PLA2R1
PLA2R1的中文全稱是,即磷脂酶A2受體1。別名PLA2R、PLA2-R、PLA2IR、CLEC13C、PLA2G1R。PLA2R1是一種Ⅰ型跨細胞膜受體,屬于甘露糖受體家族的成員之一。它主要分布在腎小球的足細胞膜上,在特發性膜性腎病(IMN)中,約70%的患者體內可檢測到針對PLA2R1的抗體,這些抗體與PLA2R1蛋白結合,影響了PLA2R1蛋白與可溶性磷脂酶A2的結合,導致足細胞發生病變。PLA2R1的作用機制涉及激活JAK2激酶,促進活性氧(ROS)的積累,這些活性氧誘導細胞死亡和衰老,從而發揮抑制腫瘤的作用。在多種癌癥中,PLA2R1的表達降低,并且已知的致癌基因如HIF2α和c-MYC可以抑制其表達。PLA2R1在白血病、腎癌和乳腺癌細胞中通過啟動子甲基化的方式被抑制,這是癌細胞中抑制腫瘤抑制基因表達的一種經典方式。
熱銷產品
Recombinant Human Secretory phospholipase A2 receptor (PLA2R1), partial (CSB-BP623780HU)
驗證數據
(Tris-Glycine gel) Discontinuous SDS-PAGE (reduced) with 5% enrichment gel and 15% separation gel.
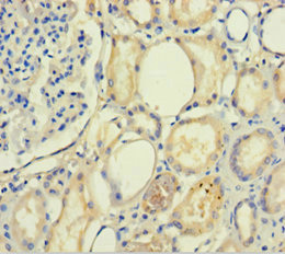
PLA2R1 Antibody (CSB-PA623780LA01HU)
驗證數據
Immunohistochemistry of paraffin-embedded human kidney tissue using CSB-PA623780LA01HU at dilution of 1:100
PLA2R1 Antibodies
PLA2R1 for Homo sapiens (Human)
| 產品貨號 | 產品名稱 | 種屬反應性 | 應用類型 |
|---|---|---|---|
| CSB-PA623780LA01HU | PLA2R1 Antibody | Human | ELISA, IHC |
| CSB-PA623780LB01HU | PLA2R1 Antibody, HRP conjugated | Human | ELISA |
| CSB-PA623780LC01HU | PLA2R1 Antibody, FITC conjugated | Human | |
| CSB-PA623780LD01HU | PLA2R1 Antibody, Biotin conjugated | Human | ELISA |
| CSB-PA623780ESR1HU | PLA2R1 Antibody | Human | ELISA, WB |
PLA2R1 Proteins
PLA2R1 Proteins for Homo sapiens (Human)
| 產品貨號 | 產品名稱 | 來源 |
|---|---|---|
| CSB-YP623780HU | Recombinant Human Secretory phospholipase A2 receptor (PLA2R1), partial | Yeast |
| CSB-EP623780HU | Recombinant Human Secretory phospholipase A2 receptor (PLA2R1), partial | E.coli |
| CSB-MP623780HU | Recombinant Human Secretory phospholipase A2 receptor (PLA2R1), partial | Mammalian cell |
| CSB-EP623780HU-B |
Recombinant Human Secretory phospholipase A2 receptor (PLA2R1), partial | In Vivo Biotinylation in E.coli |
| CSB-BP623780HU | Recombinant Human Secretory phospholipase A2 receptor (PLA2R1), partial | Baculovirus |
PLA2R1 ELISA Kit
PLA2R1 ELISA Kit for Homo sapiens (Human)
| 產品貨號 | 產品名稱 | 樣本類型 | 靈敏度 |
|---|---|---|---|
| CSB-E13155h | Human phospholipase A2 receptor 1, 180kDa (PLA2R1) ELISA kit | serum, plasma, tissue homogenates | 0.027 ng/ml |






