NGFR
NGFR,全稱為神經生長因子受體,是一種重要的跨膜低親和力受體。它也被稱為CD271、p75NTR、TNFRSF16等。NGFR在神經系統中發揮關鍵作用,參與神經元的生長、發育和存活。此外,NGFR還與多種疾病相關,如神經鞘瘤、乳腺癌和黑色素瘤等。近年來,NGFR在藥物研發中也引起了廣泛關注,研究人員正在探索針對NGFR的藥物,以治療相關疾病。
熱銷產品
NGFR Antibody (CSB-PA10479A0Rb)
驗證數據
Western Blot
Positive WB detected in: Mouse liver tissue
All lanes: NGFR antibody at 2.7μg/ml
Secondary
Goat polyclonal to rabbit IgG at 1/50000 dilution
Predicted band size: 46, 36 kDa
Observed band size: 46 kDa
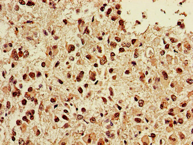
IHC image of CSB-PA10479A0Rb diluted at 1:400 and staining in paraffin-embedded human glioma performed on a Leica BondTM system. After dewaxing and hydration, antigen retrieval was mediated by high pressure in a citrate buffer (pH 6.0). Section was blocked with 10% normal goat serum 30min at RT. Then primary antibody (1% BSA) was incubated at 4°C overnight. The primary is detected by a biotinylated secondary antibody and visualized using an HRP conjugated SP system.
NGFR Antibodies
NGFR for Homo sapiens (Human)
| 產品貨號 | 產品名稱 | 種屬反應性 | 應用類型 |
|---|---|---|---|
| CSB-PA015780GA01HU | NGFR Antibody | Human,Mouse,Rat | ELISA,WB,IHC |
| CSB-PA038076 | NGFR Antibody | Human,Mouse,Rat | ELISA,WB,IF |
| CSB-PA003447 | NGFR Antibody | Human,Mouse,Rat | WB, ELISA |
| CSB-PA003448 | NGFR Antibody | Human,Mouse,Rat | WB, IF, ELISA |
| CSB-PA319979 | NGFR Antibody | Human,Mouse,Rat | ELISA,WB,IHC |
| CSB-PA084270 | NGFR Antibody | Human,Mouse,Rat | ELISA,WB,IHC |
| CSB-PA10479A0Rb | NGFR Antibody | Human, Mouse | ELISA, WB, IHC |
| CSB-PA10479B0Rb | NGFR Antibody, HRP conjugated | Human | ELISA |
| CSB-PA10479C0Rb | NGFR Antibody, FITC conjugated | Human | |
| CSB-PA10479D0Rb | NGFR Antibody, Biotin conjugated | Human | ELISA |
NGFR Proteins
NGFR Proteins for Gallus gallus (Chicken)
| 產品貨號 | 產品名稱 | 來源 |
|---|---|---|
| CSB-YP015780CH1 CSB-EP015780CH1 CSB-BP015780CH1 CSB-MP015780CH1 CSB-EP015780CH1-B |
Recombinant Chicken Tumor necrosis factor receptor superfamily member 16 (NGFR), partial | Yeast E.coli Baculovirus Mammalian cell In Vivo Biotinylation in E.coli |
| CSB-CF015780CH | Recombinant Chicken Tumor necrosis factor receptor superfamily member 16 (NGFR) | in vitro E.coli expression system |
NGFR Proteins for Rattus norvegicus (Rat)
| 產品貨號 | 產品名稱 | 來源 |
|---|---|---|
| CSB-YP015780RA1 CSB-EP015780RA1 CSB-BP015780RA1 CSB-MP015780RA1 CSB-EP015780RA1-B |
Recombinant Rat Tumor necrosis factor receptor superfamily member 16 (Ngfr), partial | Yeast E.coli Baculovirus Mammalian cell In Vivo Biotinylation in E.coli |
| CSB-CF015780RA | Recombinant Rat Tumor necrosis factor receptor superfamily member 16 (Ngfr) | in vitro E.coli expression system |
NGFR Proteins for Homo sapiens (Human)
| 產品貨號 | 產品名稱 | 來源 |
|---|---|---|
| CSB-YP015780HU CSB-EP015780HU CSB-BP015780HU CSB-MP015780HU CSB-EP015780HU-B |
Recombinant Human Tumor necrosis factor receptor superfamily member 16 (NGFR), partial | Yeast E.coli Baculovirus Mammalian cell In Vivo Biotinylation in E.coli |
| CSB-MP015780HU(A4)-B | Recombinant Human umor necrosis factor receptor superfamily member 16 (NGFR),Biotinylated-VLPs | Mammalian cell |






