NPR3
NPR3 ,全稱為 Atrial natriuretic peptide clearance receptor,是一種參與調節利尿、血壓和骨骼發育的蛋白質。它對心房利鈉肽(NPPA/ANP)、腦利鈉肽(NPPB/BNP)和 C 型利鈉肽(NPPC/CNP)表現出相似的親和力,可能作為這些利鈉肽的清除受體,從而調節它們的局部濃度和效果。NPR3 蛋白在人體內發揮著重要作用,與多種生理功能密切相關。
在疾病方面,NPR3 蛋白與心房利鈉肽相關疾病、腦利鈉肽相關疾病以及 C 型利鈉肽相關疾病的發生發展有關。此外,NPR3 蛋白還與代謝功能障礙相關脂肪性肝炎、心血管疾病、阿爾茲海默癥、帕金森病等疾病的發生發展有關。在藥物研發方面,針對 NPR3 蛋白的藥物研發正在積極開展,例如司美格魯肽、替爾泊肽等藥物已經獲批上市,用于治療 II 型糖尿病、肥胖等疾病。未來,針對 NPR3 蛋白的藥物研發將繼續推進,為更多疾病的治療提供新的選擇。
熱銷產品
Recombinant Human Atrial natriuretic peptide receptor 3 (NPR3), partial (CSB-YP016025HU1f3)
驗證數據
(Tris-Glycine gel) Discontinuous SDS-PAGE (reduced) with 5% enrichment gel and 15% separation gel.
NPR3 Antibody (CSB-PA016025LA01HU)
驗證數據
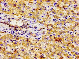
Immunohistochemistry of paraffin-embedded human liver cancer using CSB-PA016025LA01HU at dilution of 1:100
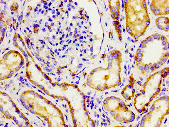
Immunohistochemistry of paraffin-embedded human kidney tissue using CSB-PA016025LA01HU at dilution of 1:100
NPR3 Antibodies
NPR3 for Homo sapiens (Human)
| 產品貨號 | 產品名稱 | 種屬反應性 | 應用類型 |
|---|---|---|---|
| CSB-PA016025LA01HU | NPR3 Antibody | Human | ELISA, IHC |
| CSB-PA016025LC01HU | NPR3 Antibody, FITC conjugated | Human | |
| CSB-PA016025LD01HU | NPR3 Antibody, Biotin conjugated | Human | ELISA |
NPR3 Proteins
NPR3 Proteins for Homo sapiens (Human)
| 產品貨號 | 產品名稱 | 來源 |
|---|---|---|
| CSB-YP016025HU1 CSB-BP016025HU1 CSB-EP016025HU1-B |
Recombinant Human Atrial natriuretic peptide receptor 3 (NPR3), partial | Yeast Baculovirus In Vivo Biotinylation in E.coli |
| CSB-CF016025HU | Recombinant Human Atrial natriuretic peptide receptor 3 (NPR3) | in vitro E.coli expression system |
| CSB-EP016025HU1 | Recombinant Human Atrial natriuretic peptide receptor 3 (NPR3), partial | E.coli |
| CSB-YP016025HU1f3 | Recombinant Human Atrial natriuretic peptide receptor 3 (NPR3), partial | Yeast |
| CSB-EP016025HU1c7 | Recombinant Human Atrial natriuretic peptide receptor 3 (NPR3), partial | E.coli |
| CSB-MP016025HU1 | Recombinant Human Atrial natriuretic peptide receptor 3 (NPR3), Partial | Mammalian cell |
| CSB-EP016025HU2 | Recombinant Human Atrial natriuretic peptide receptor 3 (NPR3), partial | E.coli |






