PIWIL1
PIWIL1,全稱為PIWI樣蛋白1,也被稱為人腫瘤睪丸抗原(HIWI)。該蛋白屬于Argonaute蛋白家族的PIWI亞家族,主要在人體組織中表達,包括前列腺、卵巢、腦、肝臟、心臟、腎臟和骨骼肌等。PIWIL1在干細胞自我更新、RNA干擾中發揮重要作用,并影響癌細胞增殖。研究發現,PIWIL1在多種腫瘤組織中表達異常,如肝癌、胃癌、胰腺癌等,其表達水平與腫瘤的分期和患者的預后密切相關。PIWIL1的高表達預示患者預后較差,因此,PIWIL1可能成為腫瘤診斷和治療的潛在靶點。目前,針對PIWIL1的藥物研發正在逐步推進,有望為腫瘤患者帶來新的治療選擇。
熱銷產品
PIWIL1 Antibody (CSB-PA176370)
驗證數據
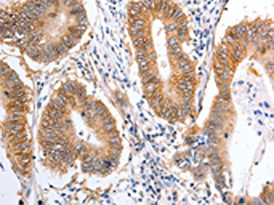
The image on the left is immunohistochemistry of paraffin-embedded Human colon cancer tissue using CSB-PA176370(PIWIL1 Antibody) at dilution 1/25, on the right is treated with fusion protein. (Original magnification: ×200)
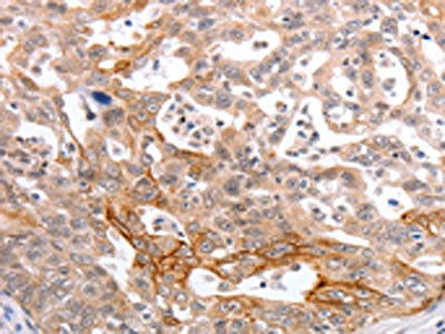
The image on the left is immunohistochemistry of paraffin-embedded Human ovarian cancer tissue using CSB-PA176370(PIWIL1 Antibody) at dilution 1/25, on the right is treated with fusion protein. (Original magnification: ×200)
PIWIL1 Antibodies
PIWIL1 for Homo sapiens (Human)
| 產品貨號 | 產品名稱 | 種屬反應性 | 應用類型 |
|---|---|---|---|
| CSB-PA571908 | PIWIL1 Antibody | Human,Mouse | ELISA,IHC |
| CSB-PA176370 | PIWIL1 Antibody | Human,Mouse | ELISA,IHC |
| CSB-PA846642ESR1HU | PIWIL1 Antibody | Human | ELISA, IHC |
PIWIL1 Proteins
PIWIL1 Proteins for Homo sapiens (Human)
| 產品貨號 | 產品名稱 | 來源 |
|---|---|---|
| CSB-YP846642HU CSB-EP846642HU CSB-BP846642HU CSB-MP846642HU CSB-EP846642HU-B |
Recombinant Human Piwi-like protein 1 (PIWIL1), partial | Yeast E.coli Baculovirus Mammalian cell In Vivo Biotinylation in E.coli |






