PRKACA
PRKACA,cAMP-dependent protein kinase catalytic subunit alpha,別名PKCA1、Cs-PKA等。PRKACA是蛋白激酶A(PKA)的α催化亞基,PKA是一種由cAMP激活的絲氨酸/蘇氨酸蛋白激酶,由兩個催化亞基和兩個調節亞基組成。在沒有cAMP時,PKA以鈍化復合體形式存在。cAMP與調節亞基結合后,導致調節亞基構象變化,使調節亞基和催化亞基解離,釋放出催化亞基,進而使細胞內某些蛋白的絲氨酸或蘇氨酸殘基磷酸化,改變這些蛋白的活性,影響相關基因的表達。PRKACA參與調節多種細胞功能,包括糖原、糖和脂質的代謝,以及晝夜睡眠/覺醒周期、快速眼動睡眠等生理過程。PRKACA的異?;钚耘c多種疾病相關,如腎上腺皮質腺瘤、充血性心力衰竭和原發性色素性結節性腎上腺皮質疾病。
熱銷產品
Recombinant Human cAMP-dependent protein kinase catalytic subunit alpha (PRKACA) (CSB-EP018688HU)
驗證數據
(Tris-Glycine gel) Discontinuous SDS-PAGE (reduced) with 5% enrichment gel and 15% separation gel.
PRKACA Antibody (CSB-PA018688LA01HU)
驗證數據
Western Blot
Positive WB detected in: Hela whole cell lysate, MCF-7 whole cell lysate, A549 whole cell lysate
All lanes: PRKACA antibody at 1:2000
Secondary
Goat polyclonal to rabbit IgG at 1/50000 dilution
Predicted band size: 41, 40 kDa
Observed band size: 41 kDa
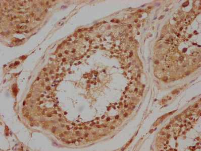
IHC image of CSB-PA018688LA01HU diluted at 1:200 and staining in paraffin-embedded human testis tissue performed on a Leica BondTM system. After dewaxing and hydration, antigen retrieval was mediated by high pressure in a citrate buffer (pH 6.0). Section was blocked with 10% normal goat serum 30min at RT. Then primary antibody (1% BSA) was incubated at 4°C overnight. The primary is detected by a biotinylated secondary antibody and visualized using an HRP conjugated SP system.
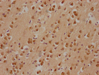
IHC image of CSB-PA018688LA01HU diluted at 1:200 and staining in paraffin-embedded human brain tissue performed on a Leica BondTM system. After dewaxing and hydration, antigen retrieval was mediated by high pressure in a citrate buffer (pH 6.0). Section was blocked with 10% normal goat serum 30min at RT. Then primary antibody (1% BSA) was incubated at 4°C overnight. The primary is detected by a biotinylated secondary antibody and visualized using an HRP conjugated SP system.
PRKACA Antibodies
PRKACA for Homo sapiens (Human)
| 產品貨號 | 產品名稱 | 種屬反應性 | 應用類型 |
|---|---|---|---|
| CSB-PA018688GA01HU | PRKACA Antibody | Human | ELISA,WB |
| CSB-PA157769 | Phospho-PRKACA (Thr197) Antibody | Human,Mouse,Rat | ELISA,WB,IHC,IF |
| CSB-PA235804 | PRKACA Antibody | Human,Mouse,Rat | ELISA,WB |
| CSB-PA030210 | Phospho-PRKACA (S338) Antibody | Human,Mouse,Rat | IHC, ELISA |
| CSB-PA018688LA01HU | PRKACA Antibody | Human | ELISA, WB, IHC |
| CSB-PA018688LB01HU | PRKACA Antibody, HRP conjugated | Human | ELISA |
| CSB-PA018688LC01HU | PRKACA Antibody, FITC conjugated | Human | |
| CSB-PA018688LD01HU | PRKACA Antibody, Biotin conjugated | Human | ELISA |
PRKACA Proteins
PRKACA Proteins for Homo sapiens (Human)
| 產品貨號 | 產品名稱 | 來源 |
|---|---|---|
| CSB-YP018688HU CSB-BP018688HU CSB-MP018688HU CSB-EP018688HU-B |
Recombinant Human cAMP-dependent protein kinase catalytic subunit alpha (PRKACA) | Yeast Baculovirus Mammalian cell In Vivo Biotinylation in E.coli |
| CSB-EP018688HU | Recombinant Human cAMP-dependent protein kinase catalytic subunit alpha (PRKACA) | E.coli |
| CSB-EP018688HUe2 | Recombinant Human cAMP-dependent protein kinase catalytic subunit alpha (PRKACA) | E.coli |
PRKACA Proteins for Rattus norvegicus (Rat)
| 產品貨號 | 產品名稱 | 來源 |
|---|---|---|
| CSB-YP018688RA CSB-EP018688RA CSB-BP018688RA CSB-MP018688RA CSB-EP018688RA-B |
Recombinant Rat cAMP-dependent protein kinase catalytic subunit alpha (Prkaca) | Yeast E.coli Baculovirus Mammalian cell In Vivo Biotinylation in E.coli |
PRKACA Proteins for Sus scrofa (Pig)
| 產品貨號 | 產品名稱 | 來源 |
|---|---|---|
| CSB-YP018688PI CSB-EP018688PI CSB-BP018688PI CSB-MP018688PI CSB-EP018688PI-B |
Recombinant Pig cAMP-dependent protein kinase catalytic subunit alpha (PRKACA) | Yeast E.coli Baculovirus Mammalian cell In Vivo Biotinylation in E.coli |
PRKACA Proteins for Mus musculus (Mouse)
| 產品貨號 | 產品名稱 | 來源 |
|---|---|---|
| CSB-YP018688MO CSB-EP018688MO CSB-BP018688MO CSB-MP018688MO CSB-EP018688MO-B |
Recombinant Mouse cAMP-dependent protein kinase catalytic subunit alpha (Prkaca) | Yeast E.coli Baculovirus Mammalian cell In Vivo Biotinylation in E.coli |
PRKACA Proteins for Bos taurus (Bovine)
| 產品貨號 | 產品名稱 | 來源 |
|---|---|---|
| CSB-YP018688BO CSB-EP018688BO CSB-BP018688BO CSB-MP018688BO CSB-EP018688BO-B |
Recombinant Bovine cAMP-dependent protein kinase catalytic subunit alpha (PRKACA) | Yeast E.coli Baculovirus Mammalian cell In Vivo Biotinylation in E.coli |
PRKACA Proteins for Cricetulus griseus (Chinese hamster) (Cricetulus barabensis griseus)
| 產品貨號 | 產品名稱 | 來源 |
|---|---|---|
| CSB-YP018688DXU CSB-EP018688DXU CSB-BP018688DXU CSB-MP018688DXU CSB-EP018688DXU-B |
Recombinant Cricetulus griseus cAMP-dependent protein kinase catalytic subunit alpha (PRKACA) | Yeast E.coli Baculovirus Mammalian cell In Vivo Biotinylation in E.coli |
PRKACA Proteins for Canis familiaris (Dog) (Canis lupus familiaris)
| 產品貨號 | 產品名稱 | 來源 |
|---|---|---|
| CSB-YP822648DO CSB-BP822648DO CSB-MP822648DO CSB-EP822648DO-B |
Recombinant Dog cAMP-dependent protein kinase catalytic subunit alpha (PRKACA) | Yeast Baculovirus Mammalian cell In Vivo Biotinylation in E.coli |
PRKACA Proteins for Ovis aries (Sheep)
| 產品貨號 | 產品名稱 | 來源 |
|---|---|---|
| CSB-YP865034SH CSB-EP865034SH CSB-BP865034SH CSB-MP865034SH CSB-EP865034SH-B |
Recombinant Sheep cAMP-dependent protein kinase catalytic subunit alpha (PRKACA) | Yeast E.coli Baculovirus Mammalian cell In Vivo Biotinylation in E.coli |
PRKACA Proteins for Canis lupus familiaris (Dog) (Canis familiaris)
| 產品貨號 | 產品名稱 | 來源 |
|---|---|---|
| CSB-EP822648DO | Recombinant Dog cAMP-dependent protein kinase catalytic subunit alpha (PRKACA) | E.coli |






