PRMT5
PRMT5,即蛋白精氨酸甲基轉移酶5,它是一種在多種組織中廣泛表達的酶,參與蛋白質的翻譯后修飾。PRMT5的作用機制是通過催化特定蛋白質底物上的精氨酸殘基發生甲基化,從而調控蛋白質的結構、功能和穩定性。這種甲基化修飾在細胞信號傳導、基因表達調控、細胞周期控制等生物學過程中起著關鍵作用。PRMT5的異常活性與多種疾病相關,包括癌癥、神經退行性疾病和心血管疾病,被認為是藥物開發的潛在靶點。
熱銷產品
PRMT5 Recombinant Monoclonal Antibody (CSB-RA176962A0HU)
驗證數據
Western Blot
Positive WB detected in: Raji whole cell lysate, Hela whole cell lysate, HL60 whole cell lysate, Jurkat whole cell lysate, A549 whole cell lysate
All lanes: PRMT5 antibody at 1:2000
Secondary
Goat polyclonal to rabbit IgG at 1/50000 dilution
Predicted band size: 73, 72, 54, 68, 67 kDa
Observed band size: 73 kDa
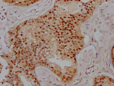
IHC image of CSB-RA176962A0HU diluted at 1:100 and staining in paraffin-embedded human prostate cancer performed on a Leica BondTM system. After dewaxing and hydration, antigen retrieval was mediated by high pressure in a citrate buffer (pH 6.0). Section was blocked with 10% normal goat serum 30min at RT. Then primary antibody (1% BSA) was incubated at 4℃ overnight. The primary is detected by a Goat anti-rabbit IgG polymer labeled by HRP and visualized using 0.05% DAB.
PRMT5 Antibodies
PRMT5 for Homo sapiens (Human)
| 產品貨號 | 產品名稱 | 種屬反應性 | 應用類型 |
|---|---|---|---|
| CSB-PA018734GA01HU | PRMT5 Antibody | Human,Mouse,Rat | ELISA,WB,IHC |
| CSB-PA077190 | PRMT5 Antibody | Human,Mouse,Rat | ELISA,WB,IHC |
| CSB-PA107290 | PRMT5 Antibody | Human,Mouse,Rat | ELISA,WB,IHC |
| CSB-PA018734LA01HU | PRMT5 Antibody | Human | ELISA, IHC, IF |
| CSB-PA018734LB01HU | PRMT5 Antibody, HRP conjugated | Human | ELISA |
| CSB-PA018734LC01HU | PRMT5 Antibody, FITC conjugated | Human | |
| CSB-RA176962A0HU | PRMT5 Recombinant Monoclonal Antibody | Human | ELISA, WB, IHC |
PRMT5 Proteins
PRMT5 Proteins for Homo sapiens (Human)
| 產品貨號 | 產品名稱 | 來源 |
|---|---|---|
| CSB-YP018734HU CSB-EP018734HU CSB-BP018734HU CSB-MP018734HU CSB-EP018734HU-B |
Recombinant Human Protein arginine N-methyltransferase 5 (PRMT5) | Yeast E.coli Baculovirus Mammalian cell In Vivo Biotinylation in E.coli |






