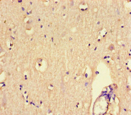
Immunohistochemistry of paraffin-embedded human brain tissue using CSB-PA613393LA01HU at dilution of 1:100
PTPRS Antibodies
PTPRS for Homo sapiens (Human)
| 產品貨號 | 產品名稱 | 種屬反應性 | 應用類型 |
|---|---|---|---|
| CSB-PA019064GA01HU | PTPRS Antibody | Human,Mouse,Rat | ELISA,WB,IHC,IP,FC |
| CSB-PA613393LA01HU | PTPRS Antibody | Human | ELISA, IHC |
| CSB-PA613393LB01HU | PTPRS Antibody, HRP conjugated | Human | ELISA |
| CSB-PA613393LC01HU | PTPRS Antibody, FITC conjugated | Human | |
| CSB-PA613393LD01HU | PTPRS Antibody, Biotin conjugated | Human | ELISA |
PTPRS Proteins
PTPRS Proteins for Homo sapiens (Human)
| 產品貨號 | 產品名稱 | 來源 |
|---|---|---|
| CSB-YP613393HU CSB-EP613393HU CSB-BP613393HU CSB-MP613393HU CSB-EP613393HU-B |
Recombinant Human Receptor-type tyrosine-protein phosphatase S (PTPRS), partial | Yeast E.coli Baculovirus Mammalian cell In Vivo Biotinylation in E.coli |






