NNMT
NNMT,全稱煙酰胺-N-甲基轉移酶,是一種參與煙酰胺代謝的酶。它能夠催化煙酰胺甲基化,生成1-甲基煙酰胺,從而影響細胞內的甲基供體水平。NNMT在多種細胞中表達,包括腫瘤細胞和癌癥相關成纖維細胞。研究表明,NNMT的表達水平與多種癌癥的發生發展密切相關,包括胃癌、卵巢癌、皮膚癌、腸癌和胰腺癌等。NNMT的高表達往往與癌癥的進展和不良預后相關。
NNMT的作用機制較為復雜,它不僅參與煙酰胺代謝,還與細胞表觀遺傳學修飾和細胞信號傳導相關。NNMT能夠影響組蛋白甲基化,進而調控基因表達。此外,NNMT還與Rho GTPases循環、細胞周期相關蛋白及轉錄因子等信號通路相關,參與細胞的增殖、侵襲和轉移等過程。
由于NNMT在癌癥發生發展中的作用,它成為了一個潛在的抗癌藥物靶點。目前,已有研究表明,NNMT抑制劑能夠抑制腫瘤細胞的增殖和轉移,并增強化療藥物的敏感性。例如,JBSNF-000088是一種NNMT抑制劑,它能夠顯著增強藥物敏感性,并抑制腫瘤細胞的生長和轉移。此外,還有研究表明,NNMT抑制劑能夠逆轉腫瘤免疫抑制狀態,提升T細胞的攻擊能力,為癌癥免疫治療提供新的策略。
熱銷產品
Recombinant Human Nicotinamide N-methyltransferase (NNMT) (CSB-EP015906HU)
驗證數據
(Tris-Glycine gel) Discontinuous SDS-PAGE (reduced) with 5% enrichment gel and 15% separation gel.
NNMT Antibody (CSB-PA015906DSR2HU)
驗證數據
Western blot
All lanes: NNMT antibody at 2.47µg/ml
Lane 1: HepG2 whole cell lysate
Lane 2: Hela whole cell lysate
Lane 3: A549 whole cell lysate
Secondary
Goat polyclonal to rabbit IgG at 1/10000 dilution
Predicted band size: 30 kDa
Observed band size: 30 kDa
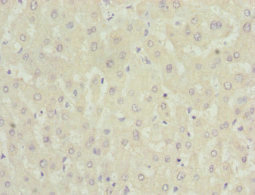
Immunohistochemistry of paraffin-embedded human liver tissue using CSB-PA015906DSR2HU at dilution of 1:100
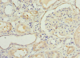
Immunohistochemistry of paraffin-embedded human kidney tissue using CSB-PA015906DSR2HU at dilution of 1:100
NNMT Antibodies
NNMT for Homo sapiens (Human)
| 產品貨號 | 產品名稱 | 種屬反應性 | 應用類型 |
|---|---|---|---|
| CSB-PA015906GA01HU | NNMT Antibody | Human,Mouse,Rat | ELISA,WB |
| CSB-PA015906DSR2HU | NNMT Antibody | Human | ELISA, WB, IHC |
| CSB-PA015906LA01HU | NNMT Antibody | Human | ELISA, IF |
| CSB-PA015906LB01HU | NNMT Antibody, HRP conjugated | Human | ELISA |
| CSB-PA015906LC01HU | NNMT Antibody, FITC conjugated | Human | |
| CSB-PA015906LD01HU | NNMT Antibody, Biotin conjugated | Human | ELISA |
NNMT Proteins
NNMT Proteins for Homo sapiens (Human)
| 產品貨號 | 產品名稱 | 來源 |
|---|---|---|
| CSB-YP015906HU CSB-BP015906HU CSB-MP015906HU CSB-EP015906HU-B |
Recombinant Human Nicotinamide N-methyltransferase (NNMT) | Yeast Baculovirus Mammalian cell In Vivo Biotinylation in E.coli |
| CSB-EP015906HU | Recombinant Human Nicotinamide N-methyltransferase (NNMT) | E.coli |






