PHB2
PHB2,全稱為Prohibitin-2,也被稱為BAP、REA、p22、hBAP、Bap37、BCAP37、PNAS-141等。該蛋白在細胞膜、線粒體內膜、細胞核中均有分布,參與細胞增殖、分化、衰老、凋亡等多種生物學進程。PHB2蛋白與PHB蛋白形成大型環狀復合物,穩定線粒體呼吸酶,維持線粒體完整性,對線粒體形態發生、神經元存活和正常壽命至關重要。此外,PHB2蛋白還參與調控細胞因子和性激素的轉錄,以及IGFBP6誘導的細胞遷移。研究表明,PHB2蛋白在平滑肌細胞中表達,能夠抑制血管損傷后新生內膜的形成。PHB2蛋白通過與hnRNPA1的RGG-box結構域結合,抑制hnRNPA1對pre-pkm mRNA的剪切,從而維持血管平滑肌細胞收縮表型。此外,PHB2蛋白還參與調控線粒體自噬,通過與PINK1-PRKN/Parkin依賴性的線粒體自噬途徑相互作用,促進腫瘤細胞的生存。目前,針對PHB2蛋白的藥物研發尚處于探索階段,但其在疾病中的作用機制為相關疾病的治療提供了新的思路和靶點。
熱銷產品
Recombinant Human Prohibitin-2 (PHB2) (CSB-EP859937HU)
驗證數據
(Tris-Glycine gel) Discontinuous SDS-PAGE (reduced) with 5% enrichment gel and 15% separation gel.
PHB2 Antibody (CSB-PA859937ESR2HU)
驗證數據
Western blot
All lanes: PHB2 antibody at 3μg/ml
Lane 1: Hela whole cell lysate
Lane 2: K562 whole cell lysate
Lane 3: MCF-7 whole cell lysate
Secondary
Goat polyclonal to rabbit IgG at 1/10000 dilution
Predicted band size: 34, 30 kDa
Observed band size: 34 kDa
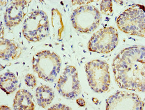
Immunohistochemistry of paraffin-embedded human breast cancer using CSB-PA859937ESR2HU at dilution of 1:100
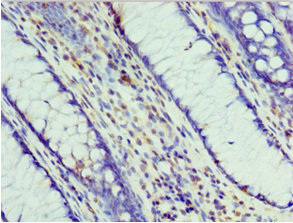
Immunohistochemistry of paraffin-embedded human colon cancer using CSB-PA859937ESR2HU at dilution of 1:100
PHB2 Antibodies
PHB2 for Homo sapiens (Human)
| 產品貨號 | 產品名稱 | 種屬反應性 | 應用類型 |
|---|---|---|---|
| CSB-PA017886GA01HU | PHB2 Antibody | Human,Mouse,Rat | ELISA,WB,IHC |
| CSB-PA859937ESR2HU | PHB2 Antibody | Human | ELISA, WB, IHC |
PHB2 Proteins
PHB2 Proteins for Homo sapiens (Human)
| 產品貨號 | 產品名稱 | 來源 |
|---|---|---|
| CSB-YP859937HU CSB-BP859937HU CSB-MP859937HU CSB-EP859937HU-B |
Recombinant Human Prohibitin-2 (PHB2) | Yeast Baculovirus Mammalian cell In Vivo Biotinylation in E.coli |
| CSB-EP859937HU | Recombinant Human Prohibitin-2 (PHB2) | E.coli |






