PLK1
PLK1(Polo樣激酶1)是調控細胞分裂的關鍵蛋白,屬于絲氨酸/蘇氨酸激酶家族。該蛋白通過磷酸化下游靶點驅動有絲分裂進程,確保染色體精準分離和胞質分裂完成。研究發現,PLK1在多種惡性腫瘤中異常高表達,其活性失控會導致基因組不穩定性,促進腫瘤增殖與轉移,尤其在乳腺癌、肺癌和結直腸癌中與預后不良相關。針對這一靶點,全球已開發出BI 2536、Volasertib等小分子抑制劑,其中Volasertib聯合化療在急性髓系白血病II期試驗中顯示出生存期延長,但因心臟毒性未獲FDA批準。近年來研究者嘗試通過聯合用藥策略降低毒副作用,同時探索PLK1與PARP抑制劑在DNA損傷修復中的協同效應,為實體瘤治療開辟新方向。我國正大天晴等企業也在推進同類藥物的臨床試驗。
熱銷產品
Recombinant Human Serine/threonine-protein kinase PLK1 (PLK1) (CSB-BP018193HU)
驗證數據
(Tris-Glycine gel) Discontinuous SDS-PAGE (reduced) with 5% enrichment gel and 15% separation gel.
PLK1 Antibody (CSB-PA018193LA01HU)
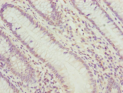
驗證數據
Immunohistochemistry of paraffin-embedded human colon cancer using CSB-PA018193LA01HU at dilution of 1:100
Immunofluorescence staining of A549 cells with CSB-PA018193LA01HU at 1:133, counter-stained with DAPI. The cells were fixed in 4% formaldehyde, permeabilized using 0.2% Triton X-100 and blocked in 10% normal Goat Serum. The cells were then incubated with the antibody overnight at 4°C. The secondary antibody was Alexa Fluor 488-congugated AffiniPure Goat Anti-Rabbit IgG(H+L).
PLK1 Antibodies
PLK1 for Homo sapiens (Human)
| 產品貨號 | 產品名稱 | 種屬反應性 | 應用類型 |
|---|---|---|---|
| CSB-PA004668 | PLK1 Antibody | Human,Mouse,Rat | WB, ELISA |
| CSB-PA030086 | Phospho-PLK1 (S137) Antibody | Human,Mouse,Rat | WB, ELISA |
| CSB-PA030087 | Phospho-PLK1 (T210) Antibody | Human,Mouse,Rat | WB, IHC, ELISA |
| CSB-PA030088 | PLK1 Antibody | Human,Mouse,Rat | WB, IHC, IF, ELISA |
| CSB-PA285585 | PLK1 Antibody | Human,Mouse,Rat | ELISA,IHC |
| CSB-PA107067 | PLK1 Antibody | Human,Mouse,Rat | ELISA,IHC |
| CSB-PA018193LA01HU | PLK1 Antibody | Human | ELISA, IHC, IF |
| CSB-PA018193LB01HU | PLK1 Antibody, HRP conjugated | Human | ELISA |
| CSB-PA018193LC01HU | PLK1 Antibody, FITC conjugated | Human | |
| CSB-PA018193LD01HU | PLK1 Antibody, Biotin conjugated | Human | ELISA |
PLK1 Proteins
PLK1 Proteins for Homo sapiens (Human)
| 產品貨號 | 產品名稱 | 來源 |
|---|---|---|
| CSB-YP018193HU CSB-EP018193HU CSB-MP018193HU CSB-EP018193HU-B |
Recombinant Human Serine/threonine-protein kinase PLK1 (PLK1) | Yeast E.coli Mammalian cell In Vivo Biotinylation in E.coli |
| CSB-BP018193HU | Recombinant Human Serine/threonine-protein kinase PLK1 (PLK1) | Baculovirus |
PLK1 Proteins for Xenopus laevis (African clawed frog)
| 產品貨號 | 產品名稱 | 來源 |
|---|---|---|
| CSB-YP018193XBE CSB-EP018193XBE CSB-BP018193XBE CSB-MP018193XBE CSB-EP018193XBE-B |
Recombinant Xenopus laevis Serine/threonine-protein kinase PLK1 (plk1) | Yeast E.coli Baculovirus Mammalian cell In Vivo Biotinylation in E.coli |
PLK1 Proteins for Xenopus tropicalis (Western clawed frog) (Silurana tropicalis)
| 產品貨號 | 產品名稱 | 來源 |
|---|---|---|
| CSB-YP018193XBF CSB-EP018193XBF CSB-BP018193XBF CSB-MP018193XBF CSB-EP018193XBF-B |
Recombinant Xenopus tropicalis Serine/threonine-protein kinase PLK1 (plk1), partial | Yeast E.coli Baculovirus Mammalian cell In Vivo Biotinylation in E.coli |
PLK1 Proteins for Bos taurus (Bovine)
| 產品貨號 | 產品名稱 | 來源 |
|---|---|---|
| CSB-YP651904BO CSB-EP651904BO CSB-BP651904BO CSB-MP651904BO CSB-EP651904BO-B |
Recombinant Bovine Serine/threonine-protein kinase PLK1 (PLK1), partial | Yeast E.coli Baculovirus Mammalian cell In Vivo Biotinylation in E.coli |
PLK1 Proteins for Rattus norvegicus (Rat)
| 產品貨號 | 產品名稱 | 來源 |
|---|---|---|
| CSB-YP726805RA CSB-EP726805RA CSB-BP726805RA CSB-MP726805RA CSB-EP726805RA-B |
Recombinant Rat Serine/threonine-protein kinase PLK1 (Plk1) | Yeast E.coli Baculovirus Mammalian cell In Vivo Biotinylation in E.coli |






