NLRX1
NLRX1,全稱為NLR family member X1,也被稱為NOD5、NOD9、NLR family, X1、DLNB26、CLR11.3。該蛋白屬于NLRP家族成員,是免疫系統的重要調節因子,主要定位于外 mitochondrial membrane。NLRX1蛋白在多種生理過程中發揮重要作用,包括調節炎癥反應、抗病毒免疫應答、自噬、細胞死亡等。研究表明,NLRX1蛋白能夠調控NF-κB信號通路和Ⅰ型干擾素生成,調節活性氧的產生,參與自噬、細胞死亡和固有免疫反應,并影響JNK和MAPK途徑。NLRX1蛋白與呼吸道病毒感染性疾病、慢性阻塞性肺疾病、阻塞型睡眠呼吸暫停低通氣綜合征和肺部腫瘤等疾病的發生、發展密切相關。目前,針對NLRX1蛋白的藥物研發尚處于起步階段,但已有研究表明,通過調控NLRX1蛋白的表達或活性,有望為上述疾病的治療提供新的策略。
熱銷產品
驗證數據
Western Blot analysis of HEPG2 Hela cells using NLRX1 Polyclonal Antibody diluted at 1:1000. Secondary antibody was diluted at 1:20000
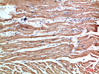
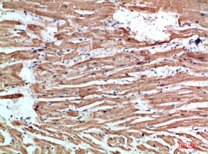
Immunohistochemical analysis of paraffin-embedded human-heart, antibody was diluted at 1:200
Immunohistochemical analysis of paraffin-embedded human-heart, antibody was diluted at 1:200
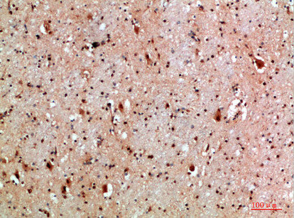
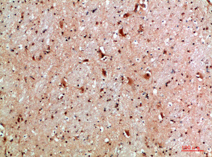
Immunohistochemical analysis of paraffin-embedded human-brain, antibody was diluted at 1:200
Immunohistochemical analysis of paraffin-embedded human-brain, antibody was diluted at 1:200
NLRX1 Antibodies
NLRX1 for Homo sapiens (Human)
| 產品貨號 | 產品名稱 | 種屬反應性 | 應用類型 |
|---|---|---|---|
| CSB-PA015878GA01HU | NLRX1 Antibody | Human,Mouse,Rat | ELISA,WB,IHC,IF |
| CSB-PA770306 | NLRX1 Antibody | Human,Mouse,Rat | WB,ELISA |
| CSB-PA015878LA01HU | NLRX1 Antibody | Human | ELISA, IHC |
| CSB-PA015878LB01HU | NLRX1 Antibody, HRP conjugated | Human | ELISA |
| CSB-PA015878LC01HU | NLRX1 Antibody, FITC conjugated | Human | |
| CSB-PA015878LD01HU | NLRX1 Antibody, Biotin conjugated | Human | ELISA |
NLRX1 Proteins
NLRX1 Proteins for Rattus norvegicus (Rat)
| 產品貨號 | 產品名稱 | 來源 |
|---|---|---|
| CSB-YP015878RA CSB-EP015878RA CSB-BP015878RA CSB-MP015878RA CSB-EP015878RA-B |
Recombinant Rat NLR family member X1 (Nlrx1), partial | Yeast E.coli Baculovirus Mammalian cell In Vivo Biotinylation in E.coli |
NLRX1 Proteins for Homo sapiens (Human)
| 產品貨號 | 產品名稱 | 來源 |
|---|---|---|
| CSB-YP015878HU CSB-EP015878HU CSB-BP015878HU CSB-MP015878HU CSB-EP015878HU-B |
Recombinant Human NLR family member X1 (NLRX1), partial | Yeast E.coli Baculovirus Mammalian cell In Vivo Biotinylation in E.coli |
NLRX1 Proteins for Mus musculus (Mouse)
| 產品貨號 | 產品名稱 | 來源 |
|---|---|---|
| CSB-YP015878MO CSB-EP015878MO CSB-BP015878MO CSB-MP015878MO CSB-EP015878MO-B |
Recombinant Mouse NLR family member X1 (Nlrx1), partial | Yeast E.coli Baculovirus Mammalian cell In Vivo Biotinylation in E.coli |






