PNLIP
PNLIP,全稱為Pancreatic Lipase,即胰脂肪酶,是一種在脂肪代謝中發揮關鍵作用的酶。它屬于脂酶家族,主要存在于人體的胰腺中,負責消化食物中的脂肪,將其分解為更易于吸收的小分子。PNLIP在脂肪的消化、運輸和剪切過程中起著至關重要的作用,對維持人體的能量平衡和代謝健康至關重要。
PNLIP的異常活性與多種疾病相關。例如,PNLIP的缺乏可能導致脂肪吸收不良和脂質代謝紊亂,進而引發肥胖、糖尿病等代謝性疾病。此外,PNLIP還與一些遺傳性疾病相關,如脂蛋白脂酶缺乏癥和家族性高膽固醇血癥等。
由于PNLIP在脂肪代謝中的重要作用,它成為了藥物研發的一個重要靶點。目前,已有多種針對PNLIP的藥物被研發出來,用于治療肥胖、糖尿病等代謝性疾病。例如,奧利司他是一種常見的減肥藥,它通過抑制PNLIP的活性,減少脂肪的吸收,從而達到減肥的效果。此外,還有一些針對PNLIP的藥物正在研發中,用于治療其他與脂肪代謝相關的疾病。
熱銷產品
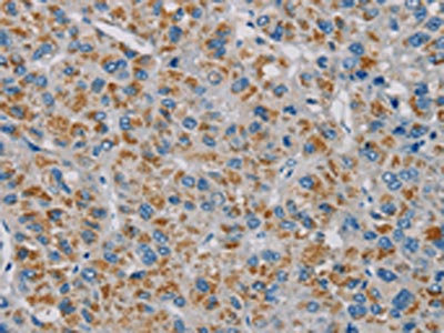
驗證數據
The image on the left is immunohistochemistry of paraffin-embedded Human liver cancer tissue using CSB-PA132878(PNLIP Antibody) at dilution 1/20, on the right is treated with fusion protein. (Original magnification: ×200)
Gel: 8%SDS-PAGE, Lysate: 40 μg, Lane: Mouse pancreas tissue, Primary antibody: CSB-PA132878(PNLIP Antibody) at dilution 1/400, Secondary antibody: Goat anti rabbit IgG at 1/8000 dilution, Exposure time: 1 second
PNLIP Antibodies
PNLIP for Homo sapiens (Human)
| 產品貨號 | 產品名稱 | 種屬反應性 | 應用類型 |
|---|---|---|---|
| CSB-PA018262GA01HU | PNLIP Antibody | Human,Mouse,Rat | ELISA,WB,IHC |
| CSB-PA944384 | PNLIP Antibody | Human,Mouse | ELISA,IHC |
| CSB-PA132878 | PNLIP Antibody | Human,Mouse | ELISA,WB,IHC |
| CSB-PA018262LA01HU | PNLIP Antibody | Human | ELISA, IHC |
| CSB-PA018262LB01HU | PNLIP Antibody, HRP conjugated | Human | ELISA |
| CSB-PA018262LC01HU | PNLIP Antibody, FITC conjugated | Human |
PNLIP Proteins
PNLIP Proteins for Homo sapiens (Human)
| 產品貨號 | 產品名稱 | 來源 |
|---|---|---|
| CSB-YP018262HU CSB-EP018262HU CSB-BP018262HU CSB-MP018262HU CSB-EP018262HU-B |
Recombinant Human Pancreatic triacylglycerol lipase (PNLIP) | Yeast E.coli Baculovirus Mammalian cell In Vivo Biotinylation in E.coli |






